购物车
  • 全部删除
  • TargetMol
    您的购物车当前为空

Anti-GPX4 Antibody (1B328)

一键复制产品信息
Rating icon 还可以
产品编号 TMAB-00807
别名 snPHGPx, snGPx, PHGPx, NEDSGA, MCSP, GSHPx-4, GPx-4, GLURD, GLUR4C, GLUR4, GluA4

Anti-GPX4 Antibody (1B328) 是一种 Rabbit 抗体,靶向 GPX4。Anti-GPX4 Antibody (1B328) 可用于 ICC/IF,IF,IHC-Fr,IHC-P,WB。

Anti-GPX4 Antibody (1B328)

Anti-GPX4 Antibody (1B328)

一键复制产品信息
Rating icon 还可以
产品编号 TMAB-00807 别名 snPHGPx, snGPx, PHGPx, NEDSGA, MCSP, GSHPx-4, GPx-4, GLURD, GLUR4C, GLUR4, GluA4

Anti-GPX4 Antibody (1B328) 是一种 Rabbit 抗体,靶向 GPX4。Anti-GPX4 Antibody (1B328) 可用于 ICC/IF,IF,IHC-Fr,IHC-P,WB。

规格价格库存数量
25 μL
¥ 780
5日内发货
50 μL
¥ 1,385
5日内发货
100 μL
¥ 2,495
5日内发货
大包装 & 定制
加入购物车
TargetMol 的所有产品仅用作科学研究或药证申报,不能被用于人体,我们不向个人提供产品和服务。请您遵守承诺用途,不得违反法律法规规定用于任何其他用途。
实验操作小课堂
常见问题解答
查看更多
联系我们获取更多批次信息
资源下载

产品介绍

生物活性
产品描述
Anti-GPX4 Antibody (1B328) is a Rabbit antibody targeting GPX4. Anti-GPX4 Antibody (1B328) can be used in ICC/IF,IF,IHC-Fr,IHC-P,WB.
别名snPHGPx, snGPx, PHGPx, NEDSGA, MCSP, GSHPx-4, GPx-4, GLURD, GLUR4C, GLUR4, GluA4
Ig Type
IgG
克隆号
1B328
交叉反应
Human,Mouse,Rat
验证活性
1. 25 μg total protein per Lane of various lysates probed with GPX4 monoclonal antibody, unconjugated (TMAB-00807) at 1:2000 dilution and 4°C overnight incubation. Followed by conjugated secondary antibody incubation at RT for 60 min.
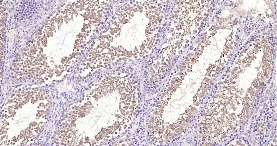
2. Paraformaldehyde-fixed, paraffin embedded Rat testis; Antigen retrieval by boiling in sodium citrate buffer (pH6.0) for 15 min; Antibody incubation with GPX4 Monoclonal Antibody, Unconjugated (TMAB-00807) at 1:200 overnight at 4°C, followed by conjugation to the SP Kit (Rabbit) and DAB staining.
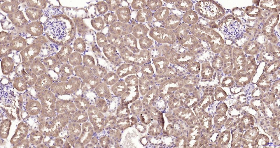
3. Paraformaldehyde-fixed, paraffin embedded Rat kidney; Antigen retrieval by boiling in sodium citrate buffer (pH6.0) for 15 min; Antibody incubation with GPX4 Monoclonal Antibody, Unconjugated (TMAB-00807) at 1:200 overnight at 4°C, followed by conjugation to the SP Kit (Rabbit) and DAB staining.
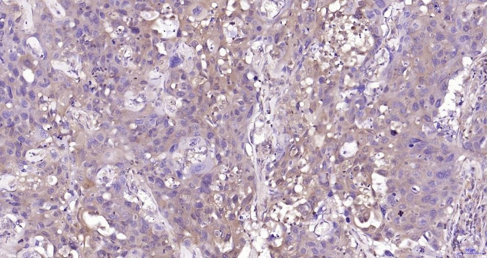
4. Paraformaldehyde-fixed, paraffin embedded Human lung cancer; Antigen retrieval by boiling in sodium citrate buffer (pH6.0) for 15 min; Antibody incubation with GPX4 Monoclonal Antibody, Unconjugated (TMAB-00807) at 1:200 overnight at 4°C, followed by conjugation to the SP Kit (Rabbit) and DAB staining.
5. Paraformaldehyde-fixed, paraffin embedded Human Thyroid cancer; Antigen retrieval by boiling in sodium citrate buffer (pH6.0) for 15 min; Antibody incubation with GPX4 Monoclonal Antibody, Unconjugated (TMAB-00807) at 1:200 overnight at 4°C, followed by conjugation to the SP Kit (Rabbit) and DAB staining.
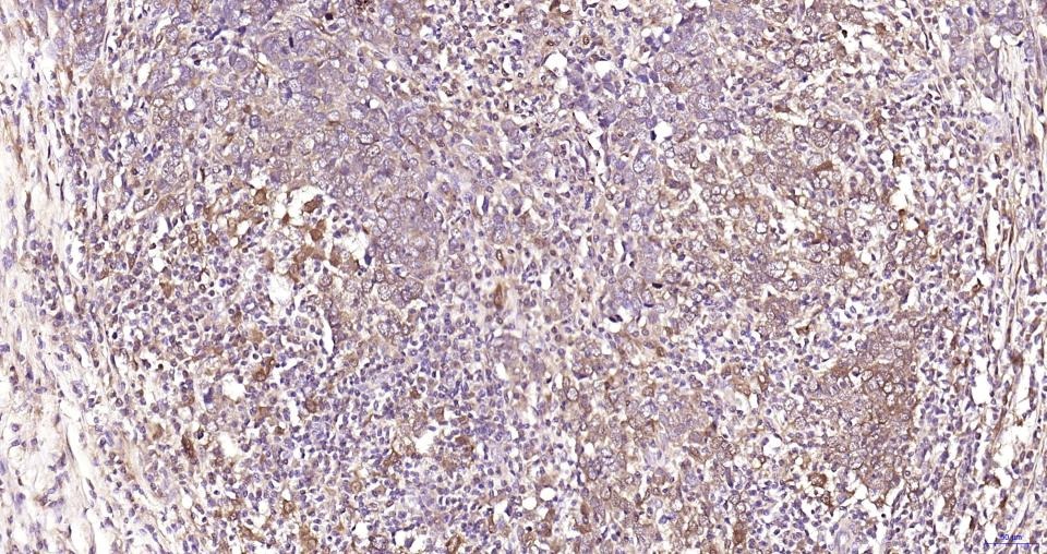
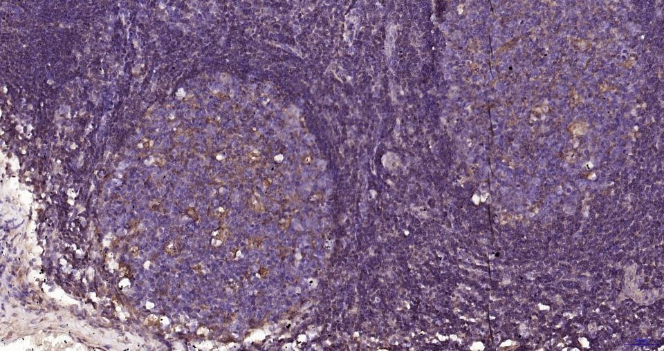
6. Paraformaldehyde-fixed, paraffin embedded Human tonsil; Antigen retrieval by boiling in sodium citrate buffer (pH6.0) for 15 min; Antibody incubation with GPX4 Monoclonal Antibody, Unconjugated (TMAB-00807) at 1:200 overnight at 4°C, followed by conjugation to the SP Kit (Rabbit) and DAB staining.
7. Paraformaldehyde-fixed, paraffin embedded Human testis; Antigen retrieval by boiling in sodium citrate buffer (pH6.0) for 15 min; Antibody incubation with GPX4 Monoclonal Antibody, Unconjugated (TMAB-00807) at 1:200 overnight at 4°C, followed by conjugation to the SP Kit (Rabbit) and DAB staining.
8. Paraformaldehyde-fixed, paraffin embedded Human Breast cancer; Antigen retrieval by boiling in sodium citrate buffer (pH6.0) for 15 min; Antibody incubation with GPX4 Monoclonal Antibody, Unconjugated (TMAB-00807) at 1:200 overnight at 4°C, followed by conjugation to the SP Kit (Rabbit) and DAB staining.
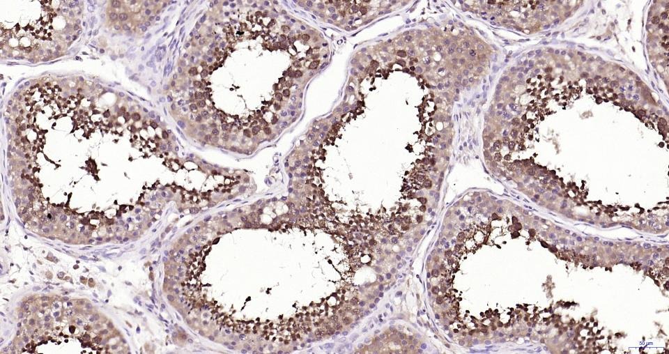
9. Paraformaldehyde-fixed, paraffin embedded Mouse testicles; Antigen retrieval by boiling in sodium citrate buffer (pH6.0) for 15 min; Antibody incubation with GPX4 Monoclonal Antibody, Unconjugated (TMAB-00807) at 1:200 overnight at 4°C, followed by conjugation to the SP Kit (Rabbit) and DAB staining.
10. Paraformaldehyde-fixed, paraffin embedded Mouse kidney; Antigen retrieval by boiling in sodium citrate buffer (pH6.0) for 15 min; Antibody incubation with GPX4 Monoclonal Antibody, Unconjugated (TMAB-00807) at 1:200 overnight at 4°C, followed by conjugation to the SP Kit (Rabbit) and DAB staining.
11. Paraformaldehyde-fixed, paraffin embedded Mouse adrenal gland; Antigen retrieval by boiling in sodium citrate buffer (pH6.0) for 15 min; Antibody incubation with GPX4 Monoclonal Antibody, Unconjugated (TMAB-00807) at 1:200 overnight at 4°C, followed by conjugation to the SP Kit (Rabbit) and DAB staining.
verifiedActivityverifiedActivityverifiedActivityverifiedActivityverifiedActivityverifiedActivityverifiedActivityverifiedActivityverifiedActivityverifiedActivityverifiedActivity
应用ICC/IFIFIHC-FrIHC-PWB
推荐剂量
WB: 1:500-2000; IHC-P: 1:50-200; IHC-Fr: 1:50-200; ICC/IF: 1:50-200; IF: 1:50-200
抗体种类
Monoclonal
宿主来源Rabbit
亚细胞定位Isoform Mitochondrial: Mitochondrion. Isoform Cytoplasmic: Cytoplasm.
组织特异性Present primarily in testis.
构建方式Recombinant Antibody
纯化方式Protein A purified
性状Liquid
缓冲液10mM phosphate buffered saline(pH 7.4) with 150mM sodium chloride, 0.05% BSA, 0.02% sodium azide and 50% glycerol.
研究背景Protects cells against membrane lipid peroxidation and cell death. Required for normal sperm development and male fertility. Could play a major role in protecting mammals from the toxicity of ingested lipid hydroperoxides. Essential for embryonic development. Protects from radiation and oxidative damage.
抗原信息
免疫原
A synthesized peptide: human GPX4
抗原种属
Human
基因名称
GPX4
基因ID
蛋白名称
phospholipid hydroperoxide glutathione peroxidase
Uniprot ID
研究领域
Cellular metabolic process,Mitochondrial markers,Antioxidants,Cancer,Mitochondrial
功能
Protects cells against membrane lipid peroxidation and cell death. Required for normal sperm development and male fertility. Could play a major role in protecting mammals from the toxicity of ingested lipid hydroperoxides. Essential for embryonic development. Protects from radiation and oxidative damage.
化学信息
分子量Theoretical: 22 kDa. Actual: 17 kDa.
存储&运输
储存方式Store at 2°C-8°C for 1 month. Store at -20°C or -80°C for 12 months. Avoid repeated freeze-thaw cycles.
运输方式Shipping with blue ice.

计算器

  • 稀释 计算器

关键词

评论列表

4个月前
5.0
Rating icon 很棒

评论内容

Related Tags: buy Anti-GPX4 Antibody (1B328) | purchase Anti-GPX4 Antibody (1B328) | Anti-GPX4 Antibody (1B328) cost | order Anti-GPX4 Antibody (1B328) | Anti-GPX4 Antibody (1B328) molecular weight