购物车
  • 全部删除
  • TargetMol
    您的购物车当前为空

Anti-CYP3A4 Antibody (6F122)

一键复制产品信息
Rating icon 还可以
产品编号 TMAC-01071
别名 sulfoxide-forming, Quinine 3-monooxygenase, Nifedipine oxidase, Cytochrome P450-PCN1, Cytochrome P450 NF-25, Cytochrome P450 HLp, Cytochrome P450 3A4, Cytochrome P450 3A3, CYPIIIA4, CYPIIIA3, CYP3A3, Cholesterol 25-hydroxylase, Albendazole sulfoxidase, Albendazole monooxygenase, 1,8-cineole 2-exo-monooxygenase, 1,4-cineole 2-exo-monooxygenase

Anti-CYP3A4 Antibody (6F122) 是一种 Rabbit 抗体,靶向 CYP3A4。Anti-CYP3A4 Antibody (6F122) 可用于 IHC,IP,WB。

Anti-CYP3A4 Antibody (6F122)

Anti-CYP3A4 Antibody (6F122)

一键复制产品信息
Rating icon 还可以
产品编号 TMAC-01071 别名 sulfoxide-forming, Quinine 3-monooxygenase, Nifedipine oxidase, Cytochrome P450-PCN1, Cytochrome P450 NF-25, Cytochrome P450 HLp, Cytochrome P450 3A4, Cytochrome P450 3A3, CYPIIIA4, CYPIIIA3, CYP3A3, Cholesterol 25-hydroxylase, Albendazole sulfoxidase, Albendazole monooxygenase, 1,8-cineole 2-exo-monooxygenase, 1,4-cineole 2-exo-monooxygenase

Anti-CYP3A4 Antibody (6F122) 是一种 Rabbit 抗体,靶向 CYP3A4。Anti-CYP3A4 Antibody (6F122) 可用于 IHC,IP,WB。

规格价格库存数量
50 μL
¥ 1,490
5日内发货
100 μL
¥ 2,485
5日内发货
大包装 & 定制
加入购物车
TargetMol 的所有产品仅用作科学研究或药证申报,不能被用于人体,我们不向个人提供产品和服务。请您遵守承诺用途,不得违反法律法规规定用于任何其他用途。
实验操作小课堂
常见问题解答
查看更多
联系我们获取更多批次信息
资源下载

产品介绍

生物活性
产品描述
Anti-CYP3A4 Antibody (6F122) is a Rabbit antibody targeting CYP3A4. Anti-CYP3A4 Antibody (6F122) can be used in IHC,IP,WB.
别名sulfoxide-forming, Quinine 3-monooxygenase, Nifedipine oxidase, Cytochrome P450-PCN1, Cytochrome P450 NF-25, Cytochrome P450 HLp, Cytochrome P450 3A4, Cytochrome P450 3A3, CYPIIIA4, CYPIIIA3, CYP3A3, Cholesterol 25-hydroxylase, Albendazole sulfoxidase, Albendazole monooxygenase, 1,8-cineole 2-exo-monooxygenase, 1,4-cineole 2-exo-monooxygenase
Ig Type
IgG
克隆号
6F122
交叉反应
Human
验证活性
1. Western blot analysis of Cytochrome P450 3A4 on human liver tissue lysate using anti-Cytochrome P450 3A4 antibody at 1/1,000 dilution.
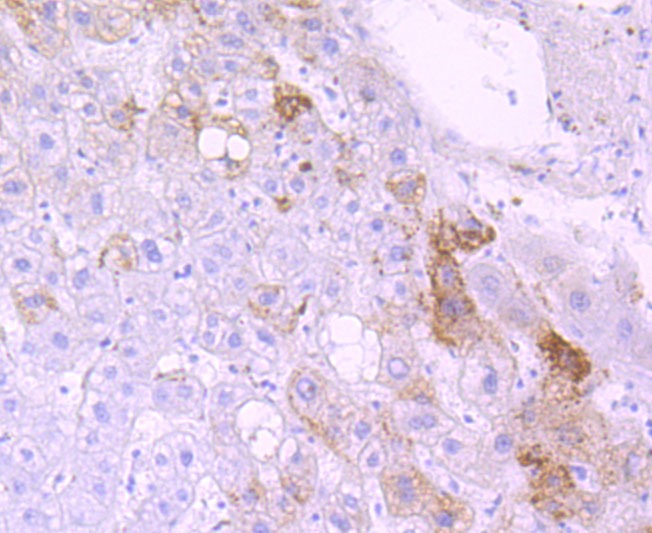
2. Immunohistochemical analysis of paraffin-embedded human liver tissue using anti-Cytochrome P450 3A4 antibody. Counter stained with hematoxylin.
verifiedActivityverifiedActivity
应用IHCIPWB
推荐剂量
WB: 1:500-1000; IHC: 1:50-200
抗体种类
Monoclonal
宿主来源Rabbit
构建方式Recombinant Antibody
纯化方式ProA affinity purified
性状Liquid
缓冲液1*TBS (pH7.4), 1%BSA, 40%Glycerol. Preservative: 0.05% Sodium Azide.
研究背景CYP3A, the most abundant p450 enzyme in human liver, is responsible for the metabolism of more than 50% of the clinical test & lt; RTI ID = 0.0 & gt; (cYP3A) genes encode monooxygenases-enzymes which catalyze drug metabolism and the synthesis of cholesterol, steroids and other lipids. CYP3A family members localize in organs that associate with drug disposition, including the liver, gastrointestinal tract and kidney. The CYP3A cluster maps to gene locus 7q22.1 and consists of four genes (CYP3A4, CYP3A5, CYP3A7 and CYP3A43) and two pseudogenes ( CYP3A4 is abundant in the endoplasmic reticulum of liver cells and upper intestinal enterocytes. CYP3A4 expression is isducible by glucocorticoids pharmacological agents.
偶联与修饰
偶联
Unconjugated
抗原信息
免疫原
Recombinant Protein
Uniprot ID
化学信息
分子量Theoretical: 57 kDa.
存储&运输
储存方式Store at -20°C or -80°C for 12 months. Avoid repeated freeze-thaw cycles.
运输方式Shipping with blue ice.

计算器

  • 稀释 计算器

评论列表

4个月前
5.0
Rating icon 很棒

评论内容

Related Tags: buy Anti-CYP3A4 Antibody (6F122) | purchase Anti-CYP3A4 Antibody (6F122) | Anti-CYP3A4 Antibody (6F122) cost | order Anti-CYP3A4 Antibody (6F122) | Anti-CYP3A4 Antibody (6F122) molecular weight