购物车
  • 全部删除
  • TargetMol
    您的购物车当前为空

Anti-Golgin subfamily A member 5 Antibody (2L722)

一键复制产品信息
Rating icon 还可以
产品编号 TMAC-01695
别名 RFG5, RFG 5, RET-fused gene 5 protein, Ret II protein, Ret II, RET fused gene 5 protein, Ret fused gene 5, PTC5, Protein Ret-II, GOLIM5, GOLIM 5, Golgin-84, Golgin84, Golgin subfamily A member 5, Golgin A5, Golgin 84, Golgi integral membrane protein 5, Golgi autoantigen golgin subfamily a 5, GOLGA5, GOLGA 5, GOGA5_HUMAN, Cell proliferation-inducing gene 31 protein, Cell proliferation inducing gene 31

Anti-Golgin subfamily A member 5 Antibody (2L722) 是一种 Mouse 抗体,靶向 Golgin subfamily A member 5。Anti-Golgin subfamily A member 5 Antibody (2L722) 可用于 IHC,WB。

Anti-Golgin subfamily A member 5 Antibody (2L722)

Anti-Golgin subfamily A member 5 Antibody (2L722)

一键复制产品信息
Rating icon 还可以
产品编号 TMAC-01695 别名 RFG5, RFG 5, RET-fused gene 5 protein, Ret II protein, Ret II, RET fused gene 5 protein, Ret fused gene 5, PTC5, Protein Ret-II, GOLIM5, GOLIM 5, Golgin-84, Golgin84, Golgin subfamily A member 5, Golgin A5, Golgin 84, Golgi integral membrane protein 5, Golgi autoantigen golgin subfamily a 5, GOLGA5, GOLGA 5, GOGA5_HUMAN, Cell proliferation-inducing gene 31 protein, Cell proliferation inducing gene 31

Anti-Golgin subfamily A member 5 Antibody (2L722) 是一种 Mouse 抗体,靶向 Golgin subfamily A member 5。Anti-Golgin subfamily A member 5 Antibody (2L722) 可用于 IHC,WB。

规格价格库存数量
50 μL
¥ 1,995
5日内发货
100 μL
¥ 2,990
5日内发货
大包装 & 定制
加入购物车
TargetMol 的所有产品仅用作科学研究或药证申报,不能被用于人体,我们不向个人提供产品和服务。请您遵守承诺用途,不得违反法律法规规定用于任何其他用途。
实验操作小课堂
常见问题解答
查看更多
联系我们获取更多批次信息
资源下载

产品介绍

生物活性
产品描述
Anti-Golgin subfamily A member 5 Antibody (2L722) is a Mouse antibody targeting Golgin subfamily A member 5. Anti-Golgin subfamily A member 5 Antibody (2L722) can be used in IHC,WB.
别名RFG5, RFG 5, RET-fused gene 5 protein, Ret II protein, Ret II, RET fused gene 5 protein, Ret fused gene 5, PTC5, Protein Ret-II, GOLIM5, GOLIM 5, Golgin-84, Golgin84, Golgin subfamily A member 5, Golgin A5, Golgin 84, Golgi integral membrane protein 5, Golgi autoantigen golgin subfamily a 5, GOLGA5, GOLGA 5, GOGA5_HUMAN, Cell proliferation-inducing gene 31 protein, Cell proliferation inducing gene 31
克隆号
2L722
交叉反应
Human
验证活性
1. Western blot analysis on Hela cell lysates using anti-GOLGA5 Mouse mAb.
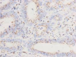
2. Immunohistochemical analysis of paraffin- embedded gastric cancer tissue using anti-GOLGA5 Mouse mAb.
verifiedActivityverifiedActivity
应用IHCWB
推荐剂量
WB: 1:1000; IHC: 1:100
抗体种类
Monoclonal
宿主来源Mouse
构建方式Hybridoma Monoclonal Antibody
纯化方式ProA affinity purified
性状Liquid
缓冲液1*TBS (pH7.4), 1%BSA, 40%Glycerol. Preservative: 0.05% Sodium Azide.
研究背景Golgin subfamily A member 5(GOLGA5) is a golgi apparatus membrane protein, highly expressed in seminiferous tubules and Leydig cells in testis. It is highly phosphorylated during mitosis. GOLGA5 is involved in maintaining Golgi structure and intra-Golgi retrograde transport. It stimulates the formation of Golgi stacks and ribbons. Defects in GOLGA5 are a cause of thyroid papillary carcinoma (TPC).
偶联与修饰
偶联
Unconjugated
抗原信息
免疫原
Recombinant Protein
Uniprot ID
化学信息
分子量Theoretical: 83 kDa.
存储&运输
储存方式Store at -20°C or -80°C for 12 months. Avoid repeated freeze-thaw cycles.
运输方式Shipping with blue ice.

计算器

  • 稀释 计算器

评论列表

4个月前
5.0
Rating icon 很棒

评论内容

Related Tags: buy Anti-Golgin subfamily A member 5 Antibody (2L722) | purchase Anti-Golgin subfamily A member 5 Antibody (2L722) | Anti-Golgin subfamily A member 5 Antibody (2L722) cost | order Anti-Golgin subfamily A member 5 Antibody (2L722) | Anti-Golgin subfamily A member 5 Antibody (2L722) molecular weight