购物车
  • TargetMol
    您的购物车当前为空

Anti-Glutamate receptor 1 Antibody (3G336)

Synonyms: OTTHUMP00000224243, OTTHUMP00000224242, OTTHUMP00000224241, OTTHUMP00000165781, OTTHUMP00000160643, MGC133252, HBGR1, GRIA1, Gria 1, Glutamate receptor, ionotropic, AMPA 1, Glutamate receptor ionotropic AMPA 1, Glutamate receptor ionotropic, Glutamate receptor 1, GluR-K1, GluRK1, GluR-A, GLURA, GLUR1, GluR K1, GLUR A, GLUR 1, GLUH1, GLUH 1, AMPA selective glutamate receptor 1, AMPA 1
货号 TMAC-01685 一键复制产品信息
Rating icon 还可以

Anti-Glutamate receptor 1 Antibody (3G336) 是一种 Rabbit 抗体,靶向 Glutamate receptor 1。Anti-Glutamate receptor 1 Antibody (3G336) 可用于 IHC,IP,WB。

Anti-Glutamate receptor 1 Antibody (3G336)

一键复制产品信息
Rating icon 还可以
货号 TMAC-01685

别名 OTTHUMP00000224243, OTTHUMP00000224242, OTTHUMP00000224241, OTTHUMP00000165781, OTTHUMP00000160643, MGC133252, HBGR1, GRIA1, Gria 1, Glutamate receptor, ionotropic, AMPA 1, Glutamate receptor ionotropic AMPA 1, Glutamate receptor ionotropic, Glutamate receptor 1, GluR-K1, GluRK1, GluR-A, GLURA, GLUR1, GluR K1, GLUR A, GLUR 1, GLUH1, GLUH 1, AMPA selective glutamate receptor 1, AMPA 1

Anti-Glutamate receptor 1 Antibody (3G336) 是一种 Rabbit 抗体,靶向 Glutamate receptor 1。Anti-Glutamate receptor 1 Antibody (3G336) 可用于 IHC,IP,WB。

Anti-Glutamate receptor 1 Antibody (3G336)
规格价格库存数量
50 μL
¥ 1,495
5日内发货
100 μL
¥ 2,480
5日内发货
库存状态实时更新,以官网显示为准,现货产品可直接加购物车下单
大包装 & 定制
加入购物车

TargetMol的所有产品仅用作科学研究或药证申报,不能被用于人体,我们不向个人提供产品和服务。请您遵守承诺用途,不得违反法律法规规定用于任何其他用途。

实验操作小课堂
常见问题解答
查看更多

资源下载:产品操作手册

产品介绍


生物活性
产品描述
Anti-Glutamate receptor 1 Antibody (3G336) is a Rabbit antibody targeting Glutamate receptor 1. Anti-Glutamate receptor 1 Antibody (3G336) can be used in IHC,IP,WB.
别名
OTTHUMP00000224243, OTTHUMP00000224242, OTTHUMP00000224241, OTTHUMP00000165781, OTTHUMP00000160643, MGC133252, HBGR1, GRIA1, Gria 1, Glutamate receptor, ionotropic, AMPA 1, Glutamate receptor ionotropic AMPA 1, Glutamate receptor ionotropic, Glutamate receptor 1, GluR-K1, GluRK1, GluR-A, GLURA, GLUR1, GluR K1, GLUR A, GLUR 1, GLUH1, GLUH 1, AMPA selective glutamate receptor 1, AMPA 1
Ig Type
IgG
克隆号
3G336
反应种属
Human,Mouse,Rat
验证活性
1. Western blot analysis of GluR1 on rat brain lysates using anti-GluR1 antibody at 1/1,000 dilution.
2. Immunohistochemical analysis of paraffin-embedded rat brain tissue using anti-GluR1 antibody. Counter stained with hematoxylin.
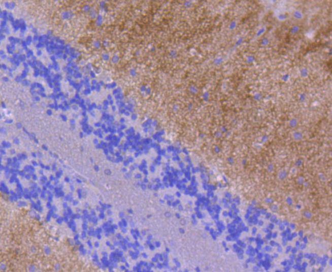
3. Immunohistochemical analysis of paraffin-embedded rat cerebellum tissue using anti-GluR1 antibody. Counter stained with hematoxylin.
4. Immunohistochemical analysis of paraffin-embedded mouse brain tissue using anti-GluR1 antibody. Counter stained with hematoxylin.
5. Immunohistochemical analysis of paraffin-embedded mouse cerebellum tissue using anti-GluR1 antibody. Counter stained with hematoxylin.
verifiedActivityverifiedActivityverifiedActivityverifiedActivityverifiedActivity
应用IHCIPWB
推荐剂量
WB: 1:1000-2000; IHC: 1:50-200
抗体种类
Monoclonal
宿主来源Rabbit
构建方式Recombinant Antibody
纯化方式ProA affinity purified
性状Liquid
缓冲液1*TBS (pH7.4), 1%BSA, 40%Glycerol. Preservative: 0.05% Sodium Azide.
研究背景Glutamate receptors mediate most excitatory neurotransmission in the brain and play an important role in neural plasticity, neural development and neurodegeneration. Ionotropic glutamate receptors are categorized into NMDA receptors and kainate/AMPA receptors, both of which contain glutamate-gated, cation-specific ion channels. Kainate/AMPA receptors are co-localized with NMDA receptors in many synapses and consist of seven structurally related subunits designated GluR-1 to -7. The kainate/AMPA receptors are primarily responsible for the fast excitatory neuro-transmission by glutamate whereas the NMDA receptors are functionally characterized by a slow kinetic and a high permeability for Ca2+ ions. The NMDA receptors consist of five subunits: epsilion 1, 2, 3, 4 and one zeta subunit. The zeta subunit is expressed throughout the brainstem whereas the four epsilon subunits display limited distribution.
偶联与修饰
偶联
Unconjugated
抗原信息
免疫原
Recombinant Protein
Uniprot ID
化学信息
分子量Theoretical: 92 kDa.
储存&溶解度
储存方式Store at -20°C or -80°C for 12 months. Avoid repeated freeze-thaw cycles.
运输方式Shipping with blue ice.

计算器

  • 稀释 计算器
  • 配液 计算器
Related Tags: buy Anti-Glutamate receptor 1 Antibody (3G336) | purchase Anti-Glutamate receptor 1 Antibody (3G336) | Anti-Glutamate receptor 1 Antibody (3G336) cost | order Anti-Glutamate receptor 1 Antibody (3G336) | Anti-Glutamate receptor 1 Antibody (3G336) molecular weight