购物车
  • 全部删除
  • TargetMol
    您的购物车当前为空

Anti-GFAP Antibody (6C642)

一键复制产品信息
Rating icon 还可以
产品编号 TMAC-01646
别名 Glial Fibrillary Acidic Protein, GFAP

Anti-GFAP Antibody (6C642) 是一种 Mouse 抗体,靶向 GFAP。Anti-GFAP Antibody (6C642) 可用于 IF,IHC,WB。

Anti-GFAP Antibody (6C642)

Anti-GFAP Antibody (6C642)

一键复制产品信息
Rating icon 还可以
产品编号 TMAC-01646 别名 Glial Fibrillary Acidic Protein, GFAP

Anti-GFAP Antibody (6C642) 是一种 Mouse 抗体,靶向 GFAP。Anti-GFAP Antibody (6C642) 可用于 IF,IHC,WB。

规格价格库存数量
50 μL
¥ 1,340
5日内发货
100 μL
¥ 2,185
5日内发货
大包装 & 定制
加入购物车
TargetMol 的所有产品仅用作科学研究或药证申报,不能被用于人体,我们不向个人提供产品和服务。请您遵守承诺用途,不得违反法律法规规定用于任何其他用途。
实验操作小课堂
常见问题解答
查看更多
联系我们获取更多批次信息
资源下载

产品介绍

生物活性
产品描述
Anti-GFAP Antibody (6C642) is a Mouse antibody targeting GFAP. Anti-GFAP Antibody (6C642) can be used in IF,IHC,WB.
别名Glial Fibrillary Acidic Protein, GFAP
克隆号
6C642
交叉反应
Human,Mouse,Rat
验证活性
1. Western blot analysis of lysates from 1) Rat Brain Tissue, 2)HeLa , 3)A431, 4) PC12 cells, (Green) primary antibody was diluted at 1:1000, 4°Cover night, secondary antibody was diluted at 1:10000, 37°C 1hour. (Red) Tubulin β Polyclonal Antibody antibody was diluted at 1:5000 as loading control, 4°C over night, secondary antibody was diluted at 1:10000, 37°C 1hour.
2. Immunohistochemical analysis of paraffin-embedded Mouse-kidney tissue. 1,GFAP Monoclonal Antibody was diluted at 1:200 (4°C, overnight). 2, Sodium citrate pH 6.0 was used for antibody retrieval (>98°C,2 0min). 3,Secondary antibody was diluted at 1:200 (room tempeRature, 30min). Negative control was used by secondary antibody only.
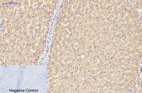
3. Immunohistochemical analysis of paraffin-embedded Human-liver tissue. 1,GFAP Monoclonal Antibody was diluted at 1:200 (4°C, overnight). 2, Sodium citrate pH 6.0 was used for antibody retrieval (>98°C, 20min). 3,Secondary antibody was diluted at 1:200 (room temperature, 30min). Negative control was used by secondary antibody only.
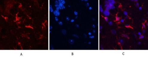
4. Immunofluorescence analysis of Rat-brain tissue. 1,GFAP Monoclonal Antibody (red) was diluted at 1:200 (4°C, overnight). 2, Cy3 labled Secondary antibody was diluted at 1:300 (room temperature, 50min).3, Picture B: DAPI(blue) 10min. Picture A:Target. Picture B: DAPI. Picture C: merge of A+B.
5. Immunofluorescence analysis of Mouse-brain tissue. 1,GFAP Monoclonal Antibody (red) was diluted at 1:200 (4°C, overnight). 2, Cy3 labled Secondary antibody was diluted at 1:300 (room temperature, 50min).3, Picture B: DAPI (blue) 10min. Picture A: Target. Picture B: DAPI. Picture C: merge of A+B.
6. Immunofluorescence analysis of Hela cell. 1,AR Polyclonal Antibody (red) was diluted at 1:200 (4°C overnight). GFAP Monoclonal Antibody (green) was diluted at 1:200 (4°C overnight). 2, Goat Anti Rabbit Alexa Fluor 594 was diluted at 1:1000 (room temperature, 50min). Goat Anti Mouse Alexa Fluor 488 was diluted at 1:1000 (room temperature, 50min).
verifiedActivityverifiedActivityverifiedActivityverifiedActivityverifiedActivityverifiedActivity
应用IFIHCWB
推荐剂量
WB: 1:2000-5000; IHC: 1:50-300; IF: 1:100-200
抗体种类
Monoclonal
宿主来源Mouse
构建方式Hybridoma Monoclonal Antibody
纯化方式The antibody was affinity-purified from mouse ascites by affinity-chromatography using specific immunogen.
性状Liquid
缓冲液PBS, pH 7.4, containing 0.5%BSA, 0.02% sodium azide as Preservative and 50% Glycerol.
研究背景This gene encodes one of the major intermediate filament proteins of mature astrocytes. It is used as a marker to distinguish astrocytes from other glial cells during development. Mutations in this gene cause Alexander disease, a rare disorder of astrocytes in the central nervous system. Alternative splicing results in multiple transcript variants encoding distinct isoforms. [provided by RefSeq, Oct 2008],
偶联与修饰
偶联
Unconjugated
抗原信息
Uniprot ID
化学信息
分子量Actual: 45 kDa.
存储&运输
储存方式Store at -20°C or -80°C for 12 months. Avoid repeated freeze-thaw cycles.
运输方式Shipping with blue ice.

计算器

  • 稀释 计算器

评论列表

4个月前
5.0
Rating icon 很棒

评论内容

Related Tags: buy Anti-GFAP Antibody (6C642) | purchase Anti-GFAP Antibody (6C642) | Anti-GFAP Antibody (6C642) cost | order Anti-GFAP Antibody (6C642) | Anti-GFAP Antibody (6C642) molecular weight