购物车
  • TargetMol
    您的购物车当前为空

Anti-CXCL10 Antibody (9G778)

Synonyms: IP-10), CXCL10, 10 kDa interferon gamma-induced protein (Gamma-IP10
货号 TMAC-02196 一键复制产品信息
Rating icon 还可以

Anti-CXCL10 Antibody (9G778) 是一种 Rabbit 抗体,靶向 CXCL10。Anti-CXCL10 Antibody (9G778) 可用于 ICC/IF,IHC,WB。

Anti-CXCL10 Antibody (9G778)

一键复制产品信息
Rating icon 还可以
货号 TMAC-02196

别名 IP-10), CXCL10, 10 kDa interferon gamma-induced protein (Gamma-IP10

Anti-CXCL10 Antibody (9G778) 是一种 Rabbit 抗体,靶向 CXCL10。Anti-CXCL10 Antibody (9G778) 可用于 ICC/IF,IHC,WB。

Anti-CXCL10 Antibody (9G778)
规格价格库存数量
50 μL
¥ 1,485
5日内发货
100 μL
¥ 2,485
5日内发货
库存状态实时更新,以官网显示为准,现货产品可直接加购物车下单
大包装 & 定制
加入购物车

TargetMol的所有产品仅用作科学研究或药证申报,不能被用于人体,我们不向个人提供产品和服务。请您遵守承诺用途,不得违反法律法规规定用于任何其他用途。

实验操作小课堂
常见问题解答
查看更多

资源下载:产品操作手册

产品介绍


生物活性
产品描述
Anti-CXCL10 Antibody (9G778) is a Rabbit antibody targeting CXCL10. Anti-CXCL10 Antibody (9G778) can be used in ICC/IF,IHC,WB.
别名
IP-10), CXCL10, 10 kDa interferon gamma-induced protein (Gamma-IP10
Ig Type
IgG
克隆号
9G778
反应种属
Human
验证活性
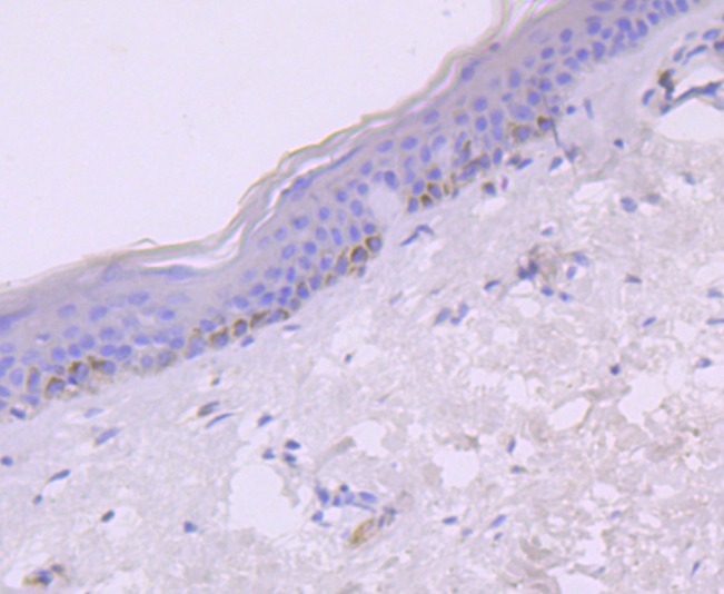
1. Immunohistochemical analysis of paraffin-embedded human skin tissue using anti-IP10 antibody. Counter stained with hematoxylin.
2. ICC staining IP10 in N2A cells (red). The nuclear counter stain is DAPI (blue). Cells were fixed in paraformaldehyde, permeabilised with 0.25% Triton X100/PBS.
3. ICC staining IP10 in HepG2 cells (red). The nuclear counter stain is DAPI (blue). Cells were fixed in paraformaldehyde, permeabilised with 0.25% Triton X100/PBS.
4. ICC staining IP10 in SH-SY5Y cells (red). The nuclear counter stain is DAPI (blue). Cells were fixed in paraformaldehyde, permeabilised with 0.25% Triton X100/PBS.
verifiedActivityverifiedActivityverifiedActivityverifiedActivity
应用ICC/IFIHCWB
推荐剂量
WB: 1:500-1000; IHC: 1:50-200; ICC/IF: 1:50-100
抗体种类
Monoclonal
宿主来源Rabbit
构建方式Recombinant Antibody
纯化方式ProA affinity purified
性状Liquid
缓冲液1*TBS (pH7.4), 1%BSA, 40%Glycerol. Preservative: 0.05% Sodium Azide.
研究背景Chemokines are members of a superfamily of inducible, secreted, pro-inflammatory cytokines. Members of the chemokine family exhibit 20% to 50% homology in their predicted amino acid sequences and are divided into four subfamilies: C-C, C-X-C, C and C-X3-C. In the C-X-C or α subfamily, the first two of four cysteine motifs are separated by another amino acid residue. In the second subfamily, designated C-C or β, the first cysteines are adjacent. C subfamily members, also designated γ chemokines, lack the first and third cysteine residues of the conserved motif. In the C-X3-C, or δ subfamily, members have three amino acids between the two cysteines. The C-X-C chemokine subfamily includes IL-8, GROα/β/γ (and the murine homologs KC, MIP-2α and MIP-2β), platelet basic protein, ENA-78, GCP-2, PF4, IP-10 (and its murine homolog, CRG) and MIG.
偶联与修饰
偶联
Unconjugated
抗原信息
免疫原
Recombinant Protein
Uniprot ID
化学信息
分子量Theoretical: 10 kDa.
储存&溶解度
储存方式Store at -20°C or -80°C for 12 months. Avoid repeated freeze-thaw cycles.
运输方式Shipping with blue ice.

计算器

  • 稀释 计算器
  • 配液 计算器
Related Tags: buy Anti-CXCL10 Antibody (9G778) | purchase Anti-CXCL10 Antibody (9G778) | Anti-CXCL10 Antibody (9G778) cost | order Anti-CXCL10 Antibody (9G778) | Anti-CXCL10 Antibody (9G778) molecular weight