购物车
  • TargetMol
    您的购物车当前为空

Anti-DNA PolymeraseBeta Antibody (2R73)

Synonyms: POLB, DNA Polymeraseβ, DNA Polymerase β, DNA Polymerase Beta
货号 TMAC-01158 一键复制产品信息
Rating icon 还可以

Anti-DNA PolymeraseBeta Antibody (2R73) 是一种 Rabbit 抗体,靶向 DNA PolymeraseBeta。Anti-DNA PolymeraseBeta Antibody (2R73) 可用于 ICC,IHC,IP,WB。

Anti-DNA PolymeraseBeta Antibody (2R73)

一键复制产品信息
Rating icon 还可以
货号 TMAC-01158

别名 POLB, DNA Polymeraseβ, DNA Polymerase β, DNA Polymerase Beta

Anti-DNA PolymeraseBeta Antibody (2R73) 是一种 Rabbit 抗体,靶向 DNA PolymeraseBeta。Anti-DNA PolymeraseBeta Antibody (2R73) 可用于 ICC,IHC,IP,WB。

Anti-DNA PolymeraseBeta Antibody (2R73)
规格价格库存数量
50 μL
¥ 1,490
5日内发货
100 μL
¥ 2,490
5日内发货
库存状态实时更新,以官网显示为准,现货产品可直接加购物车下单
大包装 & 定制
加入购物车

TargetMol的所有产品仅用作科学研究或药证申报,不能被用于人体,我们不向个人提供产品和服务。请您遵守承诺用途,不得违反法律法规规定用于任何其他用途。

实验操作小课堂
常见问题解答
查看更多

资源下载:产品操作手册

产品介绍


生物活性
产品描述
Anti-DNA PolymeraseBeta Antibody (2R73) is a Rabbit antibody targeting DNA PolymeraseBeta. Anti-DNA PolymeraseBeta Antibody (2R73) can be used in ICC,IHC,IP,WB.
别名
POLB, DNA Polymeraseβ, DNA Polymerase β, DNA Polymerase Beta
Ig Type
IgG
克隆号
2R73
反应种属
Human,Mouse,Rat,zebrafish
验证活性
1. Western blot analysis of DNA Polymerase beta on different cell lysate using anti-DNA Polymerase beta antibody at 1/1,000 dilution.Positive control: Lane1: PC-12, Lane2: NIH-3T3, Lane3: A431.
2. Western blot analysis of DNA Polymerase beta on Zebrafish tissue lysates using anti-DNA Polymerase beta antibody at 1/200 dilution.
3. Immunohistochemical analysis of paraffin-embedded rat lung tissue using anti-DNA Polymerase beta antibody. Counter stained with hematoxylin.
4. Immunohistochemical analysis of paraffin-embedded human breast cancer tissue using anti-DNA Polymerase beta antibody. Counter stained with hematoxylin.
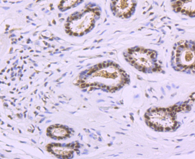
5. Immunohistochemical analysis of paraffin-embedded human stomach cancer tissue using anti-DNA Polymerase beta antibody. Counter stained with hematoxylin.
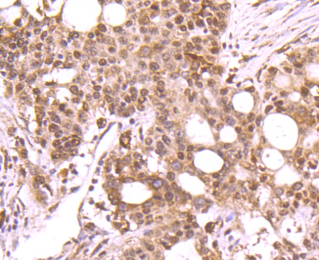
6. Immunohistochemical analysis of paraffin-embedded human uterus tissue using anti-DNA Polymerase beta antibody. Counter stained with hematoxylin.
verifiedActivityverifiedActivityverifiedActivityverifiedActivityverifiedActivityverifiedActivity
应用ICCIHCIPWB
推荐剂量
WB: 1:500; IHC: 1:50-200; ICC: 1:20-50; IP: 1:10-20
抗体种类
Monoclonal
宿主来源Rabbit
构建方式Recombinant Antibody
纯化方式ProA affinity purified
性状Liquid
缓冲液1*TBS (pH7.4), 1%BSA, 40%Glycerol. Preservative: 0.05% Sodium Azide.
偶联与修饰
偶联
Unconjugated
抗原信息
免疫原
Recombinant Protein
Uniprot ID
化学信息
分子量Theoretical: 38 kDa.
储存&溶解度
储存方式Store at -20°C or -80°C for 12 months. Avoid repeated freeze-thaw cycles.
运输方式Shipping with blue ice.

计算器

  • 稀释 计算器
  • 配液 计算器
Related Tags: buy Anti-DNA PolymeraseBeta Antibody (2R73) | purchase Anti-DNA PolymeraseBeta Antibody (2R73) | Anti-DNA PolymeraseBeta Antibody (2R73) cost | order Anti-DNA PolymeraseBeta Antibody (2R73) | Anti-DNA PolymeraseBeta Antibody (2R73) molecular weight