购物车
  • TargetMol
    您的购物车当前为空

Anti-BLCAP Antibody (7F556)

Synonyms: BLCAP_HUMAN, BLCAP, Bladder cancer-associated protein, Bladder cancer related protein (10kD), Bladder cancer 10 kDa protein, Bc10
货号 TMAC-00444 一键复制产品信息
Rating icon 还可以

Anti-BLCAP Antibody (7F556) 是一种 Mouse 抗体,靶向 BLCAP。Anti-BLCAP Antibody (7F556) 可用于 ICC,IHC,WB。

Anti-BLCAP Antibody (7F556)

一键复制产品信息
Rating icon 还可以
货号 TMAC-00444

别名 BLCAP_HUMAN, BLCAP, Bladder cancer-associated protein, Bladder cancer related protein (10kD), Bladder cancer 10 kDa protein, Bc10

Anti-BLCAP Antibody (7F556) 是一种 Mouse 抗体,靶向 BLCAP。Anti-BLCAP Antibody (7F556) 可用于 ICC,IHC,WB。

Anti-BLCAP Antibody (7F556)
规格价格库存数量
50 μL
¥ 1,980
5日内发货
100 μL
¥ 2,990
5日内发货
库存状态实时更新,以官网显示为准,现货产品可直接加购物车下单
大包装 & 定制
加入购物车

TargetMol的所有产品仅用作科学研究或药证申报,不能被用于人体,我们不向个人提供产品和服务。请您遵守承诺用途,不得违反法律法规规定用于任何其他用途。

实验操作小课堂
常见问题解答
查看更多

资源下载:产品操作手册

产品介绍


生物活性
产品描述
Anti-BLCAP Antibody (7F556) is a Mouse antibody targeting BLCAP. Anti-BLCAP Antibody (7F556) can be used in ICC,IHC,WB.
别名
BLCAP_HUMAN, BLCAP, Bladder cancer-associated protein, Bladder cancer related protein (10kD), Bladder cancer 10 kDa protein, Bc10
克隆号
7F556
反应种属
Human,Rat
验证活性
1. Western blot analysis of BLCAP on recombinant protein tissue lysate using anti-BLCAP antibody at 1/5,000 dilution.
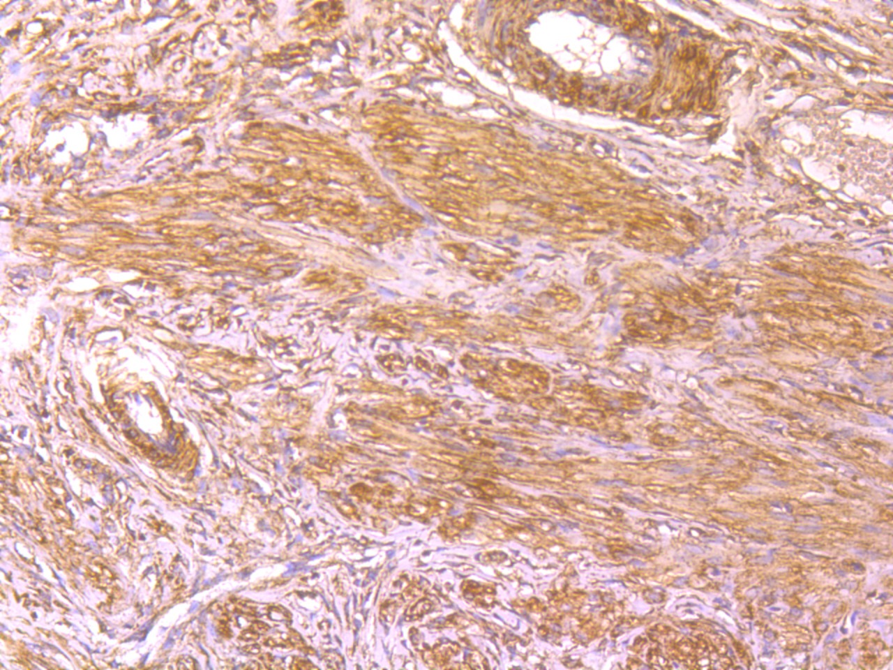
2. Immunohistochemical analysis of paraffin-embedded human breast tissue using anti-BLCAP antibody. Counter stained with hematoxylin.
3. Immunohistochemical analysis of paraffin-embedded rat cervix tissue using anti-BLCAP antibody. Counter stained with hematoxylin.
4. ICC staining BLCAP (green) in HepG2 cells. The nuclear counter stain is DAPI (blue). Cells were fixed in paraformaldehyde, permeabilised with 0.25% Triton X100/PBS.
verifiedActivityverifiedActivityverifiedActivityverifiedActivity
应用ICCIHCWB
推荐剂量
WB: 1:1000-2000; IHC: 1:50-200; ICC: 1:50-200
抗体种类
Monoclonal
宿主来源Mouse
构建方式Hybridoma Monoclonal Antibody
纯化方式ProG affinity purified
性状Liquid
缓冲液1*TBS (pH7.4), 0.5%BSA, 50%Glycerol. Preservative: 0.05% Sodium Azide.
研究背景BLCAP is a highly conversed gene with two exons and an intron encoding a 10kDa protein, which was originally identified from invasive bladder carcinoma in 2002. BLCAP is subject to adenosine to inosine (A-to-I) RNA editing. A-to-I RNA editing is an important post-transcription modification of RNA sequence, generating a diversity of RNA products different from the original DNA sequence. The adenosine deaminase acting on double-stranded RNA (ADAR) family of enzymes catalyze the conversion of adenosine (A) to inosine (I) in the double stranded RNA, and inosine is finally recognized as guanosine (G) in the process of mRNA translation. May regulate cell proliferation and coordinate apoptosis and cell cycle progression via a novel mechanism independent of both p53/TP53 and NF-kappa-B.
偶联与修饰
偶联
Unconjugated
抗原信息
免疫原
Peptide
Uniprot ID
储存&溶解度
储存方式Store at -20°C or -80°C for 12 months. Avoid repeated freeze-thaw cycles.
运输方式Shipping with blue ice.

计算器

  • 稀释 计算器
  • 配液 计算器
Related Tags: buy Anti-BLCAP Antibody (7F556) | purchase Anti-BLCAP Antibody (7F556) | Anti-BLCAP Antibody (7F556) cost | order Anti-BLCAP Antibody (7F556)