购物车
  • 全部删除
  • TargetMol
    您的购物车当前为空

Anti-CD4 Antibody (2R601)

一键复制产品信息
Rating icon 还可以
产品编号 TMAC-00709
别名 Ly-4, L3T4, CD4 molecule

Anti-CD4 Antibody (2R601) 是一种 Rabbit 抗体,靶向 CD4。Anti-CD4 Antibody (2R601) 可用于 ICC/IF,IHC,WB。

Anti-CD4 Antibody (2R601)

Anti-CD4 Antibody (2R601)

一键复制产品信息
Rating icon 还可以
产品编号 TMAC-00709 别名 Ly-4, L3T4, CD4 molecule

Anti-CD4 Antibody (2R601) 是一种 Rabbit 抗体,靶向 CD4。Anti-CD4 Antibody (2R601) 可用于 ICC/IF,IHC,WB。

规格价格库存数量
50 μL
¥ 1,490
5日内发货
100 μL
¥ 2,480
5日内发货
大包装 & 定制
加入购物车
TargetMol 的所有产品仅用作科学研究或药证申报,不能被用于人体,我们不向个人提供产品和服务。请您遵守承诺用途,不得违反法律法规规定用于任何其他用途。
实验操作小课堂
常见问题解答
查看更多
联系我们获取更多批次信息
资源下载

产品介绍

生物活性
产品描述
Anti-CD4 Antibody (2R601) is a Rabbit antibody targeting CD4. Anti-CD4 Antibody (2R601) can be used in ICC/IF,IHC,WB.
别名Ly-4, L3T4, CD4 molecule
Ig Type
IgG
克隆号
2R601
交叉反应
Human
验证活性
1. Western blot analysis of CD4 on human thymus tissue lysates using anti-CD4 antibody at 1/1,000 dilution.
2. Immunohistochemical analysis of paraffin-embedded human tonsil tissue using anti-CD4 antibody. Counter stained with hematoxylin.
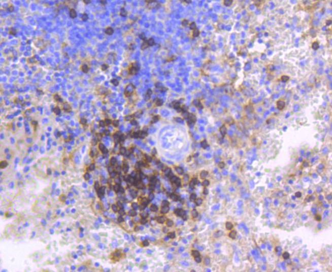
3. Immunohistochemical analysis of paraffin-embedded human spleen tissue using anti-CD4 antibody. Counter stained with hematoxylin.
4. ICC staining CD4 in A549 cells (green). The nuclear counter stain is DAPI (blue). Cells were fixed in paraformaldehyde, permeabilised with 0.25% Triton X100/PBS.
5. ICC staining CD4 in CRC cells (green). The nuclear counter stain is DAPI (blue). Cells were fixed in paraformaldehyde, permeabilised with 0.25% Triton X100/PBS.
verifiedActivityverifiedActivityverifiedActivityverifiedActivityverifiedActivity
应用ICC/IFIHCWB
推荐剂量
WB: 1:1000-2000; IHC: 1:50-200; ICC/IF: 1:50-200
抗体种类
Monoclonal
宿主来源Rabbit
构建方式Recombinant Antibody
纯化方式ProA affinity purified
性状Liquid
缓冲液1*TBS (pH7.4), 1%BSA, 40%Glycerol. Preservative: 0.05% Sodium Azide.
研究背景The T cell receptor (TCR) is a heterodimer composed of either α and β or γ and δ chains. CD3 chains and the CD4 or CD8 co-receptors are also required for efficient signal transduction through the TCR. The TCR is expressed on T helper and T cytotoxic cells that can be distinguished by their expression of CD4 and CD8; T helper cells express CD4 proteins and T cytotoxic cells display CD8. CD4 is also expressed on cortical cells, mature medullary thymocytes, microglial cells and dendritic cells. CD4 (also designated T4 and Leu 3), is a membrane glycoprotein that contains four extracellular immunoglobin-like domains. The TCR in association with CD4 can bind class II MHC molecules presented by the antigen-presenting cells. The CD4 protein functions by increasing the avidity of the interaction between the TCR and an antigen-class II MHC complex. An additional role of CD4 is to function as a receptor for HIV.
偶联与修饰
偶联
Unconjugated
抗原信息
免疫原
Recombinant Protein
Uniprot ID
化学信息
分子量Theoretical: 51 kDa.
存储&运输
储存方式Store at -20°C or -80°C for 12 months. Avoid repeated freeze-thaw cycles.
运输方式Shipping with blue ice.

计算器

  • 稀释 计算器

评论列表

4个月前
5.0
Rating icon 很棒

评论内容

Related Tags: buy Anti-CD4 Antibody (2R601) | purchase Anti-CD4 Antibody (2R601) | Anti-CD4 Antibody (2R601) cost | order Anti-CD4 Antibody (2R601) | Anti-CD4 Antibody (2R601) molecular weight