购物车
  • TargetMol
    您的购物车当前为空

Anti-Cpn10/HSPE1 Antibody (6G207)

Synonyms: HSP10, heat shock 10kDa protein 1, GROES, EPF, CPN10
货号 TMAC-00951 一键复制产品信息
Rating icon 还可以

Anti-Cpn10/HSPE1 Antibody (6G207) 是一种 Rabbit 抗体,靶向 Cpn10/HSPE1。Anti-Cpn10/HSPE1 Antibody (6G207) 可用于 IHC,IP,WB。

Anti-Cpn10/HSPE1 Antibody (6G207)

一键复制产品信息
Rating icon 还可以
货号 TMAC-00951

别名 HSP10, heat shock 10kDa protein 1, GROES, EPF, CPN10

Anti-Cpn10/HSPE1 Antibody (6G207) 是一种 Rabbit 抗体,靶向 Cpn10/HSPE1。Anti-Cpn10/HSPE1 Antibody (6G207) 可用于 IHC,IP,WB。

Anti-Cpn10/HSPE1 Antibody (6G207)
规格价格库存数量
50 μL
¥ 1,495
5日内发货
100 μL
¥ 2,490
5日内发货
库存状态实时更新,以官网显示为准,现货产品可直接加购物车下单
大包装 & 定制
加入购物车

TargetMol的所有产品仅用作科学研究或药证申报,不能被用于人体,我们不向个人提供产品和服务。请您遵守承诺用途,不得违反法律法规规定用于任何其他用途。

实验操作小课堂
常见问题解答
查看更多

资源下载:产品操作手册

产品介绍


生物活性
产品描述
Anti-Cpn10/HSPE1 Antibody (6G207) is a Rabbit antibody targeting Cpn10/HSPE1. Anti-Cpn10/HSPE1 Antibody (6G207) can be used in IHC,IP,WB.
别名
HSP10, heat shock 10kDa protein 1, GROES, EPF, CPN10
Ig Type
IgG
克隆号
6G207
反应种属
Human,Mouse,Rat
验证活性
1. Western blot analysis of Cpn10 on mouse liver tissue lysate using anti-Cpn10 antibody at 1/1,000 dilution.
2. Immunohistochemical analysis of paraffin-embedded rat testis tissue using anti-Cpn10 antibody. Counter stained with hematoxylin.
3. Immunohistochemical analysis of paraffin-embedded human liver cancer tissue using anti-Cpn10 antibody. Counter stained with hematoxylin.
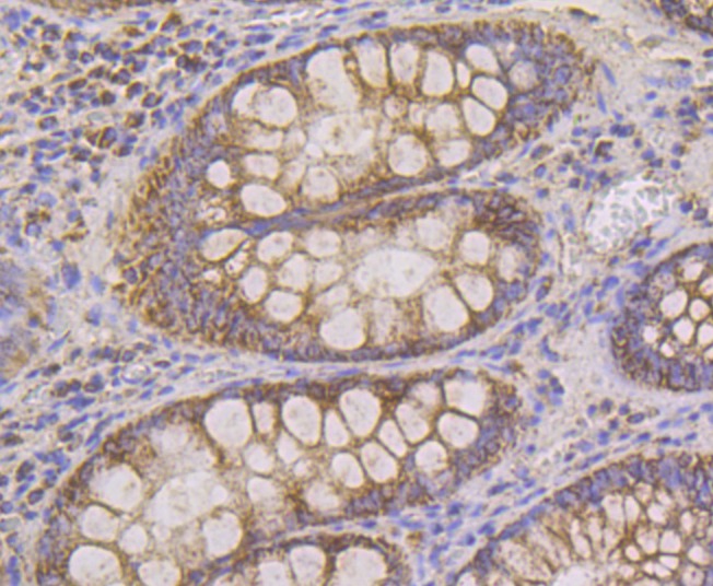
4. Immunohistochemical analysis of paraffin-embedded human colon tissue using anti-Cpn10 antibody. Counter stained with hematoxylin.
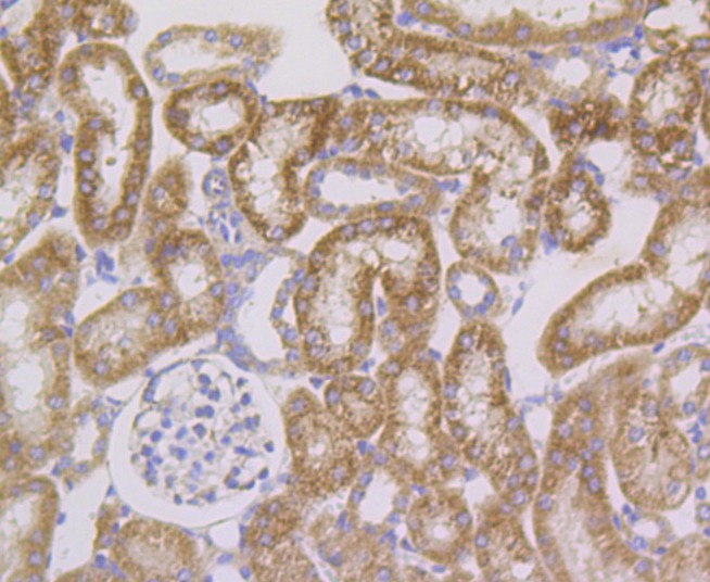
5. Immunohistochemical analysis of paraffin-embedded mouse kidney tissue using anti-Cpn10 antibody. Counter stained with hematoxylin.
verifiedActivityverifiedActivityverifiedActivityverifiedActivityverifiedActivity
应用IHCIPWB
推荐剂量
WB: 1:500-2000; IHC: 1:50-200; IP: 1:10-50
抗体种类
Monoclonal
宿主来源Rabbit
构建方式Recombinant Antibody
纯化方式ProA affinity purified
性状Liquid
缓冲液1*TBS (pH7.4), 1%BSA, 40%Glycerol. Preservative: 0.05% Sodium Azide.
研究背景The heat shock proteins (HSPs) comprise a group of highly conserved, abundantly expressed proteins with diverse functions, including the assembly and sequestering of multiprotein complexes, transportation of nascent poly-peptide chains across cellular membranes and regulation of protein folding. Heat shock proteins (also known as molecular chaperones) fall into six general families: HSP 90, HSP 70, HSP 60, the low molecular weight HSPs, the immunophilins and the HSP 110 family. The low molecular weight family includes HSP 10, HSP 20, HSP 27, HSP 32 and HSP 40. HSP 10, a 102 amino acid protein, forms a heptameric ring of seven identical subunits. This ring binds at either end of HSP 60 to form a functional heterodimer.
偶联与修饰
偶联
Unconjugated
抗原信息
免疫原
Recombinant Protein: human Cpn10 aa 1-150
抗原种属
human
Uniprot ID
化学信息
分子量Theoretical: 11 kDa.
储存&溶解度
储存方式Store at -20°C or -80°C for 12 months. Avoid repeated freeze-thaw cycles.
运输方式Shipping with blue ice.

计算器

  • 稀释 计算器
  • 配液 计算器
Related Tags: buy Anti-Cpn10/HSPE1 Antibody (6G207) | purchase Anti-Cpn10/HSPE1 Antibody (6G207) | Anti-Cpn10/HSPE1 Antibody (6G207) cost | order Anti-Cpn10/HSPE1 Antibody (6G207) | Anti-Cpn10/HSPE1 Antibody (6G207) molecular weight