购物车
  • TargetMol
    您的购物车当前为空

Anti-CaMK2 Antibody (2O871)

Synonyms: KCC2A_HUMAN, CaMK-II subunit alpha, CAMKA, CAMK2G, CAMK2D, CAMK2B, CAMK2A, CAMK 2, CaM kinase II subunit alpha, CaM kinase II gamma, CaM kinase II delta, CaM kinase II beta, CaM kinase II alpha, CaM kinase II, Calcium/calmodulin-dependent protein kinase type II subunit alpha, Calcium/calmodulin dependent protein kinase II gamma, Calcium/calmodulin dependent protein kinase II delta, Calcium/calmodulin dependent protein kinase II beta, Calcium/calmodulin dependent protein kinase II alpha
货号 TMAC-00543 一键复制产品信息
Rating icon 还可以

Anti-CaMK2 Antibody (2O871) 是一种 Rabbit 抗体,靶向 CaMK2。Anti-CaMK2 Antibody (2O871) 可用于 ICC/IF,IHC,WB。

Anti-CaMK2 Antibody (2O871)

一键复制产品信息
Rating icon 还可以
货号 TMAC-00543

别名 KCC2A_HUMAN, CaMK-II subunit alpha, CAMKA, CAMK2G, CAMK2D, CAMK2B, CAMK2A, CAMK 2, CaM kinase II subunit alpha, CaM kinase II gamma, CaM kinase II delta, CaM kinase II beta, CaM kinase II alpha, CaM kinase II, Calcium/calmodulin-dependent protein kinase type II subunit alpha, Calcium/calmodulin dependent protein kinase II gamma, Calcium/calmodulin dependent protein kinase II delta, Calcium/calmodulin dependent protein kinase II beta, Calcium/calmodulin dependent protein kinase II alpha

Anti-CaMK2 Antibody (2O871) 是一种 Rabbit 抗体,靶向 CaMK2。Anti-CaMK2 Antibody (2O871) 可用于 ICC/IF,IHC,WB。

Anti-CaMK2 Antibody (2O871)
规格价格库存数量
50 μL
¥ 1,485
5日内发货
100 μL
¥ 2,480
5日内发货
库存状态实时更新,以官网显示为准,现货产品可直接加购物车下单
大包装 & 定制
加入购物车

TargetMol的所有产品仅用作科学研究或药证申报,不能被用于人体,我们不向个人提供产品和服务。请您遵守承诺用途,不得违反法律法规规定用于任何其他用途。

实验操作小课堂
常见问题解答
查看更多

资源下载:产品操作手册

产品介绍


生物活性
产品描述
Anti-CaMK2 Antibody (2O871) is a Rabbit antibody targeting CaMK2. Anti-CaMK2 Antibody (2O871) can be used in ICC/IF,IHC,WB.
别名
KCC2A_HUMAN, CaMK-II subunit alpha, CAMKA, CAMK2G, CAMK2D, CAMK2B, CAMK2A, CAMK 2, CaM kinase II subunit alpha, CaM kinase II gamma, CaM kinase II delta, CaM kinase II beta, CaM kinase II alpha, CaM kinase II, Calcium/calmodulin-dependent protein kinase type II subunit alpha, Calcium/calmodulin dependent protein kinase II gamma, Calcium/calmodulin dependent protein kinase II delta, Calcium/calmodulin dependent protein kinase II beta, Calcium/calmodulin dependent protein kinase II alpha
Ig Type
IgG
克隆号
2O871
反应种属
Human,Mouse,Rat
验证活性
1. Western blot analysis of CaMKⅡ on different lysates using anti-CaMKⅡ antibody at 1/1,000 dilution. Positive control: Lane 1: SH-SY-5Y, Lane 2: PC-12, Lane 3: SHG-44.
2. Immunohistochemical analysis of paraffin-embedded rat brain tissue using anti-CaMKⅡ antibody. Counter stained with hematoxylin.
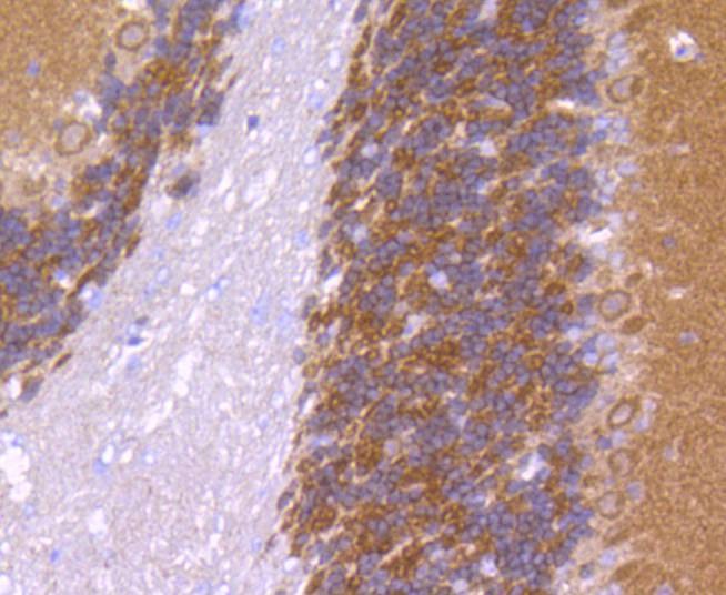
3. Immunohistochemical analysis of paraffin-embedded rat cerebellum tissue using anti-CaMKⅡ antibody. Counter stained with hematoxylin.
4. Immunohistochemical analysis of paraffin-embedded mouse brain tissue using anti-CaMKⅡ antibody. Counter stained with hematoxylin.
5. Immunohistochemical analysis of paraffin-embedded mouse cerebellum tissue using anti-CaMKⅡ antibody. Counter stained with hematoxylin.
6. ICC staining CaMKⅡ in Hela cells (green). The nuclear counter stain is DAPI (blue). Cells were fixed in paraformaldehyde, permeabilised with 0.25% Triton X100/PBS.
7. ICC staining CaMKⅡ in PC-12 cells (green). The nuclear counter stain is DAPI (blue). Cells were fixed in paraformaldehyde, permeabilised with 0.25% Triton X100/PBS.
8. ICC staining CaMKⅡ in SHG-44 cells (green). The nuclear counter stain is DAPI (blue). Cells were fixed in paraformaldehyde, permeabilised with 0.25% Triton X100/PBS.
verifiedActivityverifiedActivityverifiedActivityverifiedActivityverifiedActivityverifiedActivityverifiedActivityverifiedActivity
应用ICC/IFIHCWB
推荐剂量
WB: 1:1000-2000; IHC: 1:50-200; ICC/IF: 1:50-200
抗体种类
Monoclonal
宿主来源Rabbit
构建方式Recombinant Antibody
纯化方式ProA affinity purified
性状Liquid
缓冲液1*TBS (pH7.4), 1%BSA, 40%Glycerol. Preservative: 0.05% Sodium Azide.
研究背景The Ca2+/calmodulin-dependent protein kinases (CaM kinases) comprise a structurally related subfamily of serine/threonine kinases which include CaMKI, CaMKII and CaMKIV. CaMKII is a ubiquitously expressed serine/threonine protein kinase that is activated by Ca2+and calmodulin (CaM) and has been implicated in regulation of the cell cycle and transcription. There are four CaMKII isozymes designated α, β, γ and δ, which may or may not be co-expressed in the same tissue type. CaMKIV is stimulated by Ca2+ and CaM but also requires phosphorylation by a CaMK for full activation. Stimulation of the T cell receptor CD3 signaling complex with an CD3 monoclonal antibody leads to a 10-40 fold increase in CaMKIV activity. An additional kinase, CaMKK, functions to activate CaMKI through the specific phosphorylation of the regulatory Threonine residue at position 177.
偶联与修饰
偶联
Unconjugated
抗原信息
免疫原
Recombinant Protein
Uniprot ID
化学信息
分子量Theoretical: 54 kDa.
储存&溶解度
储存方式Store at -20°C or -80°C for 12 months. Avoid repeated freeze-thaw cycles.
运输方式Shipping with blue ice.

计算器

  • 稀释 计算器
  • 配液 计算器
Related Tags: buy Anti-CaMK2 Antibody (2O871) | purchase Anti-CaMK2 Antibody (2O871) | Anti-CaMK2 Antibody (2O871) cost | order Anti-CaMK2 Antibody (2O871) | Anti-CaMK2 Antibody (2O871) molecular weight