• TargetMol
    您的购物车当前为空

Anti-ERP29 Antibody (2E160)

一键复制产品信息
Rating icon 还可以
产品编号 TMAC-01375

别名 ERP29, ERp29, ERP28, Endoplasmic reticulum resident protein 31 (ERp31), Endoplasmic reticulum resident protein 29, Endoplasmic reticulum resident protein 28 (ERp28), C12orf8

Anti-ERP29 Antibody (2E160) 是一种 Rabbit 抗体,靶向 ERP29。Anti-ERP29 Antibody (2E160) 可用于 ICC,IF,IHC,WB。

Anti-ERP29 Antibody (2E160)

Anti-ERP29 Antibody (2E160)

一键复制产品信息
Rating icon 还可以
产品编号 TMAC-01375 别名 ERP29, ERp29, ERP28, Endoplasmic reticulum resident protein 31 (ERp31), Endoplasmic reticulum resident protein 29, Endoplasmic reticulum resident protein 28 (ERp28), C12orf8

Anti-ERP29 Antibody (2E160) 是一种 Rabbit 抗体,靶向 ERP29。Anti-ERP29 Antibody (2E160) 可用于 ICC,IF,IHC,WB。

规格价格库存数量
50 μL
¥ 1,495
5日内发货
100 μL
¥ 2,490
5日内发货
大包装 & 定制
加入购物车
TargetMol 的所有产品仅用作科学研究或药证申报,不能被用于人体,我们不向个人提供产品和服务。请您遵守承诺用途,不得违反法律法规规定用于任何其他用途。
实验操作小课堂
常见问题解答
查看更多
联系我们获取更多批次信息
资源下载

产品介绍

生物活性
产品描述
Anti-ERP29 Antibody (2E160) is a Rabbit antibody targeting ERP29. Anti-ERP29 Antibody (2E160) can be used in ICC,IF,IHC,WB.
别名ERP29, ERp29, ERP28, Endoplasmic reticulum resident protein 31 (ERp31), Endoplasmic reticulum resident protein 29, Endoplasmic reticulum resident protein 28 (ERp28), C12orf8
Ig Type
IgG
克隆号
2E160
交叉反应
Human,Mouse,Rat
验证活性
1. Western blot analysis of ERp29 on THP-1 cell using anti-ERp29 antibody at 1/500 dilution.
2. Immunohistochemical analysis of paraffin-embedded rat testis tissue using anti-ERp29 antibody. Counter stained with hematoxylin.
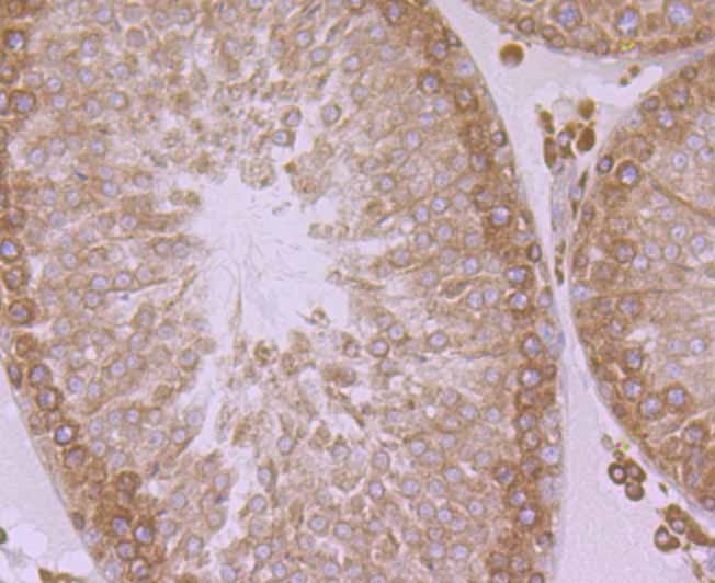
3. Immunohistochemical analysis of paraffin-embedded human thyroid gland tissue using anti-ERp29 antibody. Counter stained with hematoxylin.
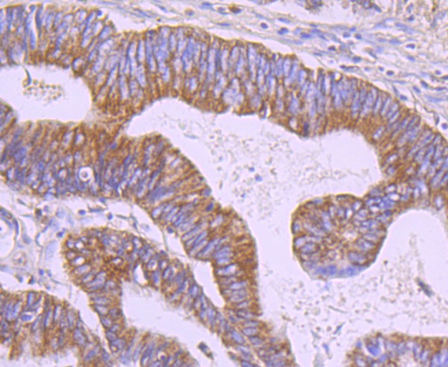
4. Immunohistochemical analysis of paraffin-embedded human colon cancer tissue using anti-ERp29 antibody. Counter stained with hematoxylin.
5. ICC staining ERp29 in F9 cells (green). The nuclear counter stain is DAPI (blue). Cells were fixed in paraformaldehyde, permeabilised with 0.25% Triton X100/PBS.
6. ICC staining ERp29 in PMVEC cells (green). The nuclear counter stain is DAPI (blue). Cells were fixed in paraformaldehyde, permeabilised with 0.25% Triton X100/PBS.
7. ICC staining ERp29 in SiHa cells (green). The nuclear counter stain is DAPI (blue). Cells were fixed in paraformaldehyde, permeabilised with 0.25% Triton X100/PBS.
verifiedActivityverifiedActivityverifiedActivityverifiedActivityverifiedActivityverifiedActivityverifiedActivity
应用ICCIFIHCWB
推荐剂量
WB: 1:500-1000; IHC: 1:50-200; ICC: 1:50-200
抗体种类
Monoclonal
宿主来源Rabbit
构建方式Recombinant Antibody
纯化方式ProA affinity purified
性状Liquid
缓冲液1*TBS (pH7.4), 1%BSA, 40%Glycerol. Preservative: 0.05% Sodium Azide.
研究背景ERp29 is a reticuloplasmin, a protein which resides in the lumen of the endoplasmic reticulum (ER). The protein shows sequence similarity to the protein disulfide-isomerase family. However, it lacks the thioredoxin motif characteristic of this family, suggesting that this protein does not function as a disulfide isomerase. The protein dimerizes and is thought to play a role in the processing of secretory proteins within the ER. Alternative splicing results in multiple transcript variants encoding different isoforms.
偶联与修饰
偶联
Unconjugated
抗原信息
免疫原
Recombinant Protein: human ERp29 aa 1-150
抗原种属
human
Uniprot ID
化学信息
分子量Theoretical: 29 kDa.
存储&运输
储存方式Store at -20°C or -80°C for 12 months. Avoid repeated freeze-thaw cycles.
运输方式Shipping with blue ice.

计算器

  • 稀释 计算器

关键词

评论列表

4个月前
5.0
Rating icon 很棒

评论内容

Related Tags: buy Anti-ERP29 Antibody (2E160) | purchase Anti-ERP29 Antibody (2E160) | Anti-ERP29 Antibody (2E160) cost | order Anti-ERP29 Antibody (2E160) | Anti-ERP29 Antibody (2E160) molecular weight