购物车
  • TargetMol
    您的购物车当前为空

Anti-HAMP Antibody (6Z883)

Synonyms: Putative liver tumor regressor, Liver-expressed antimicrobial peptide 1, LEAP1, HEPC
货号 TMAC-01799 一键复制产品信息
Rating icon 还可以

Anti-HAMP Antibody (6Z883) 是一种 Rabbit 抗体,靶向 HAMP。Anti-HAMP Antibody (6Z883) 可用于 IHC,WB。

Anti-HAMP Antibody (6Z883)

一键复制产品信息
Rating icon 还可以
货号 TMAC-01799

别名 Putative liver tumor regressor, Liver-expressed antimicrobial peptide 1, LEAP1, HEPC

Anti-HAMP Antibody (6Z883) 是一种 Rabbit 抗体,靶向 HAMP。Anti-HAMP Antibody (6Z883) 可用于 IHC,WB。

Anti-HAMP Antibody (6Z883)
规格价格库存数量
50 μL
¥ 1,485
5日内发货
100 μL
¥ 2,495
5日内发货
库存状态实时更新,以官网显示为准,现货产品可直接加购物车下单
大包装 & 定制
加入购物车

TargetMol的所有产品仅用作科学研究或药证申报,不能被用于人体,我们不向个人提供产品和服务。请您遵守承诺用途,不得违反法律法规规定用于任何其他用途。

实验操作小课堂
常见问题解答
查看更多

资源下载:产品操作手册

产品介绍


生物活性
产品描述
Anti-HAMP Antibody (6Z883) is a Rabbit antibody targeting HAMP. Anti-HAMP Antibody (6Z883) can be used in IHC,WB.
别名
Putative liver tumor regressor, Liver-expressed antimicrobial peptide 1, LEAP1, HEPC
Ig Type
IgG
克隆号
6Z883
反应种属
Human,Rat
验证活性
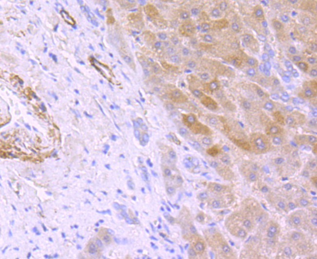
1. Immunohistochemical analysis of paraffin-embedded human liver tissue using anti- Hepcidin antibody. Counter stained with hematoxylin.
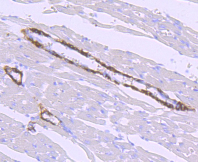
2. Immunohistochemical analysis of paraffin-embedded rat heart tissue using anti- Hepcidin antibody. Counter stained with hematoxylin.
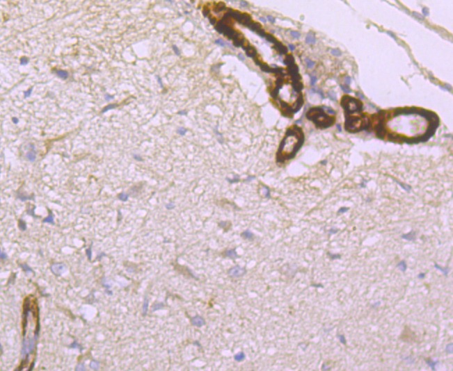
3. Immunohistochemical analysis of paraffin-embedded rat brain tissue using anti- Hepcidin antibody. Counter stained with hematoxylin.
verifiedActivityverifiedActivityverifiedActivity
应用IHCWB
推荐剂量
WB: 1:500-1000; IHC: 1:50-200
抗体种类
Monoclonal
宿主来源Rabbit
构建方式Recombinant Antibody
纯化方式ProA affinity purified
性状Liquid
缓冲液1*TBS (pH7.4), 1%BSA, 40%Glycerol. Preservative: 0.05% Sodium Azide.
研究背景Hepcidin, also known as HAMP, HEPC, LEAP1 or HFE2B, is an 84 amino acid secreted protein that regulates iron-related signaling events. Highly expressed in liver with lower expression in heart, brain, lung, prostate and thyroid, hepcidin is thought to maintain iron homeostasis and, in conjunction with the HFE protein (a protein that is defective in hereditary hemochromatosis), may mediate both iron storage in macrophages and intestinal iron absorption. Additionally, hepcidin has strong antimicrobial activity against gram-positive and gram-negative bacteria, as well as certain yeast strains, suggesting that hepcidin may play a crucial role in staving off bacterial infections. Defects in the gene encoding hepcidin are the cause of hemochromatosis type 2B (also known as juvenile hemochromatosis), an early-onset autosomal recessive disorder that results in severe iron overload and is characterized by hepatic fibrosis, hypogonadotrophic hypogonadism and cardiomyopathy.
偶联与修饰
偶联
Unconjugated
抗原信息
免疫原
Recombinant Protein
Uniprot ID
化学信息
分子量Theoretical: 3 kDa.
储存&溶解度
储存方式Store at -20°C or -80°C for 12 months. Avoid repeated freeze-thaw cycles.
运输方式Shipping with blue ice.

计算器

  • 稀释 计算器
  • 配液 计算器

关键词

Related Tags: buy Anti-HAMP Antibody (6Z883) | purchase Anti-HAMP Antibody (6Z883) | Anti-HAMP Antibody (6Z883) cost | order Anti-HAMP Antibody (6Z883) | Anti-HAMP Antibody (6Z883) molecular weight