购物车
  • 全部删除
  • TargetMol
    您的购物车当前为空

Anti-Ig lambda constant 2 Antibody (9U628)

一键复制产品信息
Rating icon 还可以
产品编号 TMAC-02111
别名 MGC45681, MGC20392, immunoglobulin λ constant 2 (Kern-Oz- marker), immunoglobulin lambda constant 2 (Kern-Oz- marker), IGLC2, IGLC, Ig λ constant 2 Protein, Human, Recombinant (His), Ig λ C Domain, Ig Lambda C Domain

Anti-Ig lambda constant 2 Antibody (9U628) 是一种 Mouse 抗体,靶向 Ig lambda constant 2。Anti-Ig lambda constant 2 Antibody (9U628) 可用于 IHC,WB。

Anti-Ig lambda constant 2 Antibody (9U628)

Anti-Ig lambda constant 2 Antibody (9U628)

一键复制产品信息
Rating icon 还可以
产品编号 TMAC-02111 别名 MGC45681, MGC20392, immunoglobulin λ constant 2 (Kern-Oz- marker), immunoglobulin lambda constant 2 (Kern-Oz- marker), IGLC2, IGLC, Ig λ constant 2 Protein, Human, Recombinant (His), Ig λ C Domain, Ig Lambda C Domain

Anti-Ig lambda constant 2 Antibody (9U628) 是一种 Mouse 抗体,靶向 Ig lambda constant 2。Anti-Ig lambda constant 2 Antibody (9U628) 可用于 IHC,WB。

规格价格库存数量
50 μL
¥ 1,980
5日内发货
100 μL
¥ 2,990
5日内发货
大包装 & 定制
加入购物车
TargetMol 的所有产品仅用作科学研究或药证申报,不能被用于人体,我们不向个人提供产品和服务。请您遵守承诺用途,不得违反法律法规规定用于任何其他用途。
实验操作小课堂
常见问题解答
查看更多
联系我们获取更多批次信息
资源下载

产品介绍

生物活性
产品描述
Anti-Ig lambda constant 2 Antibody (9U628) is a Mouse antibody targeting Ig lambda constant 2. Anti-Ig lambda constant 2 Antibody (9U628) can be used in IHC,WB.
别名MGC45681, MGC20392, immunoglobulin λ constant 2 (Kern-Oz- marker), immunoglobulin lambda constant 2 (Kern-Oz- marker), IGLC2, IGLC, Ig λ constant 2 Protein, Human, Recombinant (His), Ig λ C Domain, Ig Lambda C Domain
克隆号
9U628
交叉反应
Human
验证活性
1. Western blot analysis of IGLC2 on human IGLC2 recombinant protein using anti-IGLC2 antibody at 1/1,000 dilution.
2. Western blot analysis of IGLC2 on HEK293 (1) and IGLC2-hIgGFc transfected HEK293 (2) cell lysate using anti-IGLC2 antibody at 1/1,000 dilution.
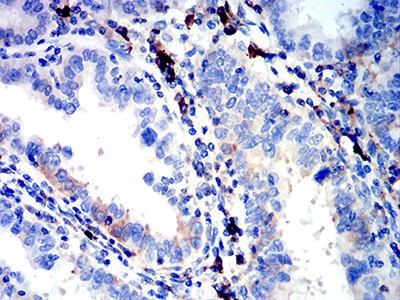
3. Immunohistochemical analysis of paraffin-embedded human colon tissues using anti-IGLC2 antibody. Counter stained with hematoxylin.
4. Immunohistochemical analysis of paraffin-embedded human endometrial cancer tissue using anti-IGLC2 antibody. Counter stained with hematoxylin.
verifiedActivityverifiedActivityverifiedActivityverifiedActivity
应用IHCWB
推荐剂量
WB: 1:500; IHC: 1:50-200
抗体种类
Monoclonal
宿主来源Mouse
构建方式Hybridoma Monoclonal Antibody
纯化方式ProA affinity purified
性状Liquid
缓冲液1*TBS (pH7.4), 1%BSA, 40%Glycerol. Preservative: 0.05% Sodium Azide.
研究背景Constant region of immunoglobulin heavy chains. Immunoglobulins, also known as antibodies, are membrane-bound or secreted glycoproteins produced by B lymphocytes. In the recognition phase of humoral immunity, the membrane-bound immunoglobulins serve as receptors which, upon binding of a specific antigen, trigger the clonal expansion and differentiation of B lymphocytes into immunoglobulins-secreting plasma cells. Secreted immunoglobulins mediate the effector phase of humoral immunity, which results in the elimination of bound antigens . The antigen binding site is formed by the variable domain of one heavy chain, together with that of its associated light chain. Thus, each immunoglobulin has two antigen binding sites with remarkable affinity for a particular antigen. The variable domains are assembled by a process called V-(D)-J rearrangement and can then be subjected to somatic hypermutations which, after exposure to antigen and selection, allow affinity maturation for a particular antigen .
偶联与修饰
偶联
Unconjugated
抗原信息
免疫原
Recombinant Protein
Uniprot ID
化学信息
分子量Theoretical: 11 kDa.
存储&运输
储存方式Store at -20°C or -80°C for 12 months. Avoid repeated freeze-thaw cycles.
运输方式Shipping with blue ice.

计算器

  • 稀释 计算器

关键词

评论列表

4个月前
5.0
Rating icon 很棒

评论内容

Related Tags: buy Anti-Ig lambda constant 2 Antibody (9U628) | purchase Anti-Ig lambda constant 2 Antibody (9U628) | Anti-Ig lambda constant 2 Antibody (9U628) cost | order Anti-Ig lambda constant 2 Antibody (9U628) | Anti-Ig lambda constant 2 Antibody (9U628) molecular weight