购物车
  • TargetMol
    您的购物车当前为空

Anti-Collagen II/COL2A1 Antibody (1R829)

Synonyms: STL1, SEDC, collagen, type II, α1, collagen, type II, alpha 1, COL11A3, AOM, ANFH
货号 TMAC-00919 一键复制产品信息
Rating icon 还可以

Anti-Collagen II/COL2A1 Antibody (1R829) 是一种 Mouse 抗体,靶向 Collagen II/COL2A1。Anti-Collagen II/COL2A1 Antibody (1R829) 可用于 IHC。

Anti-Collagen II/COL2A1 Antibody (1R829)

一键复制产品信息
Rating icon 还可以
货号 TMAC-00919

别名 STL1, SEDC, collagen, type II, α1, collagen, type II, alpha 1, COL11A3, AOM, ANFH

Anti-Collagen II/COL2A1 Antibody (1R829) 是一种 Mouse 抗体,靶向 Collagen II/COL2A1。Anti-Collagen II/COL2A1 Antibody (1R829) 可用于 IHC。

Anti-Collagen II/COL2A1 Antibody (1R829)
规格价格库存数量
50 μL
¥ 1,335
5日内发货
100 μL
¥ 2,190
5日内发货
库存状态实时更新,以官网显示为准,现货产品可直接加购物车下单
大包装 & 定制
加入购物车

TargetMol的所有产品仅用作科学研究或药证申报,不能被用于人体,我们不向个人提供产品和服务。请您遵守承诺用途,不得违反法律法规规定用于任何其他用途。

实验操作小课堂
常见问题解答
查看更多

资源下载:产品操作手册

产品介绍


生物活性
产品描述
Anti-Collagen II/COL2A1 Antibody (1R829) is a Mouse antibody targeting Collagen II/COL2A1. Anti-Collagen II/COL2A1 Antibody (1R829) can be used in IHC.
别名
STL1, SEDC, collagen, type II, α1, collagen, type II, alpha 1, COL11A3, AOM, ANFH
Ig Type
IgG1
克隆号
1R829
反应种属
Human,Mouse,Rat
验证活性
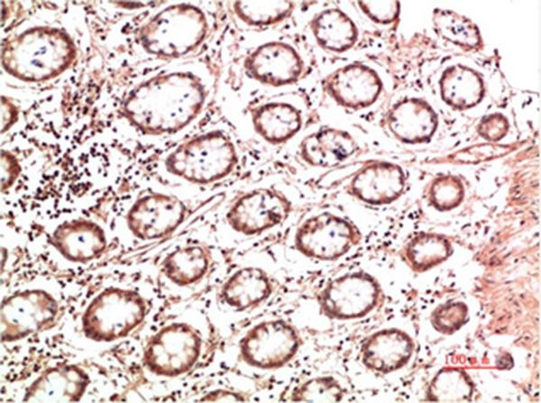
1. Immunohistochemical analysis of paraffin-embedded Human Colon Carcinoma Tissue using Collagen II Mouse mAb diluted at 1:500.
2. Immunohistochemical analysis of paraffin-embedded Human Colon Carcinoma Tissue using Collagen II Mouse mAb diluted at 1:500.
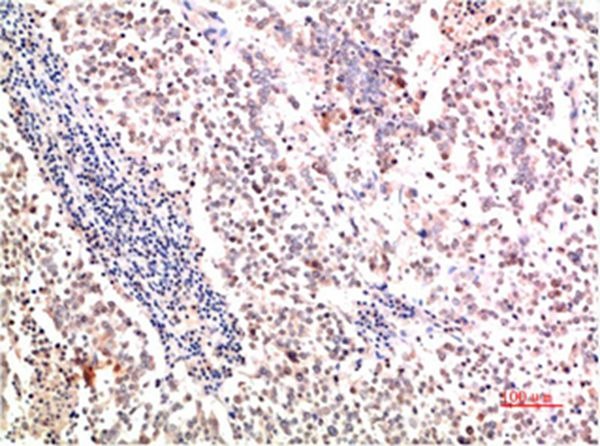
3. Immunohistochemical analysis of paraffin-embedded Human Lung Carcinoma Tissue using Collagen II Mouse mAb diluted at 1:500.
verifiedActivityverifiedActivityverifiedActivity
应用IHC
推荐剂量
IHC: 1:50-200
抗体种类
Monoclonal
宿主来源Mouse
构建方式Hybridoma Monoclonal Antibody
性状Liquid
缓冲液Liquid in PBS containing 50% glycerol, 0.5% BSA and 0.02% sodium azide.
偶联与修饰
偶联
Unconjugated
抗原信息
免疫原
A synthesized peptide: Collagen II
化学信息
分子量Theoretical: 142 kDa.
储存&溶解度
储存方式Store at -20°C or -80°C for 12 months. Avoid repeated freeze-thaw cycles.
运输方式Shipping with blue ice.

计算器

  • 稀释 计算器
  • 配液 计算器
Related Tags: buy Anti-Collagen II/COL2A1 Antibody (1R829) | purchase Anti-Collagen II/COL2A1 Antibody (1R829) | Anti-Collagen II/COL2A1 Antibody (1R829) cost | order Anti-Collagen II/COL2A1 Antibody (1R829) | Anti-Collagen II/COL2A1 Antibody (1R829) molecular weight