购物车
  • TargetMol
    您的购物车当前为空

Anti-Cyclophilin A Antibody (4Y81)

Synonyms: peptidylprolyl isomerase A (cyclophilin A), HEL-S-69p, CYPH, CYPA
货号 TMAC-01052 一键复制产品信息
Rating icon 还可以

Anti-Cyclophilin A Antibody (4Y81) 是一种 Rabbit 抗体,靶向 Cyclophilin A。Anti-Cyclophilin A Antibody (4Y81) 可用于 IHC,WB。

Anti-Cyclophilin A Antibody (4Y81)

一键复制产品信息
Rating icon 还可以
货号 TMAC-01052

别名 peptidylprolyl isomerase A (cyclophilin A), HEL-S-69p, CYPH, CYPA

Anti-Cyclophilin A Antibody (4Y81) 是一种 Rabbit 抗体,靶向 Cyclophilin A。Anti-Cyclophilin A Antibody (4Y81) 可用于 IHC,WB。

Anti-Cyclophilin A Antibody (4Y81)
规格价格库存数量
50 μL
¥ 1,480
5日内发货
100 μL
¥ 2,490
5日内发货
库存状态实时更新,以官网显示为准,现货产品可直接加购物车下单
大包装 & 定制
加入购物车

TargetMol的所有产品仅用作科学研究或药证申报,不能被用于人体,我们不向个人提供产品和服务。请您遵守承诺用途,不得违反法律法规规定用于任何其他用途。

实验操作小课堂
常见问题解答
查看更多

资源下载:产品操作手册

产品介绍


生物活性
产品描述
Anti-Cyclophilin A Antibody (4Y81) is a Rabbit antibody targeting Cyclophilin A. Anti-Cyclophilin A Antibody (4Y81) can be used in IHC,WB.
别名
peptidylprolyl isomerase A (cyclophilin A), HEL-S-69p, CYPH, CYPA
Ig Type
IgG
克隆号
4Y81
反应种属
Human,Mouse,Rat
验证活性
1. Western blot analysis of Cyclophilin A on different cells lysates using anti-Cyclophilin A antibody at 1/1,000 dilution. Positive control: Lane 1: Hela, Lane 2: A431, Lane 3: HepG2.
2. Immunohistochemical analysis of paraffin-embedded human breast carcinoma tissue using anti-Cyclophilin A antibody. Counter stained with hematoxylin.
3. Immunohistochemical analysis of paraffin-embedded human lung tissue using anti-Cyclophilin A antibody. Counter stained with hematoxylin.
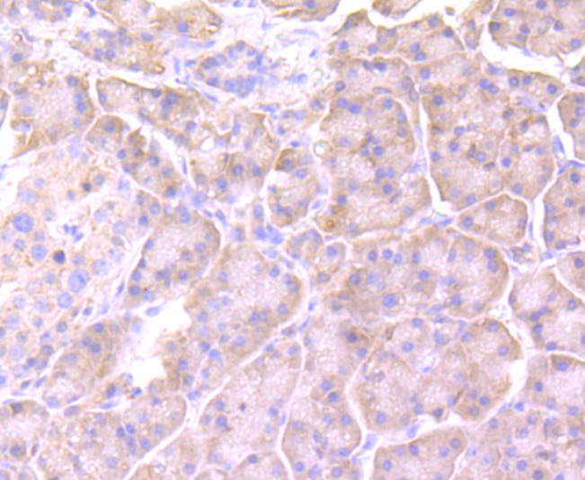
4. Immunohistochemical analysis of paraffin-embedded human pancreas tissue using anti-Cyclophilin A antibody. Counter stained with hematoxylin.
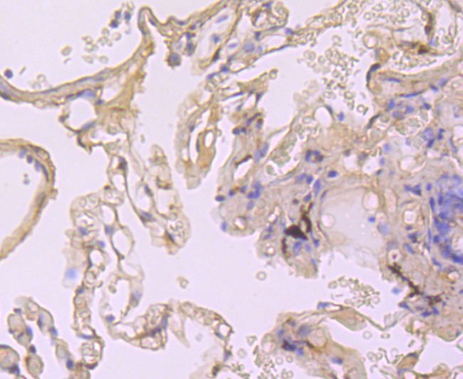
5. Immunohistochemical analysis of paraffin-embedded mouse lung tissue using anti-Cyclophilin A antibody. Counter stained with hematoxylin.
verifiedActivityverifiedActivityverifiedActivityverifiedActivityverifiedActivity
应用IHCWB
推荐剂量
WB: 1:1000-5000; IHC: 1:50-200
抗体种类
Monoclonal
宿主来源Rabbit
构建方式Recombinant Antibody
纯化方式ProA affinity purified
性状Liquid
缓冲液1*TBS (pH7.4), 1%BSA, 40%Glycerol. Preservative: 0.05% Sodium Azide.
研究背景The immunosuppressant cyclosporin A (CsA) forms a trimolecular complex with cyclophilin and calcineurins to inhibit calcineurin phosphatase activity. Cyclophilins are conserved, ubiquitous and abundant cytosolic peptidyl-prolyl cis-trans isomerases that accelerate the isomerization of XaaPro peptide bonds and the refolding of proteins. Human cyclophilin A (CyPA), an intracellular protein of 165 amino acids, is the target of the CsA and is encoded by a single unique gene conserved from yeast to humans. CyPA is known for its involvement in T cell differentiation and proliferation and is highly expressed in brain. CyPA is incorporated into the virion of the type 1 human immunodeficiency virus (HIV-1) via a direct interaction with the capsid domain of the viral Gag polyprotein and is crucial for efficient viral replication. Cyclophilin B (CyPB) is a member of the cyclophilin family with specific N- and C-terminal extensions. Unlike CyPA, CyPB has a signal sequence leading to its translocation in the endoplasmic reticulum. CyPB is secreted in biological fluids such as blood or milk and binds to a specific receptor present on the human lymphoblastic cell line Jurkat and on human peripheral blood lymphocytes (9,10).
偶联与修饰
偶联
Unconjugated
抗原信息
免疫原
Recombinant Protein
Uniprot ID
化学信息
分子量Theoretical: 18 kDa.
储存&溶解度
储存方式Store at -20°C or -80°C for 12 months. Avoid repeated freeze-thaw cycles.
运输方式Shipping with blue ice.

计算器

  • 稀释 计算器
  • 配液 计算器
Related Tags: buy Anti-Cyclophilin A Antibody (4Y81) | purchase Anti-Cyclophilin A Antibody (4Y81) | Anti-Cyclophilin A Antibody (4Y81) cost | order Anti-Cyclophilin A Antibody (4Y81) | Anti-Cyclophilin A Antibody (4Y81) molecular weight