购物车
  • 全部删除
  • TargetMol
    您的购物车当前为空

Anti-Cyclin B2 Antibody (9U494)

一键复制产品信息
Rating icon 还可以
产品编号 TMAC-01035
别名 MGC140694, MGC108931, HsT17299, G2/mitotic-specific cyclin-B2, G2/mitotic specific cyclin B2, G2 mitotic specific cyclin B2, Cyclin B2, CycB2, CCNB2_HUMAN, ccnb2

Anti-Cyclin B2 Antibody (9U494) 是一种 Rabbit 抗体,靶向 Cyclin B2。Anti-Cyclin B2 Antibody (9U494) 可用于 ICC/IF,IHC,IP,WB。

Anti-Cyclin B2 Antibody (9U494)

Anti-Cyclin B2 Antibody (9U494)

一键复制产品信息
Rating icon 还可以
产品编号 TMAC-01035 别名 MGC140694, MGC108931, HsT17299, G2/mitotic-specific cyclin-B2, G2/mitotic specific cyclin B2, G2 mitotic specific cyclin B2, Cyclin B2, CycB2, CCNB2_HUMAN, ccnb2

Anti-Cyclin B2 Antibody (9U494) 是一种 Rabbit 抗体,靶向 Cyclin B2。Anti-Cyclin B2 Antibody (9U494) 可用于 ICC/IF,IHC,IP,WB。

规格价格库存数量
50 μL
¥ 1,480
5日内发货
100 μL
¥ 2,495
5日内发货
大包装 & 定制
加入购物车
TargetMol 的所有产品仅用作科学研究或药证申报,不能被用于人体,我们不向个人提供产品和服务。请您遵守承诺用途,不得违反法律法规规定用于任何其他用途。
实验操作小课堂
常见问题解答
查看更多
联系我们获取更多批次信息
资源下载

产品介绍

生物活性
产品描述
Anti-Cyclin B2 Antibody (9U494) is a Rabbit antibody targeting Cyclin B2. Anti-Cyclin B2 Antibody (9U494) can be used in ICC/IF,IHC,IP,WB.
别名MGC140694, MGC108931, HsT17299, G2/mitotic-specific cyclin-B2, G2/mitotic specific cyclin B2, G2 mitotic specific cyclin B2, Cyclin B2, CycB2, CCNB2_HUMAN, ccnb2
Ig Type
IgG
克隆号
9U494
交叉反应
Human,Mouse,Rat
验证活性
1. Western blot analysis of Cyclin B2 on different lysates using anti-Cyclin B2 antibody at 1/1,000 dilution. Positive control: Lane 1: Hela, Lane 2: K562.
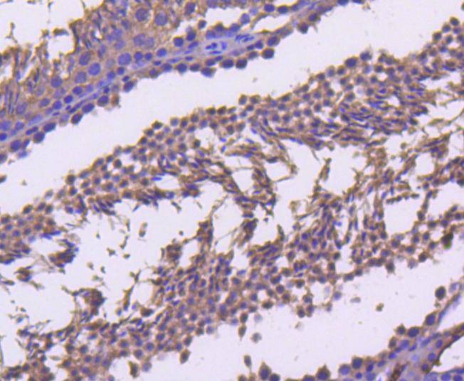
2. Immunohistochemical analysis of paraffin-embedded mouse testis tissue using anti-Cyclin B2 antibody. Counter stained with hematoxylin.
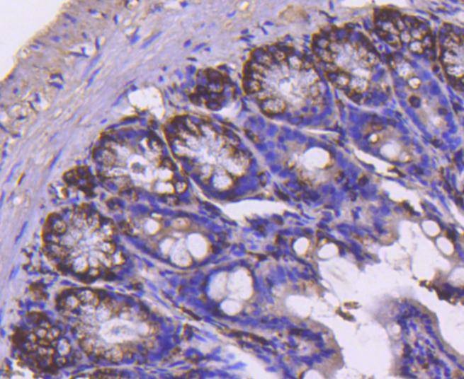
3. Immunohistochemical analysis of paraffin-embedded mouse colon tissue using anti-Cyclin B2 antibody. Counter stained with hematoxylin.
4. ICC staining Cyclin B2 in Hela cells (green). The nuclear counter stain is DAPI (blue). Cells were fixed in paraformaldehyde, permeabilised with 0.25% Triton X100/PBS.
5. ICC staining Cyclin B2 in PC-12 cells (green). The nuclear counter stain is DAPI (blue). Cells were fixed in paraformaldehyde, permeabilised with 0.25% Triton X100/PBS.
verifiedActivityverifiedActivityverifiedActivityverifiedActivityverifiedActivity
应用ICC/IFIHCIPWB
推荐剂量
WB: 1:1000; IHC: 1:50-200; ICC/IF: 1:50-200
抗体种类
Monoclonal
宿主来源Rabbit
构建方式Recombinant Antibody
纯化方式ProA affinity purified
性状Liquid
缓冲液1*TBS (pH7.4), 1%BSA, 40%Glycerol. Preservative: 0.05% Sodium Azide.
研究背景In eukaryotic cells, mitosis is initiated following the activation of a protein kinase known variously as maturation-promoting factor, M-phase specific histone kinase or M-phase kinase. This protein kinase is composed of a catalytic subunit (Cdc2), a regulatory subunit (cyclin B) and a low molecular weight subunit (p13-Suc 1). The Cdc/cyclin enzyme is subject to multiple levels of control of which the regulation of the catalytic subunit by tyrosine phosphorylation is the best understood. Tyrosine phosphorylation inhibits the Cdc2/cyclin B enzyme and tyrosine dephosphorylation, occurring at the onset of mitosis, directly activates the pre-MPF complex . Evidence has established that B-type cyclins not only act on M-phase regulatory subunits of the Cdc2 protein kinase, but also activate the Cdc25A and Cdc25B endogenous tyrosine phosphatase, of which Cdc2 is the physiological substrate. The two B-type cyclins, cyclin B1 and cyclin B2, have been shown to have distinct tissue distributions.
偶联与修饰
偶联
Unconjugated
抗原信息
免疫原
Recombinant Protein
Uniprot ID
化学信息
分子量Theoretical: 45 kDa.
存储&运输
储存方式Store at -20°C or -80°C for 12 months. Avoid repeated freeze-thaw cycles.
运输方式Shipping with blue ice.

计算器

  • 稀释 计算器

评论列表

4个月前
5.0
Rating icon 很棒

评论内容

Related Tags: buy Anti-Cyclin B2 Antibody (9U494) | purchase Anti-Cyclin B2 Antibody (9U494) | Anti-Cyclin B2 Antibody (9U494) cost | order Anti-Cyclin B2 Antibody (9U494) | Anti-Cyclin B2 Antibody (9U494) molecular weight