购物车
  • 全部删除
  • TargetMol
    您的购物车当前为空

Anti-FGF-21 Antibody (3Q948)

一键复制产品信息
Rating icon 还可以
产品编号 TMAC-01461
别名 成纤维细胞生长因子

Anti-FGF-21 Antibody (3Q948) 是一种 Rabbit 抗体,靶向 FGF-21。Anti-FGF-21 Antibody (3Q948) 可用于 IHC,WB。

Anti-FGF-21 Antibody (3Q948)

Anti-FGF-21 Antibody (3Q948)

一键复制产品信息
Rating icon 还可以
产品编号 TMAC-01461 别名 成纤维细胞生长因子

Anti-FGF-21 Antibody (3Q948) 是一种 Rabbit 抗体,靶向 FGF-21。Anti-FGF-21 Antibody (3Q948) 可用于 IHC,WB。

规格价格库存数量
50 μL
¥ 1,485
5日内发货
100 μL
¥ 2,485
5日内发货
大包装 & 定制
加入购物车
TargetMol 的所有产品仅用作科学研究或药证申报,不能被用于人体,我们不向个人提供产品和服务。请您遵守承诺用途,不得违反法律法规规定用于任何其他用途。
实验操作小课堂
常见问题解答
查看更多
联系我们获取更多批次信息
资源下载

产品介绍

生物活性
产品描述
Anti-FGF-21 Antibody (3Q948) is a Rabbit antibody targeting FGF-21. Anti-FGF-21 Antibody (3Q948) can be used in IHC,WB.
别名成纤维细胞生长因子
Ig Type
IgG
克隆号
3Q948
交叉反应
Human,Mouse,Rat
验证活性
1. Western blot analysis of FGF21 on rat liver cells lysates using anti-FGF21 antibody at 1/1,000 dilution.
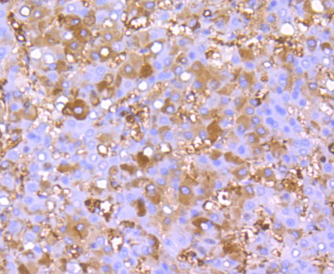
2. Immunohistochemical analysis of paraffin-embedded human liver cancer tissue using anti-FGF21 antibody. Counter stained with hematoxylin.
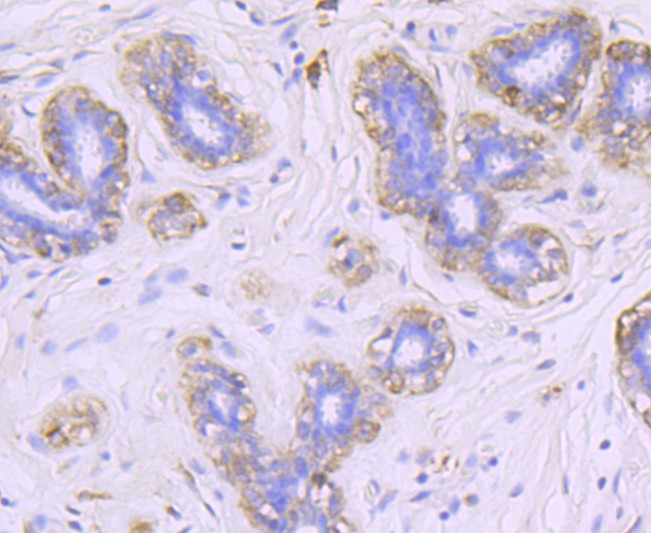
3. Immunohistochemical analysis of paraffin-embedded human brest tissue using anti-FGF21 antibody. Counter stained with hematoxylin.
4. Immunohistochemical analysis of paraffin-embedded mouse stomach tissue using anti-FGF21 antibody. Counter stained with hematoxylin.
verifiedActivityverifiedActivityverifiedActivityverifiedActivity
应用IHCWB
推荐剂量
WB: 1:1000-5000; IHC: 1:50-200
抗体种类
Monoclonal
宿主来源Rabbit
构建方式Recombinant Antibody
纯化方式ProA affinity purified
性状Liquid
缓冲液1*TBS (pH7.4), 1%BSA, 40%Glycerol. Preservative: 0.05% Sodium Azide.
研究背景Fibroblast growth factor-1 (FGF-1), also designated acidic FGF, and fibroblast growth factor-2 (FGF-2), also designated basic FGF, are members of a family of growth factors that stimulate proliferation of cells of mesenchymal, epithe-lial and neuroectodermal origin. Additional members of the FGF family include the oncogenes FGF-3 (Int2) and FGF-4 (hst/Kaposi), FGF-5, FGF-6, FGF-7 (KGF), FGF-8 (AIGF), FGF-9 (GAF) and FGF-10-FGF-23. Members of the FGF family share 30-55% amino acid sequence identity and similar gene structure and are capable of transforming cultured cells when overexpressed in transfected cells. Cellular receptors for FGFs are members of a second multigene family including four tyrosine kinases, designated Flg (FGFR-1), Bek (FGFR-L), TKF and FGFR-3.
偶联与修饰
偶联
Unconjugated
抗原信息
免疫原
Recombinant Protein
Uniprot ID
化学信息
分子量Theoretical: 22 kDa.
存储&运输
储存方式Store at -20°C or -80°C for 12 months. Avoid repeated freeze-thaw cycles.
运输方式Shipping with blue ice.

计算器

  • 稀释 计算器

评论列表

4个月前
5.0
Rating icon 很棒

评论内容

Related Tags: buy Anti-FGF-21 Antibody (3Q948) | purchase Anti-FGF-21 Antibody (3Q948) | Anti-FGF-21 Antibody (3Q948) cost | order Anti-FGF-21 Antibody (3Q948) | Anti-FGF-21 Antibody (3Q948) molecular weight