购物车
  • 全部删除
  • TargetMol
    您的购物车当前为空

Anti-IκB β Antibody (1Z750)

一键复制产品信息
Rating icon 还可以
产品编号 TMAC-02251
别名 IκBβ, IκBbeta, IκBb, IκB beta, IκB b

Anti-IκB β Antibody (1Z750) 是一种 Mouse 抗体,靶向 IκB β。Anti-IκB β Antibody (1Z750) 可用于 IHC。

Anti-IκB β Antibody (1Z750)

Anti-IκB β Antibody (1Z750)

一键复制产品信息
Rating icon 还可以
产品编号 TMAC-02251 别名 IκBβ, IκBbeta, IκBb, IκB beta, IκB b

Anti-IκB β Antibody (1Z750) 是一种 Mouse 抗体,靶向 IκB β。Anti-IκB β Antibody (1Z750) 可用于 IHC。

规格价格库存数量
50 μL
¥ 1,330
5日内发货
100 μL
¥ 2,185
5日内发货
大包装 & 定制
加入购物车
TargetMol 的所有产品仅用作科学研究或药证申报,不能被用于人体,我们不向个人提供产品和服务。请您遵守承诺用途,不得违反法律法规规定用于任何其他用途。
实验操作小课堂
常见问题解答
查看更多
联系我们获取更多批次信息
资源下载

产品介绍

生物活性
产品描述
Anti-IκB β Antibody (1Z750) is a Mouse antibody targeting IκB β. Anti-IκB β Antibody (1Z750) can be used in IHC.
别名IκBβ, IκBbeta, IκBb, IκB beta, IκB b
Ig Type
IgG1
克隆号
1Z750
交叉反应
Human,Mouse,Rat
验证活性
1. Immunohistochemical analysis of paraffin-embedded Human Lung Carcinoma using IκB β mAb diluted at 1:200.
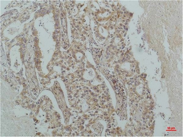
2. Immunohistochemical analysis of paraffin-embedded Human Kidney Tissue using IκB β Mouse mAb diluted at 1:200.
verifiedActivityverifiedActivity
应用IHC
推荐剂量
IHC: 1:100-200
抗体种类
Monoclonal
宿主来源Mouse
构建方式Hybridoma Monoclonal Antibody
性状Liquid
缓冲液Liquid in PBS containing 50% glycerol, 0.5% BSA and 0.02% sodium azide.
偶联与修饰
偶联
Unconjugated
抗原信息
免疫原
Recombinant Protein
Uniprot ID
化学信息
分子量Theoretical: 48 kDa.
存储&运输
储存方式Store at -20°C or -80°C for 12 months. Avoid repeated freeze-thaw cycles.
运输方式Shipping with blue ice.

计算器

  • 稀释 计算器

评论列表

4个月前
5.0
Rating icon 很棒

评论内容

Related Tags: buy Anti-IκB β Antibody (1Z750) | purchase Anti-IκB β Antibody (1Z750) | Anti-IκB β Antibody (1Z750) cost | order Anti-IκB β Antibody (1Z750) | Anti-IκB β Antibody (1Z750) molecular weight