购物车
  • 全部删除
  • TargetMol
    您的购物车当前为空

Anti-Dysferlin Antibody (4C391)

一键复制产品信息
Rating icon 还可以
产品编号 TMAC-01203
别名 MMD1, MM, Miyoshi myopathy, Limb girdle muscular dystrophy 2B (autosomal recessive), Limb girdle muscular dystrophy 2B, LGMD2B, LGMD 2B, FLJ90168, FLJ00175, Fer-1-like protein 1, FER1L1, Fer1 like protein 1, Fer 1 like protein 1, Dystrophy-associated fer-1-like protein, Dystrophy associated fer1 like protein, Dystrophy associated fer1 like 1, Dystrophy associated fer 1 like protein, Dystrophy associated fer 1 like 1, Dysferlin limb girdle muscular dystrophy 2B (autosomal recessive), Dysferlin limb girdle muscular dystrophy 2B, Dysferlin, DYSF_HUMAN, DYSF, DMAT

Anti-Dysferlin Antibody (4C391) 是一种 Rabbit 抗体,靶向 Dysferlin。Anti-Dysferlin Antibody (4C391) 可用于 ICC/IF,IHC,WB。

Anti-Dysferlin Antibody (4C391)

Anti-Dysferlin Antibody (4C391)

一键复制产品信息
Rating icon 还可以
产品编号 TMAC-01203 别名 MMD1, MM, Miyoshi myopathy, Limb girdle muscular dystrophy 2B (autosomal recessive), Limb girdle muscular dystrophy 2B, LGMD2B, LGMD 2B, FLJ90168, FLJ00175, Fer-1-like protein 1, FER1L1, Fer1 like protein 1, Fer 1 like protein 1, Dystrophy-associated fer-1-like protein, Dystrophy associated fer1 like protein, Dystrophy associated fer1 like 1, Dystrophy associated fer 1 like protein, Dystrophy associated fer 1 like 1, Dysferlin limb girdle muscular dystrophy 2B (autosomal recessive), Dysferlin limb girdle muscular dystrophy 2B, Dysferlin, DYSF_HUMAN, DYSF, DMAT

Anti-Dysferlin Antibody (4C391) 是一种 Rabbit 抗体,靶向 Dysferlin。Anti-Dysferlin Antibody (4C391) 可用于 ICC/IF,IHC,WB。

规格价格库存数量
50 μL
¥ 1,480
5日内发货
100 μL
¥ 2,485
5日内发货
大包装 & 定制
加入购物车
TargetMol 的所有产品仅用作科学研究或药证申报,不能被用于人体,我们不向个人提供产品和服务。请您遵守承诺用途,不得违反法律法规规定用于任何其他用途。
实验操作小课堂
常见问题解答
查看更多
联系我们获取更多批次信息
资源下载

产品介绍

生物活性
产品描述
Anti-Dysferlin Antibody (4C391) is a Rabbit antibody targeting Dysferlin. Anti-Dysferlin Antibody (4C391) can be used in ICC/IF,IHC,WB.
别名MMD1, MM, Miyoshi myopathy, Limb girdle muscular dystrophy 2B (autosomal recessive), Limb girdle muscular dystrophy 2B, LGMD2B, LGMD 2B, FLJ90168, FLJ00175, Fer-1-like protein 1, FER1L1, Fer1 like protein 1, Fer 1 like protein 1, Dystrophy-associated fer-1-like protein, Dystrophy associated fer1 like protein, Dystrophy associated fer1 like 1, Dystrophy associated fer 1 like protein, Dystrophy associated fer 1 like 1, Dysferlin limb girdle muscular dystrophy 2B (autosomal recessive), Dysferlin limb girdle muscular dystrophy 2B, Dysferlin, DYSF_HUMAN, DYSF, DMAT
Ig Type
IgG
克隆号
4C391
交叉反应
Human,Mouse
验证活性
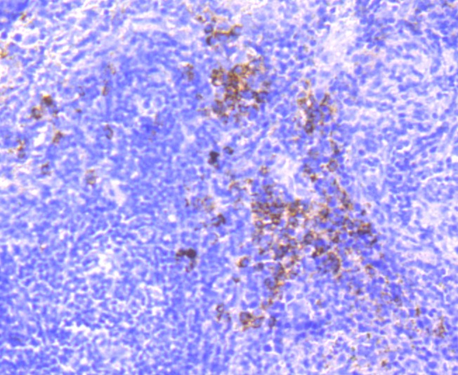
1. Immunohistochemical analysis of paraffin-embedded mouse spleen tissue using anti-Dysferlin antibody. Counter stained with hematoxylin.
2. ICC staining Dysferlin in SW480 cells (red). The nuclear counter stain is DAPI (blue). Cells were fixed in paraformaldehyde, permeabilised with 0.25% Triton X100/PBS.
3. Immunohistochemical analysis of paraffin-embedded human spleen tissue using anti-Dysferlin antibody. Counter stained with hematoxylin.
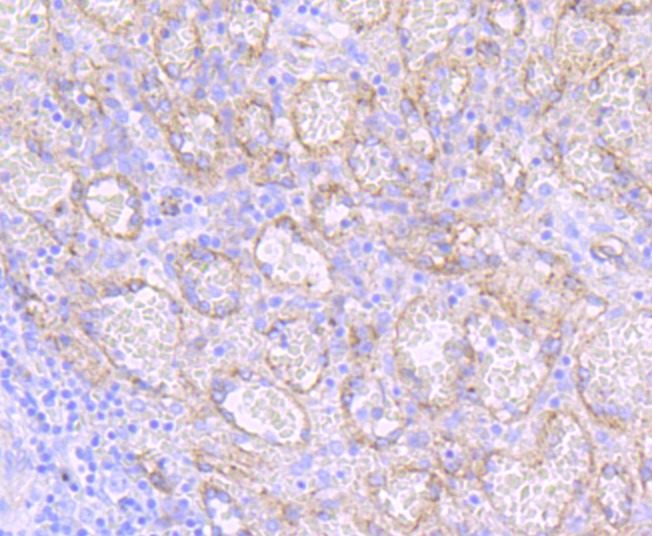
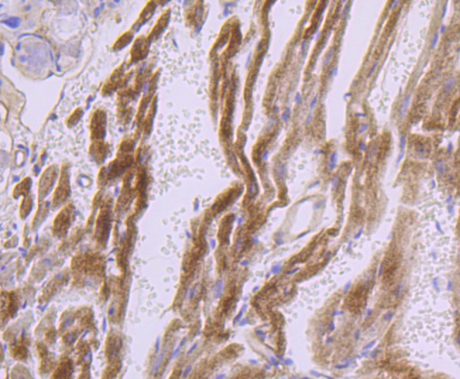
4. Immunohistochemical analysis of paraffin-embedded mouse skeletal muscle tissue using anti-Dysferlin antibody. Counter stained with hematoxylin.
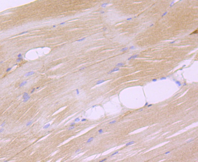
5. Immunohistochemical analysis of paraffin-embedded mouse heart tissue using anti-Dysferlin antibody. Counter stained with hematoxylin.
6. All lanes use the Antibody at 1:1K dilution for 1 hour at room temperature.
verifiedActivityverifiedActivityverifiedActivityverifiedActivityverifiedActivityverifiedActivity
应用ICC/IFIHCWB
推荐剂量
WB: 1:1000-2000; IHC: 1:100-200; ICC/IF: 1:50-200
抗体种类
Monoclonal
宿主来源Rabbit
构建方式Recombinant Antibody
纯化方式Affinity-chromatography
性状Liquid
缓冲液Rabbit IgG in 10mM phosphate buffered saline , pH 7.4, 150mM sodium chloride, 0.05% BSA, 0.02% sodium azide and 50% glycerol.
研究背景Key calcium ion sensor involved in the Ca2+-triggered synaptic vesicle-plasma membrane fusion. Plays a role in the sarcolemma repair mechanism of both skeletal muscle and cardiomyocytes that permits rapid resealing of membranes disrupted by mechanical stress.
偶联与修饰
偶联
Unconjugated
抗原信息
免疫原
A synthesized peptide: human Dysferlin
抗原种属
human
Uniprot ID
化学信息
分子量Theoretical: 237 kDa.
存储&运输
储存方式Store at 2°C-8°C for 1 month. Store at -20°C or -80°C for 12 months. Avoid repeated freeze-thaw cycles.
运输方式Shipping with blue ice.

计算器

  • 稀释 计算器

评论列表

4个月前
5.0
Rating icon 很棒

评论内容

Related Tags: buy Anti-Dysferlin Antibody (4C391) | purchase Anti-Dysferlin Antibody (4C391) | Anti-Dysferlin Antibody (4C391) cost | order Anti-Dysferlin Antibody (4C391) | Anti-Dysferlin Antibody (4C391) molecular weight