购物车
  • 全部删除
  • TargetMol
    您的购物车当前为空

Anti-HMOX1 Antibody (2F853)

Rating icon 还可以
产品编号 TMAC-01794
别名 HO-1, HO1, HO, HMOX1, Heme oxygenase 1

Anti-HMOX1 Antibody (2F853) 是一种 Rabbit 抗体,靶向 HMOX1。Anti-HMOX1 Antibody (2F853) 可用于 FCM,ICC/IF,IHC,IP,WB。

Anti-HMOX1 Antibody (2F853)

Anti-HMOX1 Antibody (2F853)

一键复制产品信息
Rating icon 还可以
产品编号 TMAC-01794 别名 HO-1, HO1, HO, HMOX1, Heme oxygenase 1

Anti-HMOX1 Antibody (2F853) 是一种 Rabbit 抗体,靶向 HMOX1。Anti-HMOX1 Antibody (2F853) 可用于 FCM,ICC/IF,IHC,IP,WB。

规格价格库存数量
50 μL
¥ 1,480
5日内发货
100 μL
¥ 2,490
5日内发货
大包装 & 定制
加入购物车
TargetMol 的所有产品仅用作科学研究或药证申报,不能被用于人体,我们不向个人提供产品和服务。请您遵守承诺用途,不得违反法律法规规定用于任何其他用途。
实验操作小课堂
常见问题解答
查看更多
联系我们获取更多批次信息
资源下载

产品介绍

生物活性
产品描述
Anti-HMOX1 Antibody (2F853) is a Rabbit antibody targeting HMOX1. Anti-HMOX1 Antibody (2F853) can be used in FCM,ICC/IF,IHC,IP,WB.
别名HO-1, HO1, HO, HMOX1, Heme oxygenase 1
Ig Type
IgG
克隆号
2F853
交叉反应
Human,Mouse,Rat
验证活性
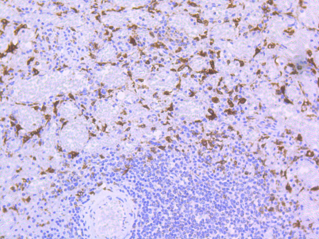
1. Immunohistochemical analysis of paraffin-embedded human spleen tissue using anti-HO-1 antibody. Counter stained with hematoxylin.
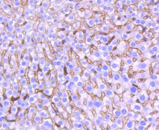
2. Immunohistochemical analysis of paraffin-embedded human liver tissue using anti-HO-1 antibody. Counter stained with hematoxylin.
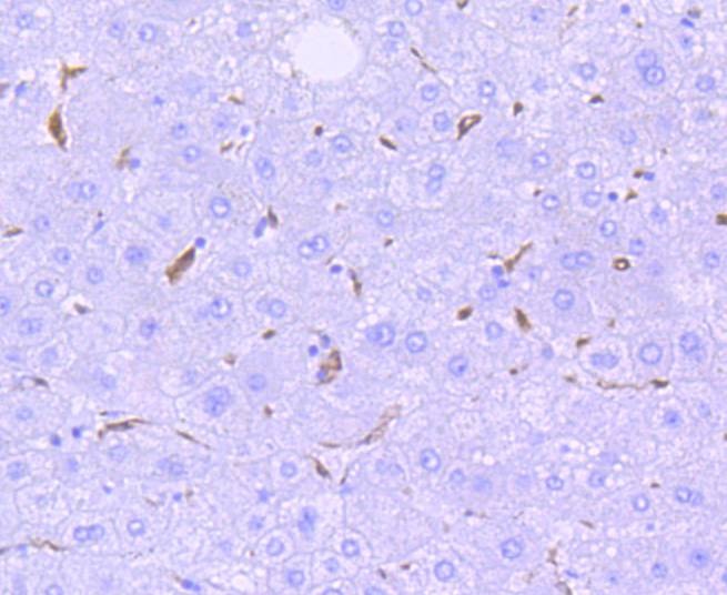
3. Immunohistochemical analysis of paraffin-embedded mouse liver tissue using anti-HO-1 antibody. Counter stained with hematoxylin.
4. Flow cytometric analysis of Jurkat cells with HO-1 antibody at 1/50 dilution (red) compared with an unlabelled control (cells without incubation with primary antibody; black). Alexa Fluor 488-conjugated goat anti rabbit IgG was used as secondary antibody.
verifiedActivityverifiedActivityverifiedActivityverifiedActivity
应用FCMICC/IFIHCIPWB
推荐剂量
WB: 1:1000; IHC:1:50-200; FC: 1:50-100
抗体种类
Monoclonal
宿主来源Rabbit
构建方式Recombinant Antibody
纯化方式ProA affinity purified
性状Liquid
缓冲液1*TBS (pH7.4), 1%BSA, 40%Glycerol. Preservative: 0.05% Sodium Azide.
研究背景Heme oxygenases are microsomal enzymes that cleave heme to produce the antioxidant biliverdin, inorganic iron and carbon monoxide (CO). The activity of Heme Oxygenase 1 (HO-1), also designated HSP 32, is highly inducible in response to numerous stimuli, including heme, heavy metals, hormones and oxidative stress. Heme Oxygenase 2, in contrast, appears to be constituitively expressed in mammalian tissues. Heme Oxygenase 2 is involved in the production of carbon monoxide (CO) in brain, where CO is thought to act as a neurotransmitter. The CO signaling system closely parallels the signaling pathway involving nitric oxide, and regulation of the two systems is closely linked. Heme Oxygenase 3 is found in the spleen, liver, thymus, prostate, heart, kidney, brain and testis. A poor heme catalyst, Heme Oxygenase 3 has two heme regulatory motifs that may be involved in heme binding.
偶联与修饰
偶联
Unconjugated
抗原信息
免疫原
Recombinant Protein
Uniprot ID
化学信息
分子量Theoretical: 33 kDa.
存储&运输
储存方式Store at -20°C or -80°C for 12 months. Avoid repeated freeze-thaw cycles.
运输方式Shipping with blue ice.

计算器

  • 稀释 计算器

关键词

评论列表

4个月前
5.0
Rating icon 很棒

评论内容

Related Tags: buy Anti-HMOX1 Antibody (2F853) | purchase Anti-HMOX1 Antibody (2F853) | Anti-HMOX1 Antibody (2F853) cost | order Anti-HMOX1 Antibody (2F853) | Anti-HMOX1 Antibody (2F853) molecular weight