购物车
  • 全部删除
  • TargetMol
    您的购物车当前为空

Anti-CYP2E1 Antibody (3A626)

一键复制产品信息
Rating icon 还可以
产品编号 TMAC-01061
别名 Cytochrome P450-J, Cytochrome P450-ALC, Cytochrome P450 2E1, CYPIIE1, Cyp2e-1, Cyp2e1, Cyp2e, 4-nitrophenol 2-hydroxylase

Anti-CYP2E1 Antibody (3A626) 是一种 Rabbit 抗体,靶向 CYP2E1。Anti-CYP2E1 Antibody (3A626) 可用于 ICC/IF,IHC,WB。

Anti-CYP2E1 Antibody (3A626)

Anti-CYP2E1 Antibody (3A626)

一键复制产品信息
Rating icon 还可以
产品编号 TMAC-01061 别名 Cytochrome P450-J, Cytochrome P450-ALC, Cytochrome P450 2E1, CYPIIE1, Cyp2e-1, Cyp2e1, Cyp2e, 4-nitrophenol 2-hydroxylase

Anti-CYP2E1 Antibody (3A626) 是一种 Rabbit 抗体,靶向 CYP2E1。Anti-CYP2E1 Antibody (3A626) 可用于 ICC/IF,IHC,WB。

规格价格库存数量
50 μL
¥ 1,495
5日内发货
100 μL
¥ 2,480
5日内发货
大包装 & 定制
加入购物车
TargetMol 的所有产品仅用作科学研究或药证申报,不能被用于人体,我们不向个人提供产品和服务。请您遵守承诺用途,不得违反法律法规规定用于任何其他用途。
实验操作小课堂
常见问题解答
查看更多
联系我们获取更多批次信息
资源下载

产品介绍

生物活性
产品描述
Anti-CYP2E1 Antibody (3A626) is a Rabbit antibody targeting CYP2E1. Anti-CYP2E1 Antibody (3A626) can be used in ICC/IF,IHC,WB.
别名Cytochrome P450-J, Cytochrome P450-ALC, Cytochrome P450 2E1, CYPIIE1, Cyp2e-1, Cyp2e1, Cyp2e, 4-nitrophenol 2-hydroxylase
Ig Type
IgG
克隆号
3A626
交叉反应
Human,Mouse,Rat
验证活性
1. Western blot analysis of CYP2E1 on human liver cells lysates using anti-CYP2E1 antibody at 1/500 dilution.
2. Immunohistochemical analysis of paraffin-embedded human liver cancer tissue using anti-CYP2E1 antibody. Counter stained with hematoxylin.
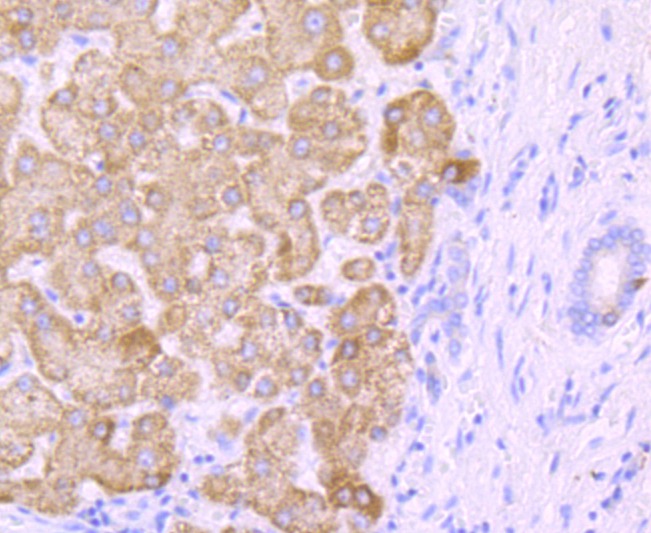
3. Immunohistochemical analysis of paraffin-embedded human liver tissue using anti-CYP2E1 antibody. Counter stained with hematoxylin.
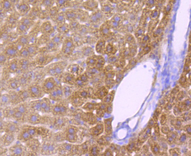
4. Immunohistochemical analysis of paraffin-embedded mouse liver tissue using anti-CYP2E1 antibody. Counter stained with hematoxylin.
5. ICC staining CYP2E1 in 293-T cells (red). The nuclear counter stain is DAPI (blue). Cells were fixed in paraformaldehyde, permeabilised with 0.25% Triton X100/PBS.
6. ICC staining CYP2E1 in Hela cells (red). The nuclear counter stain is DAPI (blue). Cells were fixed in paraformaldehyde, permeabilised with 0.25% Triton X100/PBS.
verifiedActivityverifiedActivityverifiedActivityverifiedActivityverifiedActivityverifiedActivity
应用ICC/IFIHCWB
推荐剂量
WB: 1:1000-5000; IHC: 1:50-200; ICC/IF: 1:50-200
抗体种类
Monoclonal
宿主来源Rabbit
构建方式Recombinant Antibody
纯化方式ProA affinity purified
性状Liquid
缓冲液1*TBS (pH7.4), 1%BSA, 40%Glycerol. Preservative: 0.05% Sodium Azide.
研究背景Metabolizes several precarcinogens, drugs, and solvents to reactive metabolites. Inactivates a number of drugs and xenobiotics and also bioactivates many xenobiotic substrates to their hepatotoxic or carcinogenic forms.
偶联与修饰
偶联
Unconjugated
抗原信息
免疫原
Recombinant Protein
Uniprot ID
化学信息
分子量Theoretical: 57 kDa.
存储&运输
储存方式Store at -20°C or -80°C for 12 months. Avoid repeated freeze-thaw cycles.
运输方式Shipping with blue ice.

计算器

  • 稀释 计算器

关键词

评论列表

4个月前
5.0
Rating icon 很棒

评论内容

Related Tags: buy Anti-CYP2E1 Antibody (3A626) | purchase Anti-CYP2E1 Antibody (3A626) | Anti-CYP2E1 Antibody (3A626) cost | order Anti-CYP2E1 Antibody (3A626) | Anti-CYP2E1 Antibody (3A626) molecular weight