购物车
  • 全部删除
  • TargetMol
    您的购物车当前为空

Anti-FOXF2 Antibody (8Y605)

一键复制产品信息
Rating icon 还可以
产品编号 TMAC-01533
别名 OTTHUMP00000017863, FREAC2, FREAC 2, FOXF 2, FOX F2, Forkhead, Drosophila, homolog-like 6, Forkhead related transcription factor 2, Forkhead related protein FKHL6, Forkhead related activator 2, Forkhead like 6, Forkhead box protein F2, Forkhead box F2, FKHL6, FKHL 6, FKH L6

Anti-FOXF2 Antibody (8Y605) 是一种 Mouse 抗体,靶向 FOXF2。Anti-FOXF2 Antibody (8Y605) 可用于 IF,IP,WB。

Anti-FOXF2 Antibody (8Y605)

Anti-FOXF2 Antibody (8Y605)

一键复制产品信息
Rating icon 还可以
产品编号 TMAC-01533 别名 OTTHUMP00000017863, FREAC2, FREAC 2, FOXF 2, FOX F2, Forkhead, Drosophila, homolog-like 6, Forkhead related transcription factor 2, Forkhead related protein FKHL6, Forkhead related activator 2, Forkhead like 6, Forkhead box protein F2, Forkhead box F2, FKHL6, FKHL 6, FKH L6

Anti-FOXF2 Antibody (8Y605) 是一种 Mouse 抗体,靶向 FOXF2。Anti-FOXF2 Antibody (8Y605) 可用于 IF,IP,WB。

规格价格库存数量
50 μL
¥ 1,990
5日内发货
100 μL
¥ 2,985
5日内发货
大包装 & 定制
加入购物车
TargetMol 的所有产品仅用作科学研究或药证申报,不能被用于人体,我们不向个人提供产品和服务。请您遵守承诺用途,不得违反法律法规规定用于任何其他用途。
实验操作小课堂
常见问题解答
查看更多
联系我们获取更多批次信息
资源下载

产品介绍

生物活性
产品描述
Anti-FOXF2 Antibody (8Y605) is a Mouse antibody targeting FOXF2. Anti-FOXF2 Antibody (8Y605) can be used in IF,IP,WB.
别名OTTHUMP00000017863, FREAC2, FREAC 2, FOXF 2, FOX F2, Forkhead, Drosophila, homolog-like 6, Forkhead related transcription factor 2, Forkhead related protein FKHL6, Forkhead related activator 2, Forkhead like 6, Forkhead box protein F2, Forkhead box F2, FKHL6, FKHL 6, FKH L6
克隆号
8Y605
交叉反应
Human,Mouse
验证活性
1. Western blot analysis of FOXF2 expression in HepG2 (A), HeLa (B), A549 (C) and THP-1 (D) nuclear extracts.
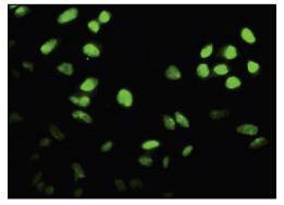
2. Immunofluorescence staining of paraformaldehyde-fixed HeLa cells showing nuclear localization.
verifiedActivityverifiedActivity
应用IFIPWB
推荐剂量
WB: 1:100-1000; IP: 1-2 μg per 100-500 μg of total protein(1 ml of cell lysate) IF: 1:50-500
抗体种类
Monoclonal
宿主来源Mouse
构建方式Hybridoma Monoclonal Antibody
纯化方式ProA affinity purified
性状Liquid
缓冲液1*TBS (pH7.4), 1%BSA, 40%Glycerol. Preservative: 0.05% Sodium Azide.
研究背景The FOX family of transcription factors share a common DIUA binding domain termed a winged-helix or forkhead domain. Many FOX proteins play important roles in development, metabolism, cancer and aging. Development of the vertebrate gut is controlled by paracrine crosstalk between the endodermal epithelium and the associated splanchnic mesoderm. FOXF2 (forkhead box F2), also known as FKHL or FREAC2, is expressed in lung and placenta, and has been shown to transcriptionally activate several lung-specific genes. FOXF2 interacts with transcription factors TFIIB and TBP, and may be involved in regulating transcription in embryogenesis and pattern formation in multicellular organisms. FOXF2-deficient mice develop cleft palate and an abnormal tongue, which suggests that FOXF2 may be critical for palatogenesis.
偶联与修饰
偶联
Unconjugated
抗原信息
免疫原
Recombinant Protein: human FOXF2
抗原种属
human
Uniprot ID
化学信息
分子量Theoretical: 40 kDa.
存储&运输
储存方式Store at -20°C or -80°C for 12 months. Avoid repeated freeze-thaw cycles.
运输方式Shipping with blue ice.

计算器

  • 稀释 计算器

评论列表

4个月前
5.0
Rating icon 很棒

评论内容

Related Tags: buy Anti-FOXF2 Antibody (8Y605) | purchase Anti-FOXF2 Antibody (8Y605) | Anti-FOXF2 Antibody (8Y605) cost | order Anti-FOXF2 Antibody (8Y605) | Anti-FOXF2 Antibody (8Y605) molecular weight