购物车
  • 全部删除
  • TargetMol
    您的购物车当前为空

Anti-CtBP1 Antibody (2M770)

一键复制产品信息
Rating icon 还可以
产品编号 TMAC-01006
别名 MGC104684, C-terminal-binding protein 1, CTBP1_HUMAN, CtBP 1, CTBP, C terminal binding protein 1, brefeldin A- ribosylated substrate, BARS

Anti-CtBP1 Antibody (2M770) 是一种 Rabbit 抗体,靶向 CtBP1。Anti-CtBP1 Antibody (2M770) 可用于 ICC,IF,IHC,IP,WB。

Anti-CtBP1 Antibody (2M770)

Anti-CtBP1 Antibody (2M770)

一键复制产品信息
Rating icon 还可以
产品编号 TMAC-01006 别名 MGC104684, C-terminal-binding protein 1, CTBP1_HUMAN, CtBP 1, CTBP, C terminal binding protein 1, brefeldin A- ribosylated substrate, BARS

Anti-CtBP1 Antibody (2M770) 是一种 Rabbit 抗体,靶向 CtBP1。Anti-CtBP1 Antibody (2M770) 可用于 ICC,IF,IHC,IP,WB。

规格价格库存数量
50 μL
¥ 1,485
5日内发货
100 μL
¥ 2,480
5日内发货
大包装 & 定制
加入购物车
TargetMol 的所有产品仅用作科学研究或药证申报,不能被用于人体,我们不向个人提供产品和服务。请您遵守承诺用途,不得违反法律法规规定用于任何其他用途。
实验操作小课堂
常见问题解答
查看更多
联系我们获取更多批次信息
资源下载

产品介绍

生物活性
产品描述
Anti-CtBP1 Antibody (2M770) is a Rabbit antibody targeting CtBP1. Anti-CtBP1 Antibody (2M770) can be used in ICC,IF,IHC,IP,WB.
别名MGC104684, C-terminal-binding protein 1, CTBP1_HUMAN, CtBP 1, CTBP, C terminal binding protein 1, brefeldin A- ribosylated substrate, BARS
Ig Type
IgG
克隆号
2M770
交叉反应
Human,Mouse,Rat
验证活性
1. Western blot analysis of CtBP1 on PC-3M cell lysate using anti-CtBP1 antibody at 1/1,000 dilution.
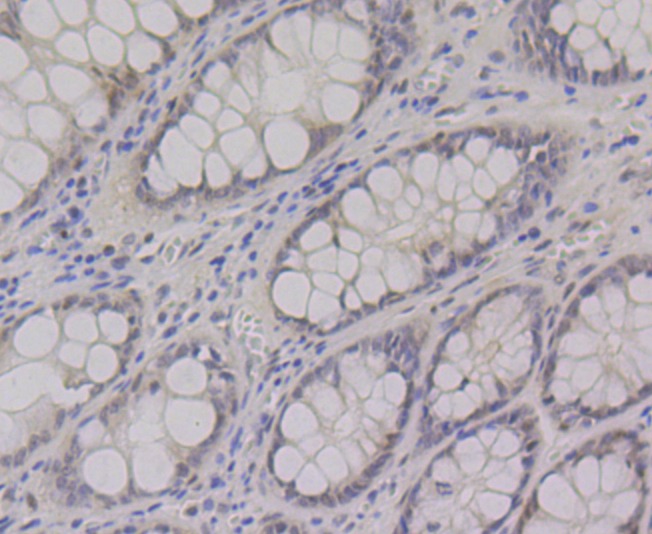
2. Immunohistochemical analysis of paraffin-embedded human colon tissue using anti-CtBP1 antibody. Counter stained with hematoxylin.
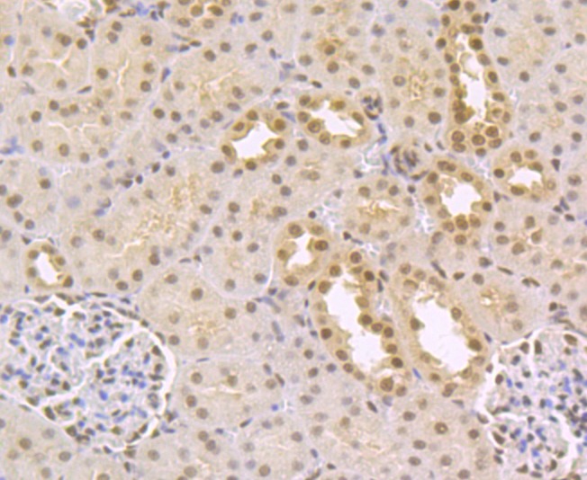
3. Immunohistochemical analysis of paraffin-embedded rat kidney tissue using anti-CtBP1 antibody. Counter stained with hematoxylin.
4. ICC staining CtBP1 in A549 cells (green). The nuclear counter stain is DAPI (blue). Cells were fixed in paraformaldehyde, permeabilised with 0.25% Triton X100/PBS.
verifiedActivityverifiedActivityverifiedActivityverifiedActivity
应用ICCIFIHCIPWB
推荐剂量
WB: 1:500-2000; IHC: 1:50-200; ICC: 1:50-100; IP: 1:10-50
抗体种类
Monoclonal
宿主来源Rabbit
构建方式Recombinant Antibody
纯化方式ProA affinity purified
性状Liquid
缓冲液1*TBS (pH7.4), 1%BSA, 40%Glycerol. Preservative: 0.05% Sodium Azide.
研究背景CtBP1 is a cellular phosphoprotein that associates with various proteins and functions as a corepressor of transcription. CtBP1 and the related protein CtBP2 are characterized as C-terminal binding protein of adenovirus E1A, and they preferentially associate with the E1A via a 5-amino acid motif, PLDLS, to repress E1A induced oncogenesis and cellular transformation. CtBP1 is expressed from embryo to adult, but CtBP2 is mainly expressed during embryogenesis. During skeletal and T-cell development, CtBP1 and CtBP2 associate with the PLDLSL domain of δEF1, a cellular zinc finger-homeodomain protein, and thereby enhances δEF1 induced transcriptional silencing. In addition, CtBP complexes with CtIP, a protein that recognizes distinctly different protein motifs from CtBP. CtIP binds to the BRCT repeats within the breast cancer gene BRCA1 and enables CtBP to influence BRCA1 activity. CtIP/CtBP binding to BRCA1 inhibits the transactivation of the p21 promoter, and it is critical for regulating p21 transcription in response to DNA damage.
偶联与修饰
偶联
Unconjugated
抗原信息
免疫原
Recombinant Protein: human CtBP1 aa 300-500
抗原种属
human
Uniprot ID
化学信息
分子量Theoretical: 47 kDa.
存储&运输
储存方式Store at -20°C or -80°C for 12 months. Avoid repeated freeze-thaw cycles.
运输方式Shipping with blue ice.

计算器

  • 稀释 计算器

评论列表

4个月前
5.0
Rating icon 很棒

评论内容

Related Tags: buy Anti-CtBP1 Antibody (2M770) | purchase Anti-CtBP1 Antibody (2M770) | Anti-CtBP1 Antibody (2M770) cost | order Anti-CtBP1 Antibody (2M770) | Anti-CtBP1 Antibody (2M770) molecular weight