购物车
  • TargetMol
    您的购物车当前为空

Anti-EAAT3 Antibody (2S513)

Synonyms: Solute carrier family 1, member 1, Solute carrier family 1 member 1, Solute carrier family 1 (neuronal/epithelial high affinity glutamate transporter, system Xag), member 1, SOLUTE CARRIER FAMILY 1 (NEURONAL/EPITHELIAL HIGH AFFINITY GLUTAMATE TRANSPORTER), MEMBER 1, Solute carrier family 1 (neuronal / epithelial high affinity glutamate transporter, system Xag), member 1, Sodium-dependent glutamate/aspartate transporter 3, Sodium dependent glutamate/aspartate transporter 3, SLC1A1, Slc1a 1, Slc1 a1, REAAC1, REAAC 1, Neuronal and epithelial glutamate transporter, MEAAC1, MEAAC 1, GLUTAMATE TRANSPORTER, HIGH-AFFINITY, Excitatory amino-acid carrier 1, Excitatory amino acid transporter3, Excitatory amino acid transporter 3, Excitatory amino acid carrier1, Excitatory amino acid carrier 1, EAAT 3, EAAC1, EAAC 1, EAA3_HUMAN
货号 TMAC-01213 一键复制产品信息
Rating icon 还可以

Anti-EAAT3 Antibody (2S513) 是一种 Rabbit 抗体,靶向 EAAT3。Anti-EAAT3 Antibody (2S513) 可用于 ICC,IF,IHC,WB。

Anti-EAAT3 Antibody (2S513)

一键复制产品信息
Rating icon 还可以
货号 TMAC-01213

别名 Solute carrier family 1, member 1, Solute carrier family 1 member 1, Solute carrier family 1 (neuronal/epithelial high affinity glutamate transporter, system Xag), member 1, SOLUTE CARRIER FAMILY 1 (NEURONAL/EPITHELIAL HIGH AFFINITY GLUTAMATE TRANSPORTER), MEMBER 1, Solute carrier family 1 (neuronal / epithelial high affinity glutamate transporter, system Xag), member 1, Sodium-dependent glutamate/aspartate transporter 3, Sodium dependent glutamate/aspartate transporter 3, SLC1A1, Slc1a 1, Slc1 a1, REAAC1, REAAC 1, Neuronal and epithelial glutamate transporter, MEAAC1, MEAAC 1, GLUTAMATE TRANSPORTER, HIGH-AFFINITY, Excitatory amino-acid carrier 1, Excitatory amino acid transporter3, Excitatory amino acid transporter 3, Excitatory amino acid carrier1, Excitatory amino acid carrier 1, EAAT 3, EAAC1, EAAC 1, EAA3_HUMAN

Anti-EAAT3 Antibody (2S513) 是一种 Rabbit 抗体,靶向 EAAT3。Anti-EAAT3 Antibody (2S513) 可用于 ICC,IF,IHC,WB。

Anti-EAAT3 Antibody (2S513)
规格价格库存数量
50 μL
¥ 1,480
5日内发货
100 μL
¥ 2,495
5日内发货
库存状态实时更新,以官网显示为准,现货产品可直接加购物车下单
大包装 & 定制
加入购物车

TargetMol的所有产品仅用作科学研究或药证申报,不能被用于人体,我们不向个人提供产品和服务。请您遵守承诺用途,不得违反法律法规规定用于任何其他用途。

实验操作小课堂
常见问题解答
查看更多

资源下载:产品操作手册

产品介绍


生物活性
产品描述
Anti-EAAT3 Antibody (2S513) is a Rabbit antibody targeting EAAT3. Anti-EAAT3 Antibody (2S513) can be used in ICC,IF,IHC,WB.
别名
Solute carrier family 1, member 1, Solute carrier family 1 member 1, Solute carrier family 1 (neuronal/epithelial high affinity glutamate transporter, system Xag), member 1, SOLUTE CARRIER FAMILY 1 (NEURONAL/EPITHELIAL HIGH AFFINITY GLUTAMATE TRANSPORTER), MEMBER 1, Solute carrier family 1 (neuronal / epithelial high affinity glutamate transporter, system Xag), member 1, Sodium-dependent glutamate/aspartate transporter 3, Sodium dependent glutamate/aspartate transporter 3, SLC1A1, Slc1a 1, Slc1 a1, REAAC1, REAAC 1, Neuronal and epithelial glutamate transporter, MEAAC1, MEAAC 1, GLUTAMATE TRANSPORTER, HIGH-AFFINITY, Excitatory amino-acid carrier 1, Excitatory amino acid transporter3, Excitatory amino acid transporter 3, Excitatory amino acid carrier1, Excitatory amino acid carrier 1, EAAT 3, EAAC1, EAAC 1, EAA3_HUMAN
Ig Type
IgG
克隆号
2S513
反应种属
Human,Mouse,Rat
验证活性
1. Western blot analysis of EAAT3 on mouse liver tissue lysate using anti-EAAT3 antibody at 1/500 dilution.
2. Immunohistochemical analysis of paraffin-embedded rat brain tissue using anti-EAAT3 antibody. Counter stained with hematoxylin.
3. Immunohistochemical analysis of paraffin-embedded human tonsil tissue using anti-EAAT3 antibody. Counter stained with hematoxylin.
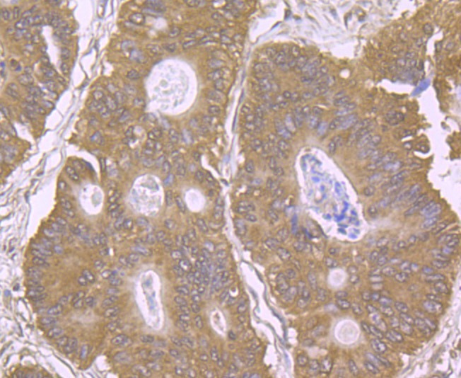
4. Immunohistochemical analysis of paraffin-embedded human colon cancer tissue using anti-EAAT3 antibody. Counter stained with hematoxylin.
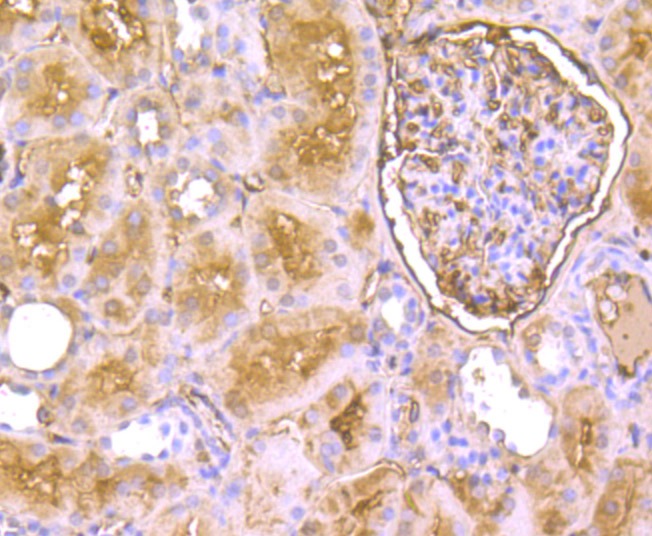
5. Immunohistochemical analysis of paraffin-embedded human kidney tissue using anti-EAAT3 antibody. Counter stained with hematoxylin.
6. ICC staining EAAT3 in HUVEC cells (green). The nuclear counter stain is DAPI (blue). Cells were fixed in paraformaldehyde, permeabilised with 0.25% Triton X100/PBS.
7. ICC staining EAAT3 in LOVO cells (green). The nuclear counter stain is DAPI (blue). Cells were fixed in paraformaldehyde, permeabilised with 0.25% Triton X100/PBS.
8. ICC staining EAAT3 in SH-SY5Y cells (green). The nuclear counter stain is DAPI (blue). Cells were fixed in paraformaldehyde, permeabilised with 0.25% Triton X100/PBS.
verifiedActivityverifiedActivityverifiedActivityverifiedActivityverifiedActivityverifiedActivityverifiedActivityverifiedActivity
应用ICCIFIHCWB
推荐剂量
WB: 1:500; IHC: 1:50-200; ICC:IF: 1:50-200
抗体种类
Monoclonal
宿主来源Rabbit
构建方式Recombinant Antibody
纯化方式ProA affinity purified
性状Liquid
缓冲液1*TBS (pH7.4), 1%BSA, 40%Glycerol. Preservative: 0.05% Sodium Azide.
研究背景Sodium-dependent, high-affinity amino acid transporter that mediates the uptake of L-glutamate and also L-aspartate and D-aspartate. Can also transport L-cysteine. Functions as a symporter that transports one amino acid molecule together with two or three Na+ ions and one proton, in parallel with the counter-transport of one K+ ion. Mediates Cl- flux that is not coupled to amino acid transport; this avoids the accumulation of negative charges due to aspartate and Na+ symport. Plays an important role in L-glutamate and L-aspartate reabsorption in renal tubuli. Plays a redundant role in the rapid removal of released glutamate from the synaptic cleft, which is essential for terminating the postsynaptic action of glutamate. Negatively regulated by ARL6IP5.
偶联与修饰
偶联
Unconjugated
抗原信息
免疫原
Recombinant Protein
Uniprot ID
化学信息
分子量Theoretical: 57 kDa.
储存&溶解度
储存方式Store at -20°C or -80°C for 12 months. Avoid repeated freeze-thaw cycles.
运输方式Shipping with blue ice.

计算器

  • 稀释 计算器
  • 配液 计算器
Related Tags: buy Anti-EAAT3 Antibody (2S513) | purchase Anti-EAAT3 Antibody (2S513) | Anti-EAAT3 Antibody (2S513) cost | order Anti-EAAT3 Antibody (2S513) | Anti-EAAT3 Antibody (2S513) molecular weight