购物车
  • 全部删除
  • TargetMol
    您的购物车当前为空

Anti-CD80 Antibody (2K870)

一键复制产品信息
Rating icon 还可以
产品编号 TMAC-00738
别名 LAB7, CD80 molecule, CD80, CD28LG1, BB1, B7-1, B71, B7.1, B7

Anti-CD80 Antibody (2K870) 是一种 Rabbit 抗体,靶向 CD80。Anti-CD80 Antibody (2K870) 可用于 IHC,WB。

Anti-CD80 Antibody (2K870)

Anti-CD80 Antibody (2K870)

一键复制产品信息
Rating icon 还可以
产品编号 TMAC-00738 别名 LAB7, CD80 molecule, CD80, CD28LG1, BB1, B7-1, B71, B7.1, B7

Anti-CD80 Antibody (2K870) 是一种 Rabbit 抗体,靶向 CD80。Anti-CD80 Antibody (2K870) 可用于 IHC,WB。

规格价格库存数量
50 μL
¥ 1,480
5日内发货
100 μL
¥ 2,480
5日内发货
大包装 & 定制
加入购物车
TargetMol 的所有产品仅用作科学研究或药证申报,不能被用于人体,我们不向个人提供产品和服务。请您遵守承诺用途,不得违反法律法规规定用于任何其他用途。
实验操作小课堂
常见问题解答
查看更多
联系我们获取更多批次信息
资源下载

产品介绍

生物活性
产品描述
Anti-CD80 Antibody (2K870) is a Rabbit antibody targeting CD80. Anti-CD80 Antibody (2K870) can be used in IHC,WB.
别名LAB7, CD80 molecule, CD80, CD28LG1, BB1, B7-1, B71, B7.1, B7
Ig Type
IgG
克隆号
2K870
交叉反应
Human
验证活性
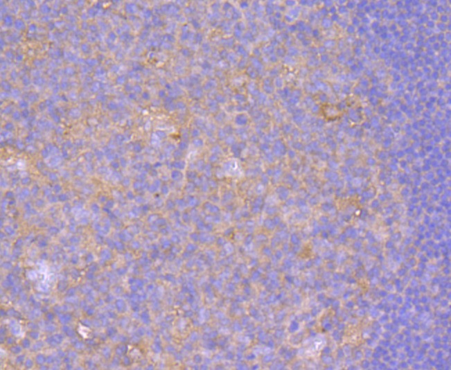
1. Immunohistochemical analysis of paraffin-embedded human tonsil tissue using anti-CD80 antibody. Counter stained with hematoxylin.
verifiedActivity
应用IHCWB
推荐剂量
WB: 1:500-1000; IHC: 1:50-100
抗体种类
Monoclonal
宿主来源Rabbit
构建方式Recombinant Antibody
纯化方式ProA affinity purified
性状Liquid
缓冲液1*TBS (pH7.4), 1%BSA, 40%Glycerol. Preservative: 0.05% Sodium Azide.
研究背景T cell proliferation and lymphokine production are triggered by occupation of the TCR by antigen, followed by a costimulatory signal that is delivered by a ligand expressed on antigen presenting cells. The B7-related cell surface proteins CD80 (B7-1) and CD86 (B7-2) are expressed on antigen presenting cells, bind the homologous T cell receptors CTLA-4 (cytotoxic T lymphocyte-associated protein-4) and CD28 and trigger costimulatory signals for optimal T cell activation. CTLA-4 shares 31% overall amino acid identity with CD28 and it has been proposed that CD28 and CTLA-4 are functionally redundant. SLAM is a novel receptor on T cells that, when engaged, potentiates T cell expansion in a CD28-independent manner. B7, also designated BB1, is another ligand or counterreceptor for CD28 and CTLA-4 that is expressed on the antigen-presenting cell.
偶联与修饰
偶联
Unconjugated
抗原信息
免疫原
Recombinant Protein
Uniprot ID
化学信息
分子量Theoretical: 60 kDa.
存储&运输
储存方式Store at -20°C or -80°C for 12 months. Avoid repeated freeze-thaw cycles.
运输方式Shipping with blue ice.

计算器

  • 稀释 计算器

关键词

评论列表

4个月前
5.0
Rating icon 很棒

评论内容

Related Tags: buy Anti-CD80 Antibody (2K870) | purchase Anti-CD80 Antibody (2K870) | Anti-CD80 Antibody (2K870) cost | order Anti-CD80 Antibody (2K870) | Anti-CD80 Antibody (2K870) molecular weight