购物车
  • TargetMol
    您的购物车当前为空

Anti-CBX3 Antibody (1K457)

Synonyms: Chromobox protein homolog 3 (HECH) (Heterochromatin protein 1 homolog gamma) (HP1 gamma) (Modifier 2 protein), CBX 3
货号 TMAC-02012 一键复制产品信息
Rating icon 还可以

Anti-CBX3 Antibody (1K457) 是一种 Mouse 抗体,靶向 CBX3。Anti-CBX3 Antibody (1K457) 可用于 IHC,WB。

Anti-CBX3 Antibody (1K457)

一键复制产品信息
Rating icon 还可以
货号 TMAC-02012

别名 Chromobox protein homolog 3 (HECH) (Heterochromatin protein 1 homolog gamma) (HP1 gamma) (Modifier 2 protein), CBX 3

Anti-CBX3 Antibody (1K457) 是一种 Mouse 抗体,靶向 CBX3。Anti-CBX3 Antibody (1K457) 可用于 IHC,WB。

Anti-CBX3 Antibody (1K457)
规格价格库存数量
50 μL
¥ 1,340
5日内发货
100 μL
¥ 2,185
5日内发货
库存状态实时更新,以官网显示为准,现货产品可直接加购物车下单
大包装 & 定制
加入购物车

TargetMol的所有产品仅用作科学研究或药证申报,不能被用于人体,我们不向个人提供产品和服务。请您遵守承诺用途,不得违反法律法规规定用于任何其他用途。

实验操作小课堂
常见问题解答
查看更多

资源下载:产品操作手册

产品介绍


生物活性
产品描述
Anti-CBX3 Antibody (1K457) is a Mouse antibody targeting CBX3. Anti-CBX3 Antibody (1K457) can be used in IHC,WB.
别名
Chromobox protein homolog 3 (HECH) (Heterochromatin protein 1 homolog gamma) (HP1 gamma) (Modifier 2 protein), CBX 3
Ig Type
IgG1
克隆号
1K457
反应种属
Human,Mouse,Rat
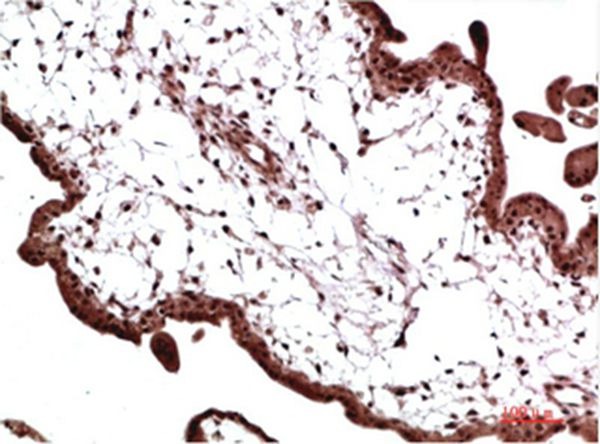
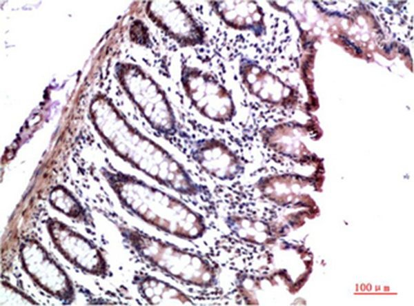
验证活性
1. Western blot analysis of 1) Hela Cell Lysate, 2)3T3 Cell Lysate, 3) PC12 Cell Lysate using HP-1γ Mouse mAb diluted at 1:1000.
2. Immunohistochemical analysis of paraffin-embedded Human Colon Carcinoma Tissue using HP-1γ Mouse mAb diluted at 1:200.
3. Immunohistochemical analysis of paraffin-embedded Human Placenta Tissue using HP-1γ Mouse mAb diluted at 1:200.
verifiedActivityverifiedActivityverifiedActivity
应用IHCWB
推荐剂量
WB: 1:500-2000; IHC: 1:50-2000
抗体种类
Monoclonal
宿主来源Mouse
构建方式Hybridoma Monoclonal Antibody
性状Liquid
缓冲液Liquid in PBS containing 50% glycerol, 0.5% BSA and 0.02% sodium azide.
偶联与修饰
偶联
Unconjugated
抗原信息
免疫原
Recombinant Protein: HP-1γ
Uniprot ID
化学信息
分子量Theoretical: 24 kDa.
储存&溶解度
储存方式Store at -20°C or -80°C for 12 months. Avoid repeated freeze-thaw cycles.
运输方式Shipping with blue ice.

计算器

  • 稀释 计算器
  • 配液 计算器
Related Tags: buy Anti-CBX3 Antibody (1K457) | purchase Anti-CBX3 Antibody (1K457) | Anti-CBX3 Antibody (1K457) cost | order Anti-CBX3 Antibody (1K457) | Anti-CBX3 Antibody (1K457) molecular weight