购物车
  • 全部删除
  • TargetMol
    您的购物车当前为空

Anti-Glutaminase Antibody (8G424)

一键复制产品信息
Rating icon 还可以
产品编号 TMAC-01686
别名 L-glutamine amidohydrolase, KIAA0838, K-glutaminase, KGA, Glutaminase kidney isoform, mitochondrial, GLSK, GLS, GDPAG, GAM, GAC, EIEE71, EC:3.5.1.2, DEE71, CASGID, AAD20

Anti-Glutaminase Antibody (8G424) 是一种 Rabbit 抗体,靶向 Glutaminase。Anti-Glutaminase Antibody (8G424) 可用于 ICC/IF,IHC,WB。

Anti-Glutaminase Antibody (8G424)

Anti-Glutaminase Antibody (8G424)

一键复制产品信息
Rating icon 还可以
产品编号 TMAC-01686 别名 L-glutamine amidohydrolase, KIAA0838, K-glutaminase, KGA, Glutaminase kidney isoform, mitochondrial, GLSK, GLS, GDPAG, GAM, GAC, EIEE71, EC:3.5.1.2, DEE71, CASGID, AAD20

Anti-Glutaminase Antibody (8G424) 是一种 Rabbit 抗体,靶向 Glutaminase。Anti-Glutaminase Antibody (8G424) 可用于 ICC/IF,IHC,WB。

规格价格库存数量
50 μL
¥ 1,480
5日内发货
100 μL
¥ 2,495
5日内发货
大包装 & 定制
加入购物车
TargetMol 的所有产品仅用作科学研究或药证申报,不能被用于人体,我们不向个人提供产品和服务。请您遵守承诺用途,不得违反法律法规规定用于任何其他用途。
实验操作小课堂
常见问题解答
查看更多
联系我们获取更多批次信息
资源下载

产品介绍

生物活性
产品描述
Anti-Glutaminase Antibody (8G424) is a Rabbit antibody targeting Glutaminase. Anti-Glutaminase Antibody (8G424) can be used in ICC/IF,IHC,WB.
别名L-glutamine amidohydrolase, KIAA0838, K-glutaminase, KGA, Glutaminase kidney isoform, mitochondrial, GLSK, GLS, GDPAG, GAM, GAC, EIEE71, EC:3.5.1.2, DEE71, CASGID, AAD20
Ig Type
IgG
克隆号
8G424
交叉反应
Human,Mouse,Rat
验证活性
1. Western blot analysis of Glutaminase on different lysates using anti-Glutaminase antibody at 1/1,000 dilution. Positive control: Lane 1: Hela, Lane 2: 293.
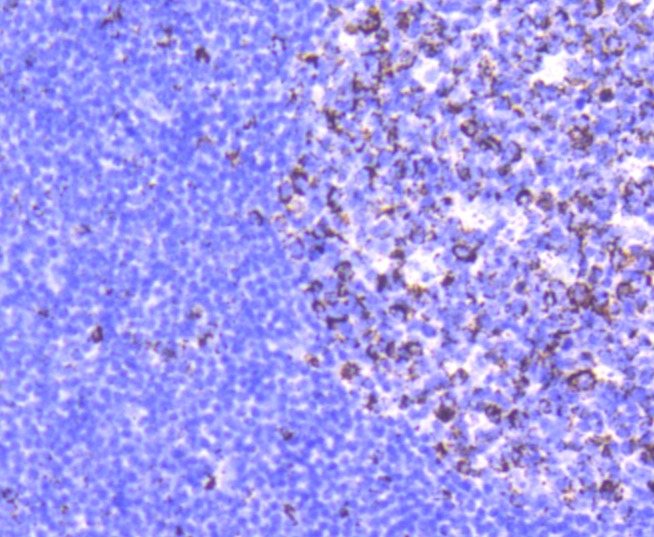
2. Immunohistochemical analysis of paraffin-embedded human tonsil tissue using anti-Glutaminase antibody. Counter stained with hematoxylin.
3. Immunohistochemical analysis of paraffin-embedded human kidney tissue using anti-Glutaminase antibody. Counter stained with hematoxylin.
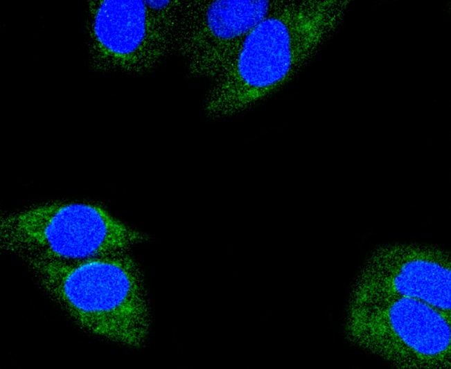
4. ICC staining Glutaminase in Hela cells (green). The nuclear counter stain is DAPI (blue). Cells were fixed in paraformaldehyde, permeabilised with 0.25% Triton X100/PBS.
5. ICC staining Glutaminase in HepG2 cells (green). The nuclear counter stain is DAPI (blue). Cells were fixed in paraformaldehyde, permeabilised with 0.25% Triton X100/PBS.
verifiedActivityverifiedActivityverifiedActivityverifiedActivityverifiedActivity
应用ICC/IFIHCWB
推荐剂量
WB: 1:1000-2000; IHC: 1:50-200; ICC/IF: 1:50-200
抗体种类
Monoclonal
宿主来源Rabbit
构建方式Recombinant Antibody
纯化方式ProA affinity purified
性状Liquid
缓冲液1*TBS (pH7.4), 1%BSA, 40%Glycerol. Preservative: 0.05% Sodium Azide.
研究背景Glutamine is an important molecule involved in several cellular functions, including nitrogen and carbon transport, hepatic urea synthesis, renal ammoniagenesis, and gluconeogenesis. Glutamine is catabolized by either the liver-type (LGA) or kidney-type (KGA) glutaminase. KGA is mitochondrial specific protein whose expression in kidney is increased during metabolic acidosis. This process is mediated by an 8-base AU-sequence in KGA that functions as a pH-response element. The human KGA gene maps to chromosome 2, and produces three isoforms, designated KGA, GAC, and GAM, by alternative splicing. KGA is synthesized as a cytosolic protein that is transported to the mitochondria as an intermediate protein, and is further cleaved into the KGA isoform and the GAC isoform. The processing of the GAM isoform is unclear. The KGA isoform is abundant in brain and kidney, while the GAC isoform is principally expressed in cardiac muscle and pancreas. The GAM isoform is solely expressed in cardiac and skeletal muscle.
偶联与修饰
偶联
Unconjugated
抗原信息
免疫原
Recombinant Protein
Uniprot ID
化学信息
分子量Theoretical: 65 kDa.
存储&运输
储存方式Store at -20°C or -80°C for 12 months. Avoid repeated freeze-thaw cycles.
运输方式Shipping with blue ice.

计算器

  • 稀释 计算器

评论列表

4个月前
5.0
Rating icon 很棒

评论内容

Related Tags: buy Anti-Glutaminase Antibody (8G424) | purchase Anti-Glutaminase Antibody (8G424) | Anti-Glutaminase Antibody (8G424) cost | order Anti-Glutaminase Antibody (8G424) | Anti-Glutaminase Antibody (8G424) molecular weight