购物车
  • 全部删除
  • TargetMol
    您的购物车当前为空

Anti-Di-methyl-Histone H4 (Lys59) Polyclonal Antibody

一键复制产品信息
Rating icon 还可以
产品编号 TMAC-01964
别名 Histone H4K59-dimethylated, H4K59me2, Di-methyl-Histone H4 (K59), Di-Me-Histone H4 (Lys59), Di-Me-Histone H4 (K59), DiMe-H4K59

Anti-Di-methyl-Histone H4 (Lys59) Polyclonal Antibody 是一种 Rabbit 抗体,靶向 Di-methyl-Histone H4 (Lys59)。Anti-Di-methyl-Histone H4 (Lys59) Polyclonal Antibody 可用于 WB。

Anti-Di-methyl-Histone H4 (Lys59) Polyclonal Antibody

Anti-Di-methyl-Histone H4 (Lys59) Polyclonal Antibody

一键复制产品信息
Rating icon 还可以
产品编号 TMAC-01964 别名 Histone H4K59-dimethylated, H4K59me2, Di-methyl-Histone H4 (K59), Di-Me-Histone H4 (Lys59), Di-Me-Histone H4 (K59), DiMe-H4K59

Anti-Di-methyl-Histone H4 (Lys59) Polyclonal Antibody 是一种 Rabbit 抗体,靶向 Di-methyl-Histone H4 (Lys59)。Anti-Di-methyl-Histone H4 (Lys59) Polyclonal Antibody 可用于 WB。

规格价格库存数量
50 μL
¥ 1,490
5日内发货
100 μL
¥ 2,240
5日内发货
大包装 & 定制
加入购物车
TargetMol 的所有产品仅用作科学研究或药证申报,不能被用于人体,我们不向个人提供产品和服务。请您遵守承诺用途,不得违反法律法规规定用于任何其他用途。
实验操作小课堂
常见问题解答
查看更多
联系我们获取更多批次信息
资源下载

产品介绍

生物活性
产品描述
Anti-Di-methyl-Histone H4 (Lys59) Polyclonal Antibody is a Rabbit antibody targeting Di-methyl-Histone H4 (Lys59). Anti-Di-methyl-Histone H4 (Lys59) Polyclonal Antibody can be used in WB.
别名Histone H4K59-dimethylated, H4K59me2, Di-methyl-Histone H4 (K59), Di-Me-Histone H4 (Lys59), Di-Me-Histone H4 (K59), DiMe-H4K59
Ig Type
IgG
交叉反应
Human,Mouse,Rat
验证活性
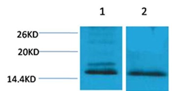
1. Western blot analysis of 1) Hela, 2)3T3, using TMAC-01964 diluted at 1:2,000.
verifiedActivity
应用WB
推荐剂量
WB: 1:500-1000
抗体种类
Polyclonal
宿主来源Rabbit
构建方式Polyclonal Antibody
纯化方式Affinity purification using immunogen.
性状Liquid
缓冲液Rabbit Antiserum, containing 0.02% sodium azide as Preservative and 50% Glycerol.
研究背景Histone H4 is one of the 5 main histone proteins involved in the structure of chromatin in eukaryotic cells. H4 is a structural component of the nucleosome, and is subject to covalent modification, including acetylation and methylation, which may alter expression of genes located on DNA associated with its parent histone octamer.
偶联与修饰
偶联
Unconjugated
其他可选修饰符
Methylated/Acetylated
抗原信息
免疫原
A synthetic Di-methylated peptide corresponding to residues surrounding Lys59 of human histone H4
抗原种属
human
Uniprot ID
化学信息
分子量Actual: 14 kDa.
存储&运输
储存方式Store at -20°C or -80°C for 12 months. Avoid repeated freeze-thaw cycles.
运输方式Shipping with blue ice.

计算器

  • 稀释 计算器

关键词

评论列表

4个月前
5.0
Rating icon 很棒

评论内容

Related Tags: buy Anti-Di-methyl-Histone H4 (Lys59) Polyclonal Antibody | purchase Anti-Di-methyl-Histone H4 (Lys59) Polyclonal Antibody | Anti-Di-methyl-Histone H4 (Lys59) Polyclonal Antibody cost | order Anti-Di-methyl-Histone H4 (Lys59) Polyclonal Antibody | Anti-Di-methyl-Histone H4 (Lys59) Polyclonal Antibody molecular weight