购物车
  • 全部删除
  • TargetMol
    您的购物车当前为空

Anti-FOXA1 Antibody (5M374)

一键复制产品信息
Rating icon 还可以
产品编号 TMAC-01531

Anti-FOXA1 Antibody (5M374) 是一种 Rabbit 抗体,靶向 FOXA1。Anti-FOXA1 Antibody (5M374) 可用于 ICC/IF,IHC,WB。

Anti-FOXA1 Antibody (5M374)

Anti-FOXA1 Antibody (5M374)

一键复制产品信息
Rating icon 还可以
产品编号 TMAC-01531

Anti-FOXA1 Antibody (5M374) 是一种 Rabbit 抗体,靶向 FOXA1。Anti-FOXA1 Antibody (5M374) 可用于 ICC/IF,IHC,WB。

规格价格库存数量
50 μL
¥ 1,485
5日内发货
100 μL
¥ 2,480
5日内发货
大包装 & 定制
加入购物车
TargetMol 的所有产品仅用作科学研究或药证申报,不能被用于人体,我们不向个人提供产品和服务。请您遵守承诺用途,不得违反法律法规规定用于任何其他用途。
实验操作小课堂
常见问题解答
查看更多
联系我们获取更多批次信息
资源下载

产品介绍

生物活性
产品描述
Anti-FOXA1 Antibody (5M374) is a Rabbit antibody targeting FOXA1. Anti-FOXA1 Antibody (5M374) can be used in ICC/IF,IHC,WB.
Ig Type
IgG
克隆号
5M374
交叉反应
Human,Mouse,Rat
验证活性
1. Western blot analysis of FOXA1 on different lysates using anti-FOXA1 antibody at 1/1,000 dilution. Positive control: Lane 1: 293, Lane 2: Mouse lung.
2. Immunohistochemical analysis of paraffin-embedded rat prostate tissue using anti-FOXA1 antibody. Counter stained with hematoxylin.
3. Immunohistochemical analysis of paraffin-embedded human breast tissue using anti-FOXA1 antibody. Counter stained with hematoxylin.
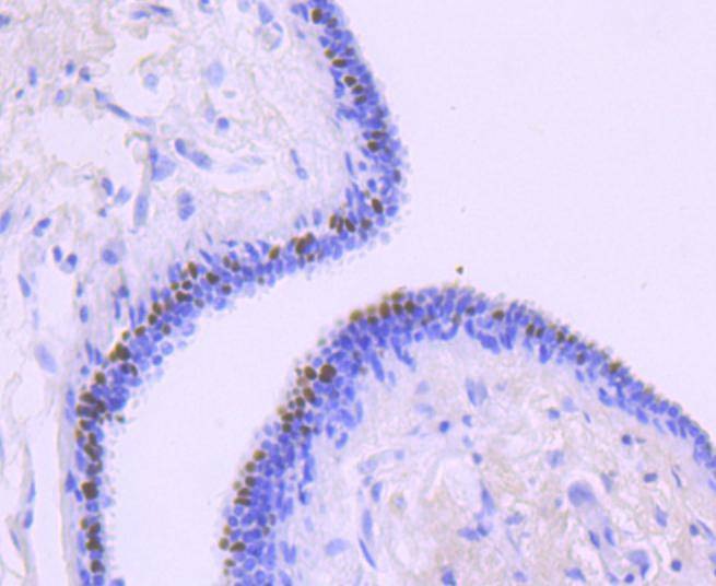
4. Immunohistochemical analysis of paraffin-embedded mouse colon tissue using anti-FOXA1 antibody. Counter stained with hematoxylin.
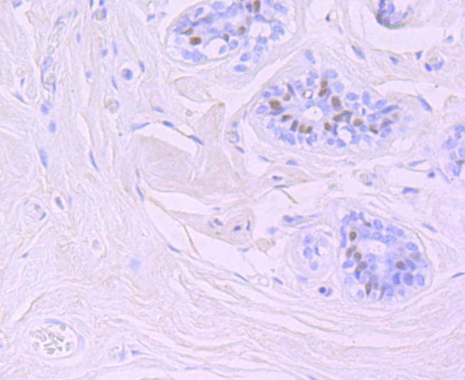
5. Immunohistochemical analysis of paraffin-embedded human breast carcinoma tissue using anti-FOXA1 antibody. Counter stained with hematoxylin.
6. ICC staining FOXA1 in MCF-7 cells (red). The nuclear counter stain is DAPI (blue). Cells were fixed in paraformaldehyde, permeabilised with 0.25% Triton X100/PBS.
verifiedActivityverifiedActivityverifiedActivityverifiedActivityverifiedActivityverifiedActivity
应用ICC/IFIHCWB
推荐剂量
WB: 1:1000-2000; IHC: 1:50-200; ICC/IF: 1:50-200
抗体种类
Monoclonal
宿主来源Rabbit
构建方式Recombinant Antibody
纯化方式ProA affinity purified
性状Liquid
缓冲液1*TBS (pH7.4), 1%BSA, 40%Glycerol. Preservative: 0.05% Sodium Azide.
研究背景HNF-1 (α and β), HNF-3 (α, β and γ), HNF-4 (α and γ), and HNF-6 compose, in part, a homoeprotein family designated the hepatocyte nuclear factor family. The various HNF-1 isoforms regulate transcription of genes in the liver as well as in other tissues such as kidney, small intestine and thymus. HNF-3α, HNF-3β and HNF-3γ regulate the transcription of numerous hepatocyte genes in adult liver. HNF-3α and HNF-3β have also been shown to be involved in gastrulation events such as body axis formation. HNF-4α and HNF-4γ have been shown to be important for early embryo development. HNF-4α is expressed in liver, kidney, pancreas, small intestine, testis and colon; HNF-4γ is expressed in each of these tissues except liver. HNF-6 has been shown to bind to the promoter of HNF-3β, which indicates a potential role of HNF-6 in gut endoderm epithelial cell differentiation. Evidence suggests that HNF-6 may also be a transriptional activator for at least 22 other hepatocyte-enriched genes, including cytochrome P450 2C13 and α-1 antitrypsin.
偶联与修饰
偶联
Unconjugated
抗原信息
免疫原
Recombinant Protein
Uniprot ID
化学信息
分子量Theoretical: 49 kDa.
存储&运输
储存方式Store at -20°C or -80°C for 12 months. Avoid repeated freeze-thaw cycles.
运输方式Shipping with blue ice.

计算器

  • 稀释 计算器

关键词

评论列表

4个月前
5.0
Rating icon 很棒

评论内容

Related Tags: buy Anti-FOXA1 Antibody (5M374) | purchase Anti-FOXA1 Antibody (5M374) | Anti-FOXA1 Antibody (5M374) cost | order Anti-FOXA1 Antibody (5M374) | Anti-FOXA1 Antibody (5M374) molecular weight