• TargetMol
    您的购物车当前为空

Anti-EGFR Polyclonal Antibody 3

一键复制产品信息
Rating icon 还可以
产品编号 TMAB-00597

别名 PIG61, NISBD2, mENA, HER1, ERBB1, ERBB, epidermal growth factor receptor

Anti-EGFR Polyclonal Antibody 3 是一种 Rabbit 抗体,靶向 EGFR。Anti-EGFR Polyclonal Antibody 3 可用于 ELISA,IF,IHC-Fr,IHC-P,WB。

Anti-EGFR Polyclonal Antibody 3

Anti-EGFR Polyclonal Antibody 3

一键复制产品信息
Rating icon 还可以
产品编号 TMAB-00597 别名 PIG61, NISBD2, mENA, HER1, ERBB1, ERBB, epidermal growth factor receptor

Anti-EGFR Polyclonal Antibody 3 是一种 Rabbit 抗体,靶向 EGFR。Anti-EGFR Polyclonal Antibody 3 可用于 ELISA,IF,IHC-Fr,IHC-P,WB。

规格价格库存数量
50 μL
¥ 1,165
5日内发货
100 μL
¥ 1,965
5日内发货
大包装 & 定制
加入购物车
TargetMol 的所有产品仅用作科学研究或药证申报,不能被用于人体,我们不向个人提供产品和服务。请您遵守承诺用途,不得违反法律法规规定用于任何其他用途。
实验操作小课堂
常见问题解答
查看更多

Anti-EGFR Polyclonal Antibody 3 相关产品


资源下载

产品介绍

生物活性
产品描述
Anti-EGFR Polyclonal Antibody 3 is a Rabbit antibody targeting EGFR. Anti-EGFR Polyclonal Antibody 3 can be used in ELISA,IF,IHC-Fr,IHC-P,WB.
别名PIG61, NISBD2, mENA, HER1, ERBB1, ERBB, epidermal growth factor receptor
Ig Type
IgG
交叉反应
Human,Mouse,Rat
验证活性
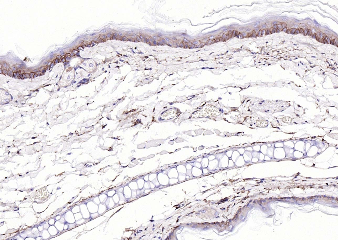
1. Paraformaldehyde-fixed, paraffin embedded (rat skin); Antigen retrieval by boiling in sodium citrate buffer (pH6.0) for 15 min; Block endogenous peroxidase by 3% hydrogen peroxide for 20 min; Blocking buffer (normal goat serum) at 37°C for 30 min; Antibody incubation with (EGFR) Polyclonal Antibody, Unconjugated (TMAB-00597) at 1:200 overnight at 4°C, followed by operating according to SP Kit (Rabbit) instructionsand DAB staining.
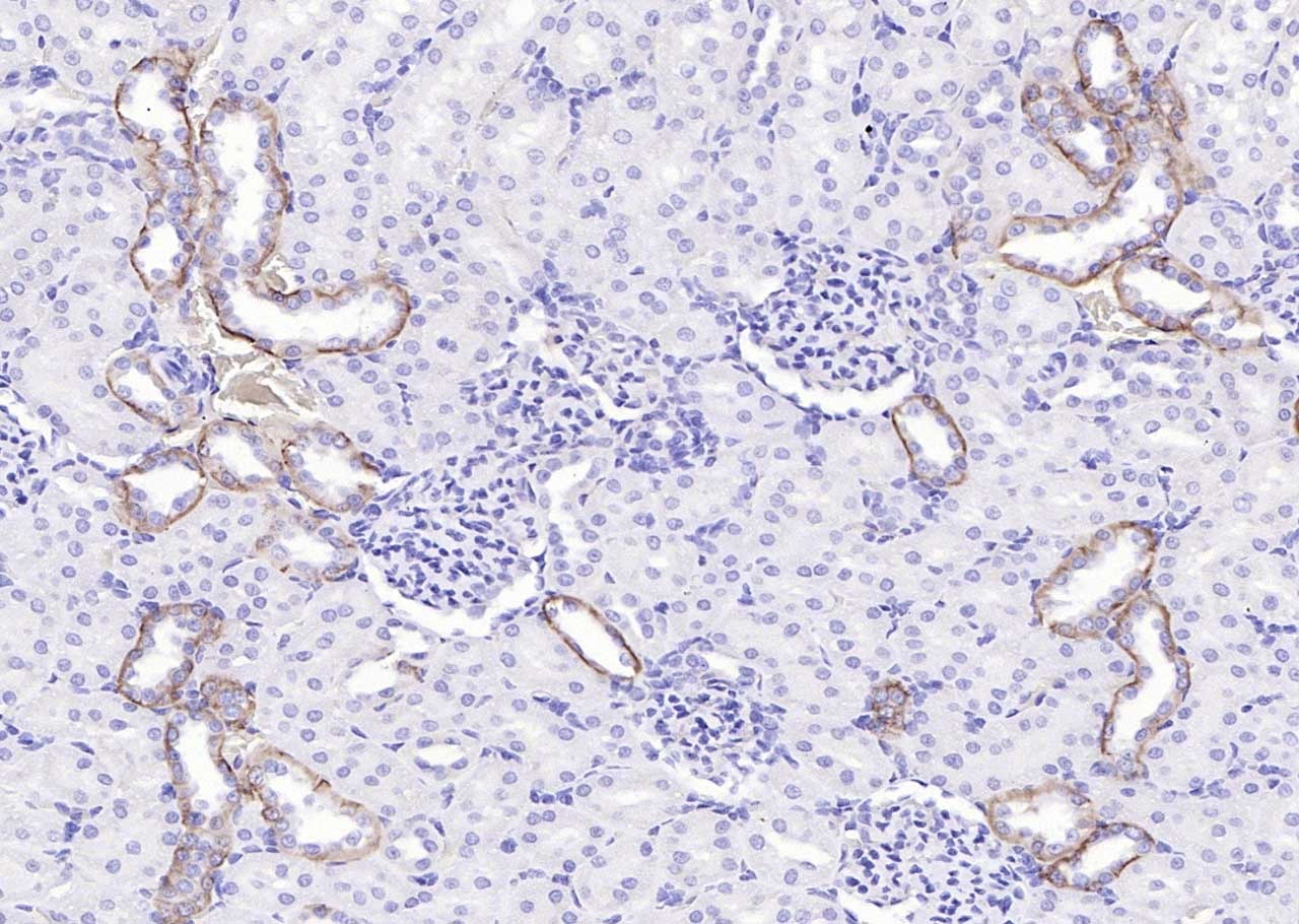
2. Paraformaldehyde-fixed, paraffin embedded (rat kidney); Antigen retrieval by boiling in sodium citrate buffer (pH6.0) for 15 min; Block endogenous peroxidase by 3% hydrogen peroxide for 20 min; Blocking buffer (normal goat serum) at 37°C for 30 min; Antibody incubation with (EGFR) Polyclonal Antibody, Unconjugated (TMAB-00597) at 1:200 overnight at 4°C, followed by operating according to SP Kit (Rabbit) instructionsand DAB staining.
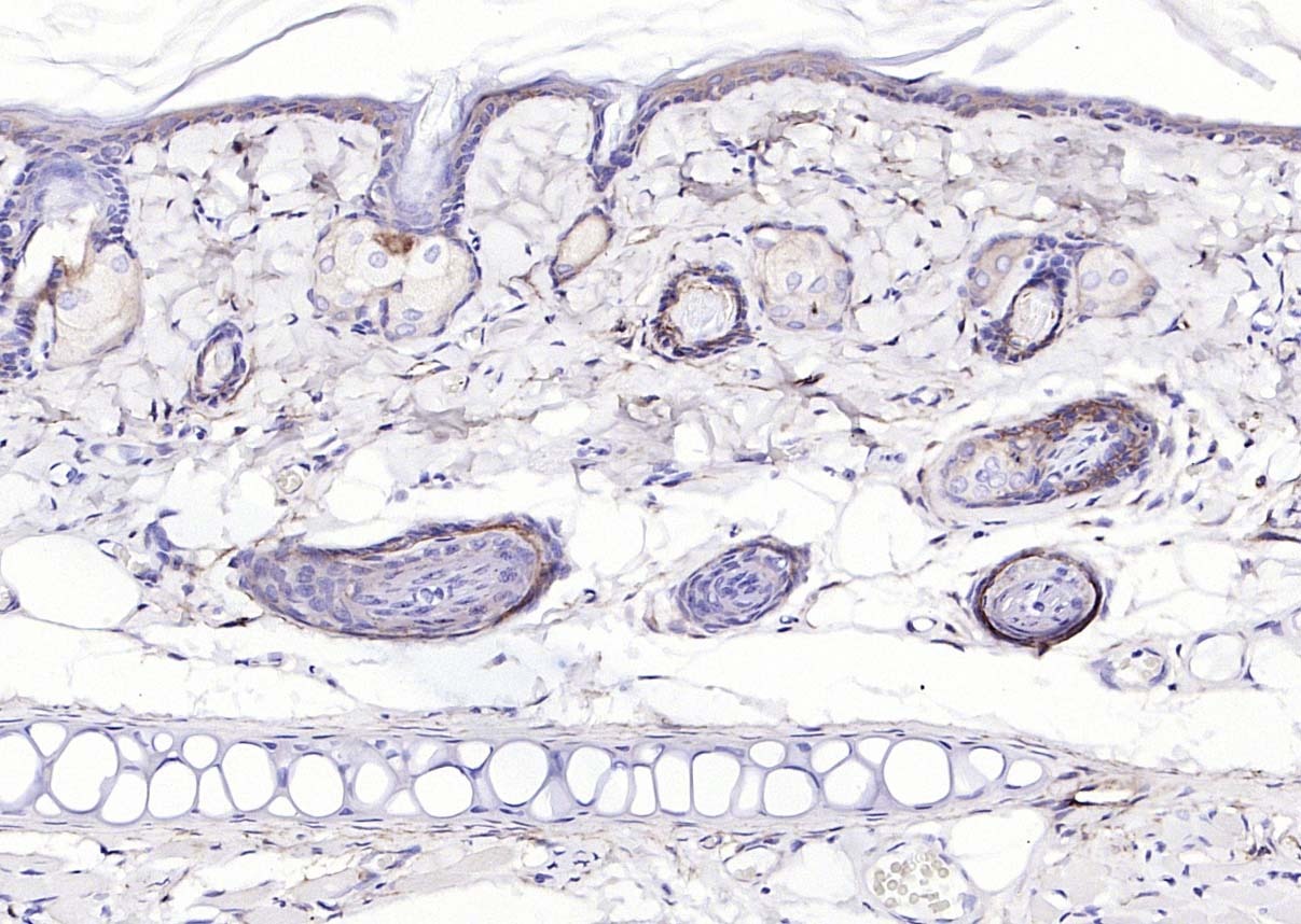
3. Paraformaldehyde-fixed, paraffin embedded (mouse skin); Antigen retrieval by boiling in sodium citrate buffer (pH6.0) for 15 min; Block endogenous peroxidase by 3% hydrogen peroxide for 20 min; Blocking buffer (normal goat serum) at 37°C for 30 min; Antibody incubation with (EGFR) Polyclonal Antibody, Unconjugated (TMAB-00597) at 1:200 overnight at 4°C, followed by operating according to SP Kit (Rabbit) instructionsand DAB staining.
4. Sample:
Lane 1: Human HeLa cell lysates
Lane 2: Human MDA-MB-231 cell lysates
Primary: Anti-EGFR (TMAB-00597) at 1/500 dilution
Secondary: IRDye800CW Goat Anti-Rabbit IgG at 1/20000 dilution
Predicted band size: 175 kDa
Observed band size: 170 kDa
5. 25 μg total protein per Lane of various lysates probed with EGFR polyclonal antibody, unconjugated (TMAB-00597) at 1:1000 dilution and 4°C overnight incubation. Followed by conjugated secondary antibody incubation at RT for 60 min.
verifiedActivityverifiedActivityverifiedActivityverifiedActivityverifiedActivity
应用ELISAIFIHC-FrIHC-PWB
推荐剂量
WB: 1:500-2000; IHC-Fr: 1:100-500; IF: 1:100-500; ELISA: 1:5000-10000; IHC-P: 1:100-500
抗体种类
Polyclonal
宿主来源Rabbit
亚细胞定位Cell membrane; Single-pass type I membrane protein. Endoplasmic reticulum membrane; Single-pass type I membrane protein. Golgi apparatus membrane; Single-pass type I membrane protein. Nucleus membrane; Single-pass type I membrane protein. Endosome. Endosome membrane. Note=In response to EGF, translocated from the cell membrane to the nucleus via Golgi and ER. Endocytosed upon activation by ligand. Isoform 2: Secreted.
组织特异性Ubiquitously expressed. Isoform 2 is also expressed in ovarian cancers.
构建方式Polyclonal Antibody
纯化方式Protein A purified
性状Liquid
缓冲液0.01M TBS (pH7.4) with 1% BSA, 0.02% Proclin300 and 50% Glycerol.
浓度1 mg/mL
研究背景The protein encoded by this gene is a transmembrane glycoprotein that is a member of the protein kinase superfamily. This protein is a receptor for members of the epidermal growth factor family. EGFR is a cell surface protein that binds to epidermal growth factor. Binding of the protein to a ligand induces receptor dimerization and tyrosine autophosphorylation and leads to cell proliferation. Mutations in this gene are associated with lung cancer. Multiple alternatively spliced transcript variants that encode different protein isoforms have been found for this gene. [provided by RefSeq, Jul 2010]
抗原信息
免疫原
KLH conjugated synthetic peptide: human EGFR
抗原种属
Human
基因名称
EGFR
基因ID
蛋白名称
Epidermal growth factor receptor
Uniprot ID
研究领域
Receptor Tyrosine Kinases,EGF,egfr,SARS Coronavirus,Cell differentiation,Receptors,Receptor tyrosine kinases,Growth factor receptors,EGF
功能
Receptor tyrosine kinase binding ligands of the EGF family and activating several signaling cascades to convert extracellular cues into appropriate cellular responses. Known ligands include EGF, TGFA/TGF-alpha, amphiregulin, epigen/EPGN, BTC/betacellulin, epiregulin/EREG and HBEGF/heparin-binding EGF. Ligand binding triggers receptor homo- and/or heterodimerization and autophosphorylation on key cytoplasmic residues. The phosphorylated receptor recruits adapter proteins like GRB2 which in turn activates complex downstream signaling cascades. Activates at least 4 major downstream signaling cascades including the RAS-RAF-MEK-ERK, PI3 kinase-AKT, PLCgamma-PKC and STATs modules. May also activate the NF-kappa-B signaling cascade. Also directly phosphorylates other proteins like RGS16, activating its GTPase activity and probably coupling the EGF receptor signaling to the G protein-coupled receptor signaling. Also phosphorylates MUC1 and increases its interaction with SRC and CTNNB1/beta-catenin.
Isoform 2 may act as an antagonist of EGF action.
化学信息
分子量Theoretical: 175 kDa.
存储&运输
储存方式Store at -20°C or -80°C for 12 months. Avoid repeated freeze-thaw cycles.
运输方式Shipping with blue ice.

计算器

  • 稀释 计算器

关键词

评论列表

4个月前
5.0
Rating icon 很棒

评论内容

Related Tags: buy Anti-EGFR Polyclonal Antibody 3 | purchase Anti-EGFR Polyclonal Antibody 3 | Anti-EGFR Polyclonal Antibody 3 cost | order Anti-EGFR Polyclonal Antibody 3 | Anti-EGFR Polyclonal Antibody 3 molecular weight