购物车
  • TargetMol
    您的购物车当前为空

Anti-CPS1 Antibody (3F443)

Synonyms: mitochondrial, Cps1, Carbamoyl-phosphate synthetase I (CPSase I), Carbamoyl-phosphate synthase [ammonia], mitochondrial
货号 TMAC-00952 一键复制产品信息
Rating icon 还可以

Anti-CPS1 Antibody (3F443) 是一种 Rabbit 抗体,靶向 CPS1。Anti-CPS1 Antibody (3F443) 可用于 ICC,IF,IHC,IP,WB。

Anti-CPS1 Antibody (3F443)

一键复制产品信息
Rating icon 还可以
货号 TMAC-00952

别名 mitochondrial, Cps1, Carbamoyl-phosphate synthetase I (CPSase I), Carbamoyl-phosphate synthase [ammonia], mitochondrial

Anti-CPS1 Antibody (3F443) 是一种 Rabbit 抗体,靶向 CPS1。Anti-CPS1 Antibody (3F443) 可用于 ICC,IF,IHC,IP,WB。

Anti-CPS1 Antibody (3F443)
规格价格库存数量
50 μL
¥ 1,485
5日内发货
100 μL
¥ 2,490
5日内发货
库存状态实时更新,以官网显示为准,现货产品可直接加购物车下单
大包装 & 定制
加入购物车

TargetMol的所有产品仅用作科学研究或药证申报,不能被用于人体,我们不向个人提供产品和服务。请您遵守承诺用途,不得违反法律法规规定用于任何其他用途。

实验操作小课堂
常见问题解答
查看更多

资源下载:产品操作手册

产品介绍


生物活性
产品描述
Anti-CPS1 Antibody (3F443) is a Rabbit antibody targeting CPS1. Anti-CPS1 Antibody (3F443) can be used in ICC,IF,IHC,IP,WB.
别名
mitochondrial, Cps1, Carbamoyl-phosphate synthetase I (CPSase I), Carbamoyl-phosphate synthase [ammonia], mitochondrial
Ig Type
IgG
克隆号
3F443
反应种属
Human,Mouse,Rat
验证活性
1. Western blot analysis of CPS1 on SiHa cell using anti-CPS1 antibody at 1/500 dilution.
2. Immunohistochemical analysis of paraffin-embedded human liver tissue using anti-CPS1 antibody. Counter stained with hematoxylin.
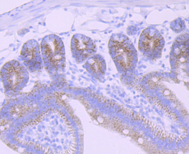
3. Immunohistochemical analysis of paraffin-embedded mouse small intestine tissue using anti-CPS1 antibody. Counter stained with hematoxylin.
4. ICC staining CPS1 in HepG2 cells (green). The nuclear counter stain is DAPI (blue). Cells were fixed in paraformaldehyde, permeabilised with 0.25% Triton X100/PBS.
verifiedActivityverifiedActivityverifiedActivityverifiedActivity
应用ICCIFIHCIPWB
推荐剂量
WB: 1:500-1000; IHC: 1:50-200; ICC: 1:50-200
抗体种类
Monoclonal
宿主来源Rabbit
构建方式Recombinant Antibody
纯化方式ProA affinity purified
性状Liquid
缓冲液1*TBS (pH7.4), 1%BSA, 40%Glycerol. Preservative: 0.05% Sodium Azide.
研究背景The multicomplex protein, carbamoyl-phosphate synthetase-aspartate carbamoyl transferase-dihydro-orotase (CAD), consists of three distinct proteins, carbamoyl phosphate synthetase 2 (CPS2), aspartate transcarbamylase, and dihydro-orotase, which catalyze the second and third steps of pyrimidine biosynthesis. CAD is allosterically regulated by the phosphorylation of CPS2 by cyclic AMP-dependent protein kinase, and this activation enables CPS2 to catalyze the rate-limiting step of pyrimidine synthesis. CAD is expressed in brain and skeletal muscle. A related protein, carbamoyl phosphate synthetase 1 (CPS1) is expressed in liver. CPS1 catalyzes the rate-limiting step in the urea cycle, and deficiency of CPS1 is an autosomal recessive disorder that causes hyperammonemia.
偶联与修饰
偶联
Unconjugated
抗原信息
免疫原
Recombinant Protein
Uniprot ID
化学信息
分子量Theoretical: 165 kDa.
储存&溶解度
储存方式Store at -20°C or -80°C for 12 months. Avoid repeated freeze-thaw cycles.
运输方式Shipping with blue ice.

计算器

  • 稀释 计算器
  • 配液 计算器
Related Tags: buy Anti-CPS1 Antibody (3F443) | purchase Anti-CPS1 Antibody (3F443) | Anti-CPS1 Antibody (3F443) cost | order Anti-CPS1 Antibody (3F443) | Anti-CPS1 Antibody (3F443) molecular weight