购物车
  • TargetMol
    您的购物车当前为空

Anti-Caveolin 2 Antibody (7L548)

Synonyms: OTTHUMP00000195982, OTTHUMP00000025032, MGC12294, Caveolin-2, Caveolin2, Caveolin 2 isoform a and b, Caveolae protein 20 kD, CAV2_HUMAN, CAV2, CAV
货号 TMAC-00626 一键复制产品信息
Rating icon 还可以

Anti-Caveolin 2 Antibody (7L548) 是一种 Rabbit 抗体,靶向 Caveolin 2。Anti-Caveolin 2 Antibody (7L548) 可用于 ICC/IF,IHC,IP,WB。

Anti-Caveolin 2 Antibody (7L548)

一键复制产品信息
Rating icon 还可以
货号 TMAC-00626

别名 OTTHUMP00000195982, OTTHUMP00000025032, MGC12294, Caveolin-2, Caveolin2, Caveolin 2 isoform a and b, Caveolae protein 20 kD, CAV2_HUMAN, CAV2, CAV

Anti-Caveolin 2 Antibody (7L548) 是一种 Rabbit 抗体,靶向 Caveolin 2。Anti-Caveolin 2 Antibody (7L548) 可用于 ICC/IF,IHC,IP,WB。

Anti-Caveolin 2 Antibody (7L548)
规格价格库存数量
50 μL
¥ 1,490
5日内发货
100 μL
¥ 2,485
5日内发货
库存状态实时更新,以官网显示为准,现货产品可直接加购物车下单
大包装 & 定制
加入购物车

TargetMol的所有产品仅用作科学研究或药证申报,不能被用于人体,我们不向个人提供产品和服务。请您遵守承诺用途,不得违反法律法规规定用于任何其他用途。

实验操作小课堂
常见问题解答
查看更多

资源下载:产品操作手册

产品介绍


生物活性
产品描述
Anti-Caveolin 2 Antibody (7L548) is a Rabbit antibody targeting Caveolin 2. Anti-Caveolin 2 Antibody (7L548) can be used in ICC/IF,IHC,IP,WB.
别名
OTTHUMP00000195982, OTTHUMP00000025032, MGC12294, Caveolin-2, Caveolin2, Caveolin 2 isoform a and b, Caveolae protein 20 kD, CAV2_HUMAN, CAV2, CAV
Ig Type
IgG
克隆号
7L548
反应种属
Human
验证活性
1. Western blot analysis of caveolin-2 on HUVEC cell lysates using anti-caveolin-2 antibody at 1/1,000 dilution.
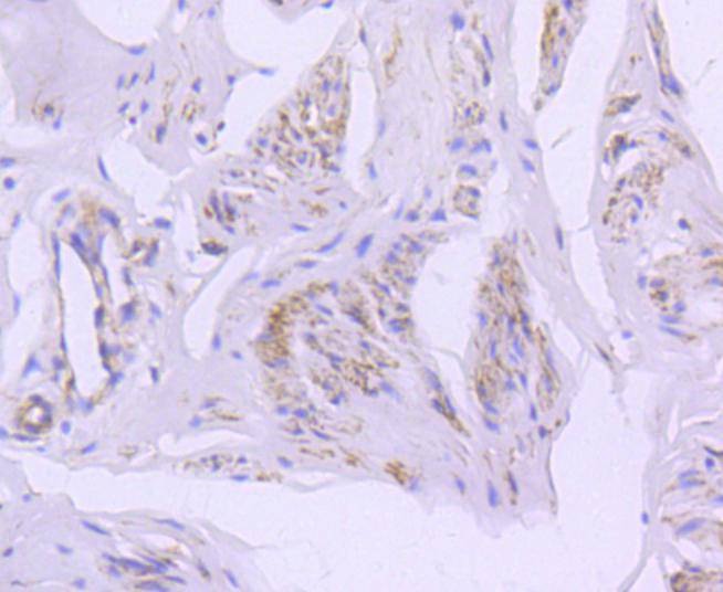
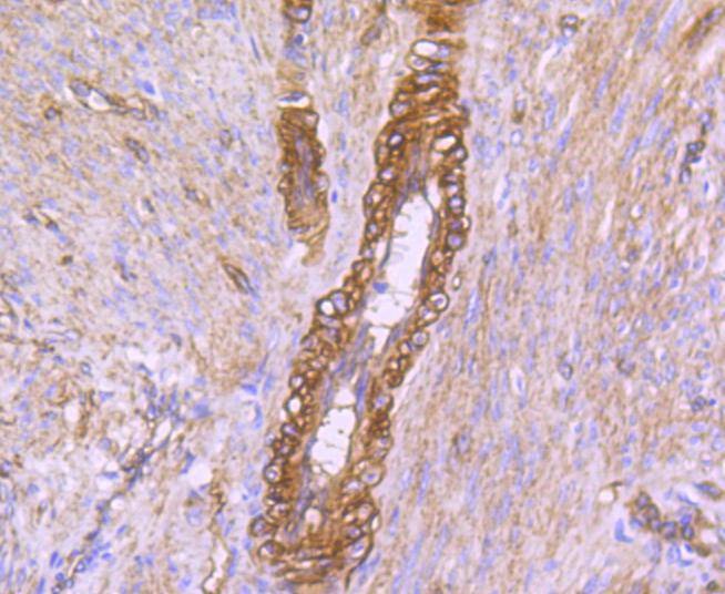
2. Immunohistochemical analysis of paraffin-embedded human cervix uteri tissue using anti-caveolin-2 antibody. Counter stained with hematoxylin.
3. Immunohistochemical analysis of paraffin-embedded human uterus tissue using anti-caveolin-2 antibody. Counter stained with hematoxylin.
4. ICC staining caveolin-2 in Hela cells (green). The nuclear counter stain is DAPI (blue). Cells were fixed in paraformaldehyde, permeabilised with 0.25% Triton X100/PBS.
verifiedActivityverifiedActivityverifiedActivityverifiedActivity
应用ICC/IFIHCIPWB
推荐剂量
WB: 1:1000-2000; IHC: 1:50-200; ICC/IF: 1:50-200
抗体种类
Monoclonal
宿主来源Rabbit
构建方式Recombinant Antibody
纯化方式ProA affinity purified
性状Liquid
缓冲液1*TBS (pH7.4), 1%BSA, 40%Glycerol. Preservative: 0.05% Sodium Azide.
研究背景Caveolae (also known as plasmalemmal vesicles) are 50-100 nM flask-shaped membranes that represent a subcompartment of the plasma membrane. On the basis of morphological studies, caveolae have been implicated to function in the transcytosis of various macromolecules (including LDL) across capillary endothelial cells, uptake of small molecules via potocytosis and the compartmentalization of certain signaling molecules including G protein-coupled receptors. Three proteins, caveolin-1, caveolin-2 and caveolin-3, have been identified as principal components of caveolae. Two forms of caveolin-1, designated a and b, share a distinct but overlapping cellular distribution and differ by an N-terminal 31 amino acid sequence that is absent from the b isoform. Caveolin-1 shares 31% identity with caveolin-2 and 65% identity with caveolin-3 at the amino acid level. Functionally, the three proteins differ in their interactions with heterotrimeric G protein isoforms.
偶联与修饰
偶联
Unconjugated
抗原信息
免疫原
Recombinant Protein
Uniprot ID
化学信息
分子量Theoretical: 20 kDa.
储存&溶解度
储存方式Store at -20°C or -80°C for 12 months. Avoid repeated freeze-thaw cycles.
运输方式Shipping with blue ice.

计算器

  • 稀释 计算器
  • 配液 计算器
Related Tags: buy Anti-Caveolin 2 Antibody (7L548) | purchase Anti-Caveolin 2 Antibody (7L548) | Anti-Caveolin 2 Antibody (7L548) cost | order Anti-Caveolin 2 Antibody (7L548) | Anti-Caveolin 2 Antibody (7L548) molecular weight