购物车
  • TargetMol
    您的购物车当前为空

Anti-DSG1 Antibody (4J92)

Synonyms: Pemphigus foliaceus antigen, DGI), Desmosomal glycoprotein 1 (DG1, Desmoglein-1, CDHF4, CDHF 4, Cadherin family member 4
货号 TMAC-01189 一键复制产品信息
Rating icon 还可以

Anti-DSG1 Antibody (4J92) 是一种 Rabbit 抗体,靶向 DSG1。Anti-DSG1 Antibody (4J92) 可用于 ICC,IF,IHC-P,WB。

Anti-DSG1 Antibody (4J92)

一键复制产品信息
Rating icon 还可以
货号 TMAC-01189

别名 Pemphigus foliaceus antigen, DGI), Desmosomal glycoprotein 1 (DG1, Desmoglein-1, CDHF4, CDHF 4, Cadherin family member 4

Anti-DSG1 Antibody (4J92) 是一种 Rabbit 抗体,靶向 DSG1。Anti-DSG1 Antibody (4J92) 可用于 ICC,IF,IHC-P,WB。

Anti-DSG1 Antibody (4J92)
规格价格库存数量
50 μL
¥ 1,490
5日内发货
100 μL
¥ 2,480
5日内发货
库存状态实时更新,以官网显示为准,现货产品可直接加购物车下单
大包装 & 定制
加入购物车

TargetMol的所有产品仅用作科学研究或药证申报,不能被用于人体,我们不向个人提供产品和服务。请您遵守承诺用途,不得违反法律法规规定用于任何其他用途。

实验操作小课堂
常见问题解答
查看更多

资源下载:产品操作手册

产品介绍


生物活性
产品描述
Anti-DSG1 Antibody (4J92) is a Rabbit antibody targeting DSG1. Anti-DSG1 Antibody (4J92) can be used in ICC,IF,IHC-P,WB.
别名
Pemphigus foliaceus antigen, DGI), Desmosomal glycoprotein 1 (DG1, Desmoglein-1, CDHF4, CDHF 4, Cadherin family member 4
Ig Type
IgG
克隆号
4J92
反应种属
Human,Mouse,Rat,zebrafish
验证活性
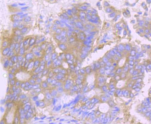
1. Immunohistochemical analysis of paraffin-embedded human colon cancer tissue using anti-DSG1 antibody. Counter stained with hematoxylin.
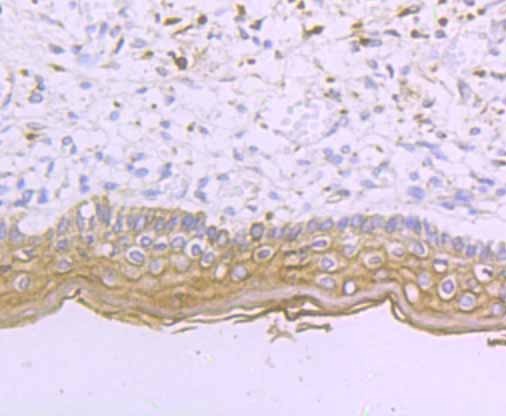
2. Immunohistochemical analysis of paraffin-embedded human skin tissue using anti-DSG1 antibody. Counter stained with hematoxylin.
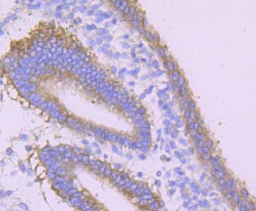
3. Immunohistochemical analysis of paraffin-embedded human uterus tissue using anti-DSG1 antibody. Counter stained with hematoxylin.
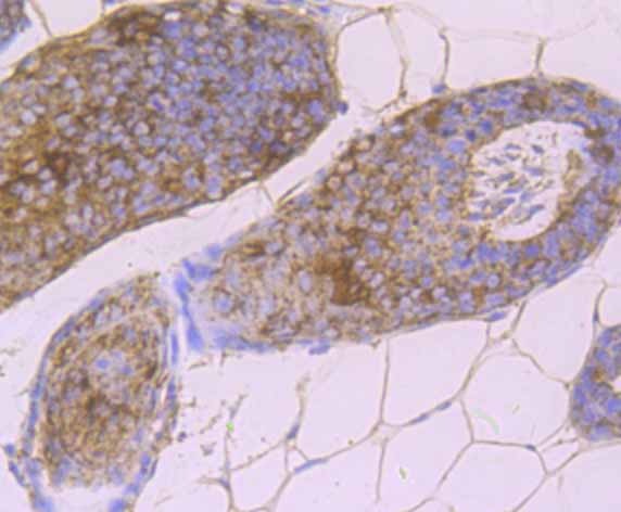
4. Immunohistochemical analysis of paraffin-embedded mouse skin tissue using anti-DSG1 antibody. Counter stained with hematoxylin.
verifiedActivityverifiedActivityverifiedActivityverifiedActivity
应用ICCIFIHC-PWB
推荐剂量
WB: 1:500-2000; ICC/IF: 1:50-200; IHC-P:1:50-200
抗体种类
Monoclonal
宿主来源Rabbit
构建方式Recombinant Antibody
纯化方式ProA affinity purified
性状Liquid
缓冲液1*TBS (pH7.4), 1%BSA, 40%Glycerol. Preservative: 0.05% Sodium Azide.
研究背景Desmogleins (dsgs) are type I membrane proteins that are important for cell adhesion and are expressed in great abundance at the desmosomes, which are adhesive cell junctions. The dsg proteins belong to the cadherin family and consist of dsg1, dsg2 and dsg3. Calcium binds to the putative calcium binding sites at the extracellular N-terminal domain of dsg1, which has cadherin-like repeats. Unlike normal human keratinocytes, the squamous cell carcinoma cells exhibit diminished or unusual expression of dsg3 and dsg1, which bear pemphigus vulgaris and pemphigus foliaceus antigens, respectively. Cultured normal human keratinocytes express dsg1 and dsg3 mRNA, with or without dsg 2 mRNA, which indicates that desmoglein isoforms exhibit abnormal expression and may be related to tumor cell kinetics, such as cell invasion and metastasis. Pemphigus is an autoimmune disease of skin adhesion associated with auto-antibodies against a number of keratinocyte antigens, such as the adhesion molecules dsg 1 and 3 and acetylcholine receptors.
偶联与修饰
偶联
Unconjugated
抗原信息
免疫原
A synthesized opeptide: within N-terminal human Aldolase
抗原种属
human
Uniprot ID
化学信息
分子量Theoretical: 114 kDa.
储存&溶解度
储存方式Store at -20°C or -80°C for 12 months. Avoid repeated freeze-thaw cycles.
运输方式Shipping with blue ice.

计算器

  • 稀释 计算器
  • 配液 计算器
Related Tags: buy Anti-DSG1 Antibody (4J92) | purchase Anti-DSG1 Antibody (4J92) | Anti-DSG1 Antibody (4J92) cost | order Anti-DSG1 Antibody (4J92) | Anti-DSG1 Antibody (4J92) molecular weight