购物车
  • TargetMol
    您的购物车当前为空

Anti-FABP3 Antibody (7G722)

Synonyms: Heart-type fatty acid-binding protein (H-FABP), heart, Fatty acid-binding protein, heart, Fatty acid-binding protein 3, Fabp3
货号 TMAC-01420 一键复制产品信息
Rating icon 还可以

Anti-FABP3 Antibody (7G722) 是一种 Rabbit 抗体,靶向 FABP3。Anti-FABP3 Antibody (7G722) 可用于 IHC,WB。

Anti-FABP3 Antibody (7G722)

一键复制产品信息
Rating icon 还可以
货号 TMAC-01420

别名 Heart-type fatty acid-binding protein (H-FABP), heart, Fatty acid-binding protein, heart, Fatty acid-binding protein 3, Fabp3

Anti-FABP3 Antibody (7G722) 是一种 Rabbit 抗体,靶向 FABP3。Anti-FABP3 Antibody (7G722) 可用于 IHC,WB。

Anti-FABP3 Antibody (7G722)
规格价格库存数量
50 μL
¥ 1,480
5日内发货
100 μL
¥ 2,485
5日内发货
库存状态实时更新,以官网显示为准,现货产品可直接加购物车下单
大包装 & 定制
加入购物车

TargetMol的所有产品仅用作科学研究或药证申报,不能被用于人体,我们不向个人提供产品和服务。请您遵守承诺用途,不得违反法律法规规定用于任何其他用途。

实验操作小课堂
常见问题解答
查看更多

资源下载:产品操作手册

产品介绍


生物活性
产品描述
Anti-FABP3 Antibody (7G722) is a Rabbit antibody targeting FABP3. Anti-FABP3 Antibody (7G722) can be used in IHC,WB.
别名
Heart-type fatty acid-binding protein (H-FABP), heart, Fatty acid-binding protein, heart, Fatty acid-binding protein 3, Fabp3
Ig Type
IgG
克隆号
7G722
反应种属
Human,Mouse,Rat
验证活性
1. Western blot analysis of Cardiac FABP3 on rat heart tissue lysate using anti- Cardiac FABP3 antibody at 1/500 dilution.
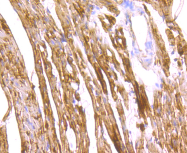
2. Immunohistochemical analysis of paraffin-embedded rat heart tissue using anti- Cardiac FABP3 antibody. Counter stained with hematoxylin.
3. Immunohistochemical analysis of paraffin-embedded mouse heart tissue using anti- Cardiac FABP3 antibody. Counter stained with hematoxylin.
verifiedActivityverifiedActivityverifiedActivity
应用IHCWB
推荐剂量
WB: 1:2000-5000; IHC: 1:50-200
抗体种类
Monoclonal
宿主来源Rabbit
构建方式Recombinant Antibody
纯化方式ProA affinity purified
性状Liquid
缓冲液1*TBS (pH7.4), 1%BSA, 40%Glycerol. Preservative: 0.05% Sodium Azide.
研究背景Fatty acid-binding proteins, designated FABPs, are a family of homologous cytoplasmic proteins that are expressed in a highly tissue-specific manner and play an integral role in the balance between lipid and carbohydrate metabolism. FABPs mediate fatty acid (FA) and/or hydrophobic ligand uptake, transport and targeting within their respective tissues. The mechanisms underlying these actions can give rise to both passive diffusional uptake and protein-mediated transmembrane transport of FAs. FABPs are expressed in adipocytes (A-FABP), brain (B-FABP), epidermis (E-FABP, also designated psoriasis-associated FABP or PA-FABP), muscle and heart (H-FABP, also designated mammary-derived growth inhibitor or MDGI), intestine (I-FABP), liver (L-FABP), myelin (M-FABP) and testis (T-FABP).
偶联与修饰
偶联
Unconjugated
抗原信息
免疫原
Recombinant Protein
Uniprot ID
化学信息
分子量Theoretical: 15 kDa.
储存&溶解度
储存方式Store at -20°C or -80°C for 12 months. Avoid repeated freeze-thaw cycles.
运输方式Shipping with blue ice.

计算器

  • 稀释 计算器
  • 配液 计算器
Related Tags: buy Anti-FABP3 Antibody (7G722) | purchase Anti-FABP3 Antibody (7G722) | Anti-FABP3 Antibody (7G722) cost | order Anti-FABP3 Antibody (7G722) | Anti-FABP3 Antibody (7G722) molecular weight