购物车
  • TargetMol
    您的购物车当前为空

Anti-CSNK2B Antibody (8H798)

Synonyms: Protein G5a, Phosvitin, MGC138224, MGC138222, G5A, csnk2b, CSNK 2B, CSK2B_HUMAN, CSK2B, CK2N, CK2B, CK II beta, Casein kinase II subunit beta, Casein kinase II beta subunit, Casein kinase 2 beta polypeptide
货号 TMAC-00999 一键复制产品信息
Rating icon 还可以

Anti-CSNK2B Antibody (8H798) 是一种 Rabbit 抗体,靶向 CSNK2B。Anti-CSNK2B Antibody (8H798) 可用于 IHC,IP,WB。

Anti-CSNK2B Antibody (8H798)

一键复制产品信息
Rating icon 还可以
货号 TMAC-00999

别名 Protein G5a, Phosvitin, MGC138224, MGC138222, G5A, csnk2b, CSNK 2B, CSK2B_HUMAN, CSK2B, CK2N, CK2B, CK II beta, Casein kinase II subunit beta, Casein kinase II beta subunit, Casein kinase 2 beta polypeptide

Anti-CSNK2B Antibody (8H798) 是一种 Rabbit 抗体,靶向 CSNK2B。Anti-CSNK2B Antibody (8H798) 可用于 IHC,IP,WB。

Anti-CSNK2B Antibody (8H798)
规格价格库存数量
50 μL
¥ 1,495
5日内发货
100 μL
¥ 2,480
5日内发货
库存状态实时更新,以官网显示为准,现货产品可直接加购物车下单
大包装 & 定制
加入购物车

TargetMol的所有产品仅用作科学研究或药证申报,不能被用于人体,我们不向个人提供产品和服务。请您遵守承诺用途,不得违反法律法规规定用于任何其他用途。

实验操作小课堂
常见问题解答
查看更多

资源下载:产品操作手册

产品介绍


生物活性
产品描述
Anti-CSNK2B Antibody (8H798) is a Rabbit antibody targeting CSNK2B. Anti-CSNK2B Antibody (8H798) can be used in IHC,IP,WB.
别名
Protein G5a, Phosvitin, MGC138224, MGC138222, G5A, csnk2b, CSNK 2B, CSK2B_HUMAN, CSK2B, CK2N, CK2B, CK II beta, Casein kinase II subunit beta, Casein kinase II beta subunit, Casein kinase 2 beta polypeptide
Ig Type
IgG
克隆号
8H798
反应种属
Human,Mouse,Rat
验证活性
1. Western blot analysis of CSNK2B on SH-SY5Y (1) and 293 (2) lysate using anti-CSNK2B antibody at 1/500 dilution.
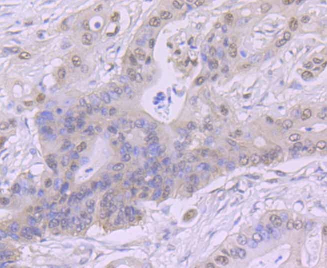
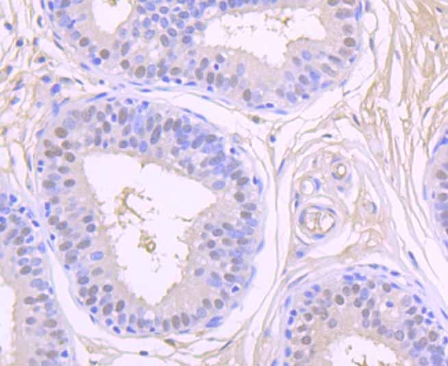
2. Immunohistochemical analysis of paraffin-embedded human colon cancer tissue using anti-CSNK2B antibody. Counter stained with hematoxylin.
3. Immunohistochemical analysis of paraffin-embedded human breast tissue using anti-CSNK2B antibody. Counter stained with hematoxylin.
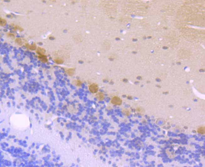
4. Immunohistochemical analysis of paraffin-embedded mouse cerebellum tissue using anti-CSNK2B antibody. Counter stained with hematoxylin.
verifiedActivityverifiedActivityverifiedActivityverifiedActivity
应用IHCIPWB
推荐剂量
WB: 1:500-2000; IHC: 1:50-100; IP: 1:10-50
抗体种类
Monoclonal
宿主来源Rabbit
构建方式Recombinant Antibody
纯化方式ProA affinity purified
性状Liquid
缓冲液1*TBS (pH7.4), 1%BSA, 40%Glycerol. Preservative: 0.05% Sodium Azide.
研究背景Casein kinase I (also designated CKI) and casein kinase II (CKII) compose a family of serine/threonine protein kinases which are present in all eukaryotes examined to date. Casein kinase I family members, which include casein kinase Iα, Iγ, Iδ and Ie, have been implicated in the control of cytoplasmic and nuclear processes, including DNA replication and repair. CKII is usually expressed as a tetrameric complex consisting of either an α2β2 or an αα'β2 structure. The a catalytic subunit is stimulated by the β regulatory subunit, which undergoes autophosphorylation. Casein kinase II activity is high in the cytosol and nucleus of proliferating and differentiating cells. Casein kinase II is known to phosphorylate more than 100 different substrates including nuclear oncoproteins, transcription factors and enzymes involved in DNA metabolism.
偶联与修饰
偶联
Unconjugated
抗原信息
免疫原
Recombinant Protein
Uniprot ID
化学信息
分子量Theoretical: 25 kDa.
储存&溶解度
储存方式Store at -20°C or -80°C for 12 months. Avoid repeated freeze-thaw cycles.
运输方式Shipping with blue ice.

计算器

  • 稀释 计算器
  • 配液 计算器
Related Tags: buy Anti-CSNK2B Antibody (8H798) | purchase Anti-CSNK2B Antibody (8H798) | Anti-CSNK2B Antibody (8H798) cost | order Anti-CSNK2B Antibody (8H798) | Anti-CSNK2B Antibody (8H798) molecular weight