购物车
  • 全部删除
  • TargetMol
    您的购物车当前为空

Anti-ERCC1 Antibody (7K54)

一键复制产品信息
Rating icon 还可以
产品编号 TMAC-01359
别名 UV20, UV 20, RAD10, RAD 10, Excision repair protein, Excision Repair Cross Complementing Rodent Repair Deficiency Complementation Group 1, Excision repair cross complementing 1, Excision repair cross complementation group 1, ERCC1_HUMAN, ERCC1, ERCC 1, DNA excision repair protein ERCC-1, DNA excision repair protein ERCC1, DNA excision repair protein ERCC 1, COFS4, COFS 4

Anti-ERCC1 Antibody (7K54) 是一种 Rabbit 抗体,靶向 ERCC1。Anti-ERCC1 Antibody (7K54) 可用于 ICC/IF,IHC,WB。

Anti-ERCC1 Antibody (7K54)

Anti-ERCC1 Antibody (7K54)

一键复制产品信息
Rating icon 还可以
产品编号 TMAC-01359 别名 UV20, UV 20, RAD10, RAD 10, Excision repair protein, Excision Repair Cross Complementing Rodent Repair Deficiency Complementation Group 1, Excision repair cross complementing 1, Excision repair cross complementation group 1, ERCC1_HUMAN, ERCC1, ERCC 1, DNA excision repair protein ERCC-1, DNA excision repair protein ERCC1, DNA excision repair protein ERCC 1, COFS4, COFS 4

Anti-ERCC1 Antibody (7K54) 是一种 Rabbit 抗体,靶向 ERCC1。Anti-ERCC1 Antibody (7K54) 可用于 ICC/IF,IHC,WB。

规格价格库存数量
50 μL
¥ 1,480
5日内发货
100 μL
¥ 2,490
5日内发货
大包装 & 定制
加入购物车
TargetMol 的所有产品仅用作科学研究或药证申报,不能被用于人体,我们不向个人提供产品和服务。请您遵守承诺用途,不得违反法律法规规定用于任何其他用途。
实验操作小课堂
常见问题解答
查看更多
联系我们获取更多批次信息
资源下载

产品介绍

生物活性
产品描述
Anti-ERCC1 Antibody (7K54) is a Rabbit antibody targeting ERCC1. Anti-ERCC1 Antibody (7K54) can be used in ICC/IF,IHC,WB.
别名UV20, UV 20, RAD10, RAD 10, Excision repair protein, Excision Repair Cross Complementing Rodent Repair Deficiency Complementation Group 1, Excision repair cross complementing 1, Excision repair cross complementation group 1, ERCC1_HUMAN, ERCC1, ERCC 1, DNA excision repair protein ERCC-1, DNA excision repair protein ERCC1, DNA excision repair protein ERCC 1, COFS4, COFS 4
Ig Type
IgG
克隆号
7K54
交叉反应
Human,Mouse
验证活性
1. Western blot analysis of ERCC1 on different lysates using anti-ERCC1 antibody at 1/1,000 dilution. Positive control: Lane 1: Hela, Lane 2: Human lung, Lane 3: 293T, Lane 4: A549.
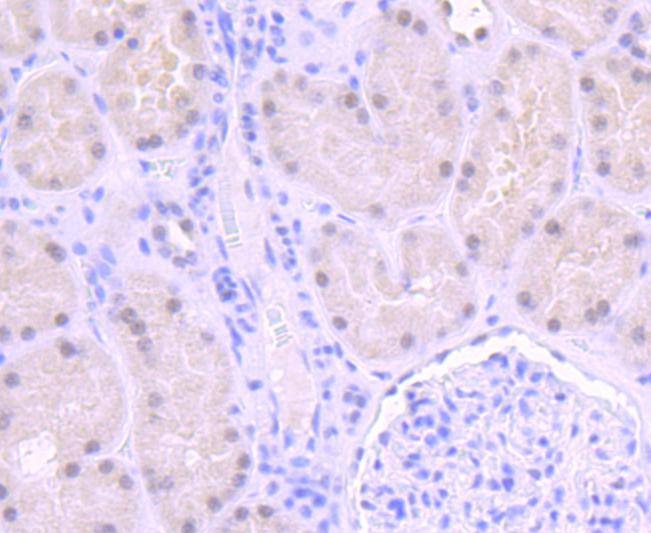
2. Immunohistochemical analysis of paraffin-embedded human kidney tissue using anti-ERCC1 antibody. Counter stained with hematoxylin.
3. ICC staining ERCC1 in Hela cells (red). The nuclear counter stain is DAPI (blue). Cells were fixed in paraformaldehyde, permeabilised with 0.25% Triton X100/PBS.
4. ICC staining ERCC1 in A549 cells (red). The nuclear counter stain is DAPI (blue). Cells were fixed in paraformaldehyde, permeabilised with 0.25% Triton X100/PBS.
5. ICC staining ERCC1 in HepG2 cells (red). The nuclear counter stain is DAPI (blue). Cells were fixed in paraformaldehyde, permeabilised with 0.25% Triton X100/PBS.
6. ICC staining ERCC1 in PANC-1 cells (red). The nuclear counter stain is DAPI (blue). Cells were fixed in paraformaldehyde, permeabilised with 0.25% Triton X100/PBS.
7. ICC staining ERCC1 in 293T cells (red). The nuclear counter stain is DAPI (blue). Cells were fixed in paraformaldehyde, permeabilised with 0.25% Triton X100/PBS.
verifiedActivityverifiedActivityverifiedActivityverifiedActivityverifiedActivityverifiedActivityverifiedActivity
应用ICC/IFIHCWB
推荐剂量
WB: 1:1000; IHC: 1:50-100; ICC/IF: 1:50
抗体种类
Monoclonal
宿主来源Rabbit
构建方式Recombinant Antibody
纯化方式ProA affinity purified
性状Liquid
缓冲液1*TBS (pH7.4), 1%BSA, 40%Glycerol. Preservative: 0.05% Sodium Azide.
研究背景Xeroderma pigmentosum (XP) is an autosomal recessive disorder characterized by a genetic predisposition to sunlight-induced skin cancer; it is commonly due to deficiencies in DNA repair enzymes. The most frequent mutations are found in the XP genes from group A through G and group V, which encode for nucleotide excision repair proteins. XPF, which is also designated ERCC4 or ERCC11, associates directly with the excision repair cross-complementing 1 (ERCC1) factor. ERCC-1, a functional homolog of Rad10 in S. cerevisiae, is a component of a structure-specific endonuclease that is responsible for 5' incisions during DNA repair. The ERCC1-XPF endo-nuclease preferentially cleaves one strand of DNA between duplex and single-stranded regions near borders of the stem-loop structure and, thereby, contributes to the initial steps of the nucleotide excision repair process.
偶联与修饰
偶联
Unconjugated
抗原信息
免疫原
Recombinant Protein
Uniprot ID
化学信息
分子量Theoretical: 36 kDa.
存储&运输
储存方式Store at -20°C or -80°C for 12 months. Avoid repeated freeze-thaw cycles.
运输方式Shipping with blue ice.

计算器

  • 稀释 计算器

评论列表

4个月前
5.0
Rating icon 很棒

评论内容

Related Tags: buy Anti-ERCC1 Antibody (7K54) | purchase Anti-ERCC1 Antibody (7K54) | Anti-ERCC1 Antibody (7K54) cost | order Anti-ERCC1 Antibody (7K54) | Anti-ERCC1 Antibody (7K54) molecular weight