购物车
  • 全部删除
  • TargetMol
    您的购物车当前为空

Anti-FMR1 Antibody (7X357)

一键复制产品信息
Rating icon 还可以
产品编号 TMAC-01523
别名 Protein FMR-1, Fragile X mental retardation protein 1, FMRP, FMR 1

Anti-FMR1 Antibody (7X357) 是一种 Mouse 抗体,靶向 FMR1。Anti-FMR1 Antibody (7X357) 可用于 ELISA,IF,IHC,WB。

Anti-FMR1 Antibody (7X357)

Anti-FMR1 Antibody (7X357)

一键复制产品信息
Rating icon 还可以
产品编号 TMAC-01523 别名 Protein FMR-1, Fragile X mental retardation protein 1, FMRP, FMR 1

Anti-FMR1 Antibody (7X357) 是一种 Mouse 抗体,靶向 FMR1。Anti-FMR1 Antibody (7X357) 可用于 ELISA,IF,IHC,WB。

规格价格库存数量
50 μL
¥ 1,345
5日内发货
100 μL
¥ 2,185
5日内发货
大包装 & 定制
加入购物车
TargetMol 的所有产品仅用作科学研究或药证申报,不能被用于人体,我们不向个人提供产品和服务。请您遵守承诺用途,不得违反法律法规规定用于任何其他用途。
实验操作小课堂
常见问题解答
查看更多
联系我们获取更多批次信息
资源下载

产品介绍

生物活性
产品描述
Anti-FMR1 Antibody (7X357) is a Mouse antibody targeting FMR1. Anti-FMR1 Antibody (7X357) can be used in ELISA,IF,IHC,WB.
别名Protein FMR-1, Fragile X mental retardation protein 1, FMRP, FMR 1
克隆号
7X357
交叉反应
Human
验证活性
1. Western Blot analysis using FMR1 Monoclonal Antibody against Jurkat (1) and K562 (2) cell lysate.
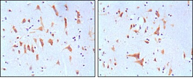
2. Immunohistochemistry analysis of paraffin-embedded human brain tissues.
3. Immunofluorescence analysis of NIH/3T3 cells using FMR1 Monoclonal Antibody (green).
verifiedActivityverifiedActivityverifiedActivity
应用ELISAIFIHCWB
推荐剂量
WB: 1:500-2000; IHC: 1:200-1000; IF: 1:200-1000; ELISA: 1:10000
抗体种类
Monoclonal
宿主来源Mouse
构建方式Hybridoma Monoclonal Antibody
纯化方式Affinity purification
性状Liquid
缓冲液Ascitic fluid containing 0.03% sodium azide,0.5% BSA, 50%glycerol.
偶联与修饰
偶联
Unconjugated
抗原信息
免疫原
Recombinant Protein: human FMR1
抗原种属
human
基因ID
Uniprot ID
存储&运输
储存方式Store at -20°C or -80°C for 12 months. Avoid repeated freeze-thaw cycles.
运输方式Shipping with blue ice.

计算器

  • 稀释 计算器

评论列表

4个月前
5.0
Rating icon 很棒

评论内容

Related Tags: buy Anti-FMR1 Antibody (7X357) | purchase Anti-FMR1 Antibody (7X357) | Anti-FMR1 Antibody (7X357) cost | order Anti-FMR1 Antibody (7X357)