购物车
  • TargetMol
    您的购物车当前为空

Anti-H Cadherin Antibody (2P227)

Synonyms: cadherin 13
货号 TMAC-01748 一键复制产品信息
Rating icon 还可以

Anti-H Cadherin Antibody (2P227) 是一种 Rabbit 抗体,靶向 H Cadherin。Anti-H Cadherin Antibody (2P227) 可用于 IHC,WB。

Anti-H Cadherin Antibody (2P227)

一键复制产品信息
Rating icon 还可以
货号 TMAC-01748

别名 cadherin 13

Anti-H Cadherin Antibody (2P227) 是一种 Rabbit 抗体,靶向 H Cadherin。Anti-H Cadherin Antibody (2P227) 可用于 IHC,WB。

Anti-H Cadherin Antibody (2P227)
规格价格库存数量
50 μL
¥ 1,480
5日内发货
100 μL
¥ 2,480
5日内发货
库存状态实时更新,以官网显示为准,现货产品可直接加购物车下单
大包装 & 定制
加入购物车

TargetMol的所有产品仅用作科学研究或药证申报,不能被用于人体,我们不向个人提供产品和服务。请您遵守承诺用途,不得违反法律法规规定用于任何其他用途。

实验操作小课堂
常见问题解答
查看更多

资源下载:产品操作手册

产品介绍


生物活性
产品描述
Anti-H Cadherin Antibody (2P227) is a Rabbit antibody targeting H Cadherin. Anti-H Cadherin Antibody (2P227) can be used in IHC,WB.
别名
cadherin 13
Ig Type
IgG
克隆号
2P227
反应种属
Human,Mouse,Rat
验证活性
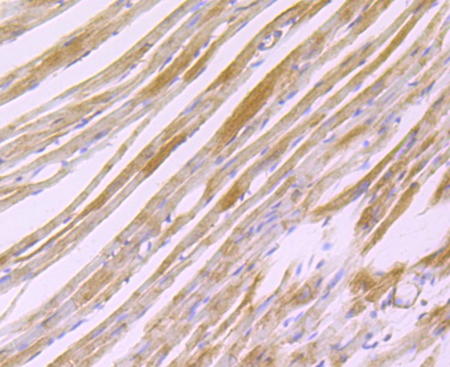
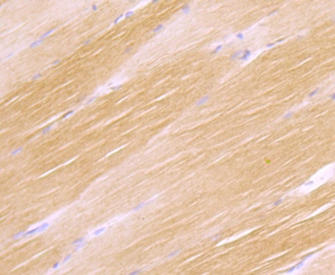
1. Immunohistochemical analysis of paraffin-embedded rat skeletal muscle tissue using anti-H Cadherin antibody. Counter stained with hematoxylin.
2. Immunohistochemical analysis of paraffin-embedded human kidney tissue using anti-H Cadherin antibody. Counter stained with hematoxylin.
3. Immunohistochemical analysis of paraffin-embedded human fetal skeletal muscle tissue using anti-H Cadherin antibody. Counter stained with hematoxylin.
4. Immunohistochemical analysis of paraffin-embedded mouse heart tissue using anti-H Cadherin antibody. Counter stained with hematoxylin.
verifiedActivityverifiedActivityverifiedActivityverifiedActivity
应用IHCWB
推荐剂量
IHC: 1:50-200
抗体种类
Monoclonal
宿主来源Rabbit
构建方式Recombinant Antibody
纯化方式ProA affinity purified
性状Liquid
缓冲液1*TBS (pH7.4), 1%BSA, 40%Glycerol. Preservative: 0.05% Sodium Azide.
研究背景Cadherins comprise a family of Ca++-dependent adhesion molecules that function to mediate cell-cell binding critical to the maintenance of tissue structure and morphogen-esis. Cadherins each contain a large extracellular domains characterized by a series of five homologous repeats, the most distal of which is thought to be responsible for binding specificity. The relatively short intracellular domains interact with a variety of cytoplasmic proteins, such as β-catenin, to regulate cadherin function. T-cadherin (for truncated-cadherin), also designated heart-cadherin or cadherin-13) expression levels have been shown to be reduced in human breast cancers and carcinoma cell lines. Evidence suggests that decreased levels of T-cadherin indicate a progression in breast malignancies.
偶联与修饰
偶联
Unconjugated
抗原信息
免疫原
Recombinant Protein: human H Cadherin aa 1-200
抗原种属
human
Uniprot ID
化学信息
分子量Theoretical: 78 kDa.
储存&溶解度
储存方式Store at -20°C or -80°C for 12 months. Avoid repeated freeze-thaw cycles.
运输方式Shipping with blue ice.

计算器

  • 稀释 计算器
  • 配液 计算器
Related Tags: buy Anti-H Cadherin Antibody (2P227) | purchase Anti-H Cadherin Antibody (2P227) | Anti-H Cadherin Antibody (2P227) cost | order Anti-H Cadherin Antibody (2P227) | Anti-H Cadherin Antibody (2P227) molecular weight