购物车
  • 全部删除
  • TargetMol
    您的购物车当前为空

Anti-HLA-DPB1 Antibody (7X876)

一键复制产品信息
Rating icon 还可以
产品编号 TMAC-02581
别名 MHC class II antigen DPB1, HLA-DPB1, HLA-DP1B, HLA class II histocompatibility antigen, DP(W4) beta chain, HLA class II histocompatibility antigen, DP beta 1 chain, DP beta 1 chain

Anti-HLA-DPB1 Antibody (7X876) 是一种 Rabbit 抗体,靶向 HLA-DPB1。Anti-HLA-DPB1 Antibody (7X876) 可用于 ICC/IF,IHC,IP,WB。

Anti-HLA-DPB1 Antibody (7X876)

Anti-HLA-DPB1 Antibody (7X876)

一键复制产品信息
Rating icon 还可以
产品编号 TMAC-02581 别名 MHC class II antigen DPB1, HLA-DPB1, HLA-DP1B, HLA class II histocompatibility antigen, DP(W4) beta chain, HLA class II histocompatibility antigen, DP beta 1 chain, DP beta 1 chain

Anti-HLA-DPB1 Antibody (7X876) 是一种 Rabbit 抗体,靶向 HLA-DPB1。Anti-HLA-DPB1 Antibody (7X876) 可用于 ICC/IF,IHC,IP,WB。

规格价格库存数量
50 μL
¥ 1,490
5日内发货
100 μL
¥ 2,490
5日内发货
大包装 & 定制
加入购物车
TargetMol 的所有产品仅用作科学研究或药证申报,不能被用于人体,我们不向个人提供产品和服务。请您遵守承诺用途,不得违反法律法规规定用于任何其他用途。
实验操作小课堂
常见问题解答
查看更多
联系我们获取更多批次信息
资源下载

产品介绍

生物活性
产品描述
Anti-HLA-DPB1 Antibody (7X876) is a Rabbit antibody targeting HLA-DPB1. Anti-HLA-DPB1 Antibody (7X876) can be used in ICC/IF,IHC,IP,WB.
别名MHC class II antigen DPB1, HLA-DPB1, HLA-DP1B, HLA class II histocompatibility antigen, DP(W4) beta chain, HLA class II histocompatibility antigen, DP beta 1 chain, DP beta 1 chain
Ig Type
IgG
克隆号
7X876
交叉反应
Human
验证活性
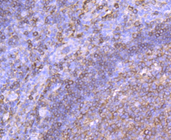
1. Immunohistochemical analysis of paraffin-embedded human tonsil tissue using anti- MHC Class II antibody. Counter stained with hematoxylin.
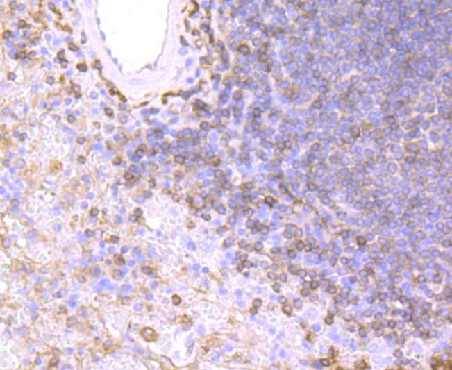
2. Immunohistochemical analysis of paraffin-embedded human spleen tissue using anti- MHC Class II antibody. Counter stained with hematoxylin.
verifiedActivityverifiedActivity
应用ICC/IFIHCIPWB
推荐剂量
WB: 1:500-1000; IHC: 1:50-200; ICC/IF: 1:50-100; IP: 1:10-50
抗体种类
Monoclonal
宿主来源Rabbit
构建方式Recombinant Antibody
纯化方式ProA affinity purified
性状Liquid
缓冲液1*TBS (pH7.4), 1%BSA, 40%Glycerol. Preservative: 0.05% Sodium Azide.
研究背景Major histocompatibility complex (MHC) molecules, also designated human leukocyte antigen (HLA) molecules, are cell-surface receptors that bind foreign peptides and present them to T lymphocytes. MHC class I molecules consist of two polypeptide chains, an α or heavy chain and β-2-Microglobulin, a non-covalently associated protein. Cytotoxic T lymphocytes bind antigenic peptides presented by MHC class I molecules. Antigens that bind to MHC class I molecules are typically eight to ten residues in length and are stabilized in a peptide binding groove. MHC class II molecules are encoded by polymorphic MHC genes and consist of a non-covalent complex of an α and β chain. Helper T lymphocytes bind antigenic peptides presented by MHC class II molecules. MHC class II molecules bind 13-18 amino acid antigenic peptides. Accumu-lating in endosomal/lysosomal compartments and on the surface of B cells, HLA-DM and -DO molecules regulate binding of exogenous peptides to class II molecules (HLA-DR) by sustaining a conformation that favors peptide exchange. The differential structural properties of MHC class I and class II molecules account for their respective roles in activating different populations of T lymphocytes.
偶联与修饰
偶联
Unconjugated
抗原信息
免疫原
Recombinant Protein
Uniprot ID
化学信息
分子量Theoretical: 29 kDa.
存储&运输
储存方式Store at -20°C or -80°C for 12 months. Avoid repeated freeze-thaw cycles.
运输方式Shipping with blue ice.

计算器

  • 稀释 计算器

关键词

评论列表

4个月前
5.0
Rating icon 很棒

评论内容

Related Tags: buy Anti-HLA-DPB1 Antibody (7X876) | purchase Anti-HLA-DPB1 Antibody (7X876) | Anti-HLA-DPB1 Antibody (7X876) cost | order Anti-HLA-DPB1 Antibody (7X876) | Anti-HLA-DPB1 Antibody (7X876) molecular weight