购物车
  • TargetMol
    您的购物车当前为空

Anti-CD8 alpha Antibody (1T746)

Synonyms: p32, OKT8 T-cell antigen, MAL, Lyt-2, Leu2, CD8a molecule, CD8a, CD8 α/CD8A, CD8
货号 TMAC-00737 一键复制产品信息
Rating icon 还可以

Anti-CD8 alpha Antibody (1T746) 是一种 Rabbit 抗体,靶向 CD8 alpha。Anti-CD8 alpha Antibody (1T746) 可用于 ICC/IF,IHC,WB。

Anti-CD8 alpha Antibody (1T746)

一键复制产品信息
Rating icon 还可以
货号 TMAC-00737

别名 p32, OKT8 T-cell antigen, MAL, Lyt-2, Leu2, CD8a molecule, CD8a, CD8 α/CD8A, CD8

Anti-CD8 alpha Antibody (1T746) 是一种 Rabbit 抗体,靶向 CD8 alpha。Anti-CD8 alpha Antibody (1T746) 可用于 ICC/IF,IHC,WB。

Anti-CD8 alpha Antibody (1T746)
规格价格库存数量
50 μL
¥ 1,495
5日内发货
100 μL
¥ 2,495
5日内发货
库存状态实时更新,以官网显示为准,现货产品可直接加购物车下单
大包装 & 定制
加入购物车

TargetMol的所有产品仅用作科学研究或药证申报,不能被用于人体,我们不向个人提供产品和服务。请您遵守承诺用途,不得违反法律法规规定用于任何其他用途。

实验操作小课堂
常见问题解答
查看更多

资源下载:产品操作手册

产品介绍


生物活性
产品描述
Anti-CD8 alpha Antibody (1T746) is a Rabbit antibody targeting CD8 alpha. Anti-CD8 alpha Antibody (1T746) can be used in ICC/IF,IHC,WB.
别名
p32, OKT8 T-cell antigen, MAL, Lyt-2, Leu2, CD8a molecule, CD8a, CD8 α/CD8A, CD8
Ig Type
IgG
克隆号
1T746
反应种属
Human
验证活性
1. Western blot analysis of CD8 alpha on different lysates using anti-CD8 alpha antibody at 1/1,000 dilution. Positive control: Lane 1: Hela, Lane 2: Lovo.
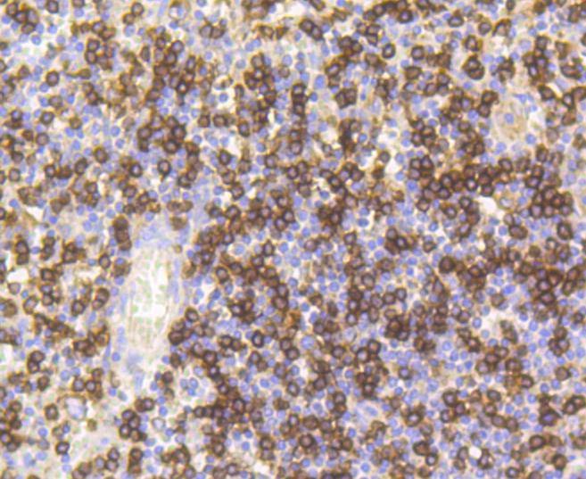
2. Immunohistochemical analysis of paraffin-embedded human spleen tissue using anti-CD8 alpha antibody. Counter stained with hematoxylin.
3. ICC staining CD8 alpha in Hela cells (green). The nuclear counter stain is DAPI (blue). Cells were fixed in paraformaldehyde, permeabilised with 0.25% Triton X100/PBS.
4. ICC staining CD8 alpha in CRC cells (green). The nuclear counter stain is DAPI (blue). Cells were fixed in paraformaldehyde, permeabilised with 0.25% Triton X100/PBS.
verifiedActivityverifiedActivityverifiedActivityverifiedActivity
应用ICC/IFIHCWB
推荐剂量
WB: 1:1000-2000; IHC: 1:50-200; ICC/IF: 1:50-200
抗体种类
Monoclonal
宿主来源Rabbit
构建方式Recombinant Antibody
纯化方式ProA affinity purified
性状Liquid
缓冲液1*TBS (pH7.4), 1%BSA, 40%Glycerol. Preservative: 0.05% Sodium Azide.
研究背景The T cell receptor (TCR) is a heterodimer composed of either α and β or γ and δ chains. CD3 chains and the CD4 or CD8 (CD8-α and CD8-β) co-receptors are also required for efficient signal transduction through the TCR. The TCR is expressed on T helper and T cytotoxic cells that can be distinguished by their expression of CD4 and CD8 proteins; T helper cells express CD4 proteins and T cytotoxic cells display CD8 proteins. CD8s are cell surface glycoproteins that exist as two chain complex (αα or αβ) receptors that bind class I MHC molecules presented by the antigen-presenting cell (APC). A primary function of CD8 proteins is to facilitate antigen recognition by the TCR and to strengthen the avidity of the TCR-antigen interactions. An additional role for CD8-expressing T cells may be to maintain low levels of HIV expression.
偶联与修饰
偶联
Unconjugated
抗原信息
免疫原
Recombinant Protein
Uniprot ID
化学信息
分子量Theoretical: 26 kDa.
储存&溶解度
储存方式Store at -20°C or -80°C for 12 months. Avoid repeated freeze-thaw cycles.
运输方式Shipping with blue ice.

计算器

  • 稀释 计算器
  • 配液 计算器

关键词

Related Tags: buy Anti-CD8 alpha Antibody (1T746) | purchase Anti-CD8 alpha Antibody (1T746) | Anti-CD8 alpha Antibody (1T746) cost | order Anti-CD8 alpha Antibody (1T746) | Anti-CD8 alpha Antibody (1T746) molecular weight