购物车
  • 全部删除
  • TargetMol
    您的购物车当前为空

Anti-CD20 Antibody (3J782)

一键复制产品信息
Rating icon 还可以
产品编号 TMAC-00674
别名 MS4A-1, MS4A1, Membrane-spanning 4-domains subfamily A member 11, Leukocyte surface antigen Leu-16, CD20, Bp35, B-lymphocyte surface antigen B1

Anti-CD20 Antibody (3J782) 是一种 Mouse 抗体,靶向 CD20。Anti-CD20 Antibody (3J782) 可用于 IF,IHC,WB。

Anti-CD20 Antibody (3J782)

Anti-CD20 Antibody (3J782)

一键复制产品信息
Rating icon 还可以
产品编号 TMAC-00674 别名 MS4A-1, MS4A1, Membrane-spanning 4-domains subfamily A member 11, Leukocyte surface antigen Leu-16, CD20, Bp35, B-lymphocyte surface antigen B1

Anti-CD20 Antibody (3J782) 是一种 Mouse 抗体,靶向 CD20。Anti-CD20 Antibody (3J782) 可用于 IF,IHC,WB。

规格价格库存数量
50 μL
¥ 1,345
5日内发货
100 μL
¥ 2,190
5日内发货
大包装 & 定制
加入购物车
TargetMol 的所有产品仅用作科学研究或药证申报,不能被用于人体,我们不向个人提供产品和服务。请您遵守承诺用途,不得违反法律法规规定用于任何其他用途。
实验操作小课堂
常见问题解答
查看更多
联系我们获取更多批次信息
资源下载

产品介绍

生物活性
产品描述
Anti-CD20 Antibody (3J782) is a Mouse antibody targeting CD20. Anti-CD20 Antibody (3J782) can be used in IF,IHC,WB.
别名MS4A-1, MS4A1, Membrane-spanning 4-domains subfamily A member 11, Leukocyte surface antigen Leu-16, CD20, Bp35, B-lymphocyte surface antigen B1
Ig Type
IgG1, Kappa
克隆号
3J782
交叉反应
Human
验证活性
1. Whole cell lysates were separated by 10% SDS-PAGE, and the membrane was blotted with anti-CD20 antibody.
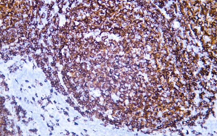
2. Human tonsil tissue was stained with anti-CD20 antibody.
verifiedActivityverifiedActivity
应用IFIHCWB
推荐剂量
IHC: 1:100-500; WB: 1:200-1000; IF: 1:100-500
抗体种类
Monoclonal
宿主来源Mouse
构建方式Hybridoma Monoclonal Antibody
纯化方式The antibody was affinity-purified from mouse ascites by affinity-chromatography using specific immunogen.
性状Liquid
缓冲液Liquid in PBS containing 50% glycerol, 0.5% BSA and 0.84% sodium azide.
偶联与修饰
偶联
Unconjugated
抗原信息
免疫原
A synthesized peptide: human CD20
抗原种属
human
基因ID
Uniprot ID
存储&运输
储存方式Store at -20°C or -80°C for 12 months. Avoid repeated freeze-thaw cycles.
运输方式Shipping with blue ice.

计算器

  • 稀释 计算器

关键词

评论列表

4个月前
5.0
Rating icon 很棒

评论内容

Related Tags: buy Anti-CD20 Antibody (3J782) | purchase Anti-CD20 Antibody (3J782) | Anti-CD20 Antibody (3J782) cost | order Anti-CD20 Antibody (3J782)