购物车
  • TargetMol
    您的购物车当前为空

Anti-Cyclophilin B Antibody (5H205)

Synonyms: SCYLP, peptidylprolyl isomerase B (cyclophilin B), OI9, HEL-S-39, CYP-S1, CYPB
货号 TMAC-01053 一键复制产品信息
Rating icon 还可以

Anti-Cyclophilin B Antibody (5H205) 是一种 Mouse 抗体,靶向 Cyclophilin B。Anti-Cyclophilin B Antibody (5H205) 可用于 IHC,WB。

Anti-Cyclophilin B Antibody (5H205)

一键复制产品信息
Rating icon 还可以
货号 TMAC-01053

别名 SCYLP, peptidylprolyl isomerase B (cyclophilin B), OI9, HEL-S-39, CYP-S1, CYPB

Anti-Cyclophilin B Antibody (5H205) 是一种 Mouse 抗体,靶向 Cyclophilin B。Anti-Cyclophilin B Antibody (5H205) 可用于 IHC,WB。

Anti-Cyclophilin B Antibody (5H205)
规格价格库存数量
50 μL
¥ 1,345
5日内发货
100 μL
¥ 2,190
5日内发货
库存状态实时更新,以官网显示为准,现货产品可直接加购物车下单
大包装 & 定制
加入购物车

TargetMol的所有产品仅用作科学研究或药证申报,不能被用于人体,我们不向个人提供产品和服务。请您遵守承诺用途,不得违反法律法规规定用于任何其他用途。

实验操作小课堂
常见问题解答
查看更多

资源下载:产品操作手册

产品介绍


生物活性
产品描述
Anti-Cyclophilin B Antibody (5H205) is a Mouse antibody targeting Cyclophilin B. Anti-Cyclophilin B Antibody (5H205) can be used in IHC,WB.
别名
SCYLP, peptidylprolyl isomerase B (cyclophilin B), OI9, HEL-S-39, CYP-S1, CYPB
Ig Type
IgG1
克隆号
5H205
反应种属
Human,Mouse,Rat
验证活性
1. Western blot analysis of 1) Hela, 2)Jurkat, 3)293T, 4)Rat Liver Tissue, 5) 3T3, 6) HepG2 with Cyclophilin B Mouse mAb diluted at 1:2,000.
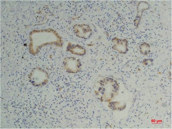
2. Immunohistochemical analysis of paraffin-embedded Human Heptacarcinoma using Cyclophilin BMouse mAb diluted at 1:200.
3. Immunohistochemical analysis of paraffin-embedded Human Pancreatic Carcinoma using Cyclophilin BMouse mAb diluted at 1:200.
verifiedActivityverifiedActivityverifiedActivity
应用IHCWB
推荐剂量
WB: 1:1000-2000; IHC: 1:100-200
抗体种类
Monoclonal
宿主来源Mouse
构建方式Hybridoma Monoclonal Antibody
性状Liquid
缓冲液Liquid in PBS containing 50% glycerol, 0.5% BSA and 0.02% sodium azide.
偶联与修饰
偶联
Unconjugated
抗原信息
免疫原
A synthesized peptide
Uniprot ID
化学信息
分子量Theoretical: 21 kDa.
储存&溶解度
储存方式Store at -20°C or -80°C for 12 months. Avoid repeated freeze-thaw cycles.
运输方式Shipping with blue ice.

计算器

  • 稀释 计算器
  • 配液 计算器
Related Tags: buy Anti-Cyclophilin B Antibody (5H205) | purchase Anti-Cyclophilin B Antibody (5H205) | Anti-Cyclophilin B Antibody (5H205) cost | order Anti-Cyclophilin B Antibody (5H205) | Anti-Cyclophilin B Antibody (5H205) molecular weight