购物车
  • 全部删除
  • TargetMol
    您的购物车当前为空

Anti-Bim Antibody (2H443)

一键复制产品信息
Rating icon 还可以
产品编号 TMAC-00441
别名 BOD, BIM, BCL2-like 11 (apoptosis facilitator), BAM

Anti-Bim Antibody (2H443) 是一种 Rabbit 抗体,靶向 Bim。Anti-Bim Antibody (2H443) 可用于 ICC,IHC,IP,WB。

Anti-Bim Antibody (2H443)

Anti-Bim Antibody (2H443)

一键复制产品信息
Rating icon 还可以
产品编号 TMAC-00441 别名 BOD, BIM, BCL2-like 11 (apoptosis facilitator), BAM

Anti-Bim Antibody (2H443) 是一种 Rabbit 抗体,靶向 Bim。Anti-Bim Antibody (2H443) 可用于 ICC,IHC,IP,WB。

规格价格库存数量
50 μL
¥ 1,485
5日内发货
100 μL
¥ 2,490
5日内发货
大包装 & 定制
加入购物车
TargetMol 的所有产品仅用作科学研究或药证申报,不能被用于人体,我们不向个人提供产品和服务。请您遵守承诺用途,不得违反法律法规规定用于任何其他用途。
实验操作小课堂
常见问题解答
查看更多
联系我们获取更多批次信息
资源下载

产品介绍

生物活性
产品描述
Anti-Bim Antibody (2H443) is a Rabbit antibody targeting Bim. Anti-Bim Antibody (2H443) can be used in ICC,IHC,IP,WB.
别名BOD, BIM, BCL2-like 11 (apoptosis facilitator), BAM
Ig Type
IgG
克隆号
2H443
交叉反应
Human
验证活性
1. Western blot analysis of Bim on different lysates using anti-Bim antibody at 1/1,000 dilution. Positive control: Lane 1: Raji, Lane 2: Jurkat, Lane 3: A431.
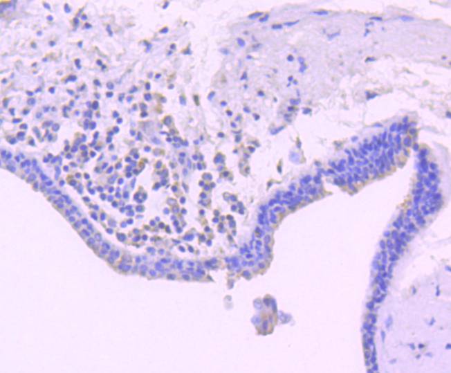
2. Immunohistochemical analysis of paraffin-embedded human breast carcinoma tissue using anti-Bim antibody. Counter stained with hematoxylin.
3. ICC staining Bim in Hela cells (green). The nuclear counter stain is DAPI (blue). Cells were fixed in paraformaldehyde, permeabilised with 0.25% Triton X100/PBS.
4. ICC staining Bim in A431 cells (green). The nuclear counter stain is DAPI (blue). Cells were fixed in paraformaldehyde, permeabilised with 0.25% Triton X100/PBS.
5. ICC staining Bim in HepG2 cells (green). The nuclear counter stain is DAPI (blue). Cells were fixed in paraformaldehyde, permeabilised with 0.25% Triton X100/PBS.
verifiedActivityverifiedActivityverifiedActivityverifiedActivityverifiedActivity
应用ICCIHCIPWB
推荐剂量
WB: 1:1000-2000; IHC: 1:50-200; ICC: 1:50-200
抗体种类
Monoclonal
宿主来源Rabbit
构建方式Recombinant Antibody
纯化方式ProA affinity purified
性状Liquid
缓冲液1*TBS (pH7.4), 1%BSA, 40%Glycerol. Preservative: 0.05% Sodium Azide.
研究背景Pro-apototic Bcl-2 family members promote cell death by neutralizing their apoptotic relatives, which otherwise maintain cell viability by regulating caspase activity. Bim belongs to the BH3-only subgroup of Bcl-2 related proteins, and exists in three distinct isoforms, BimS (short), BimL (long) and BimEL (extra long). ERK1/2 phosphorylates BimEL, resulting in rapid degradation of the isoform via the proteasome pathway. At least three sites for ERK1/2 phosphorylation exist on BimEL, whereas ERK1/2 does not effect BimS and BimL, implying a unique role for BimEL in cell survival signaling.
偶联与修饰
偶联
Unconjugated
抗原信息
免疫原
Recombinant Protein
Uniprot ID
化学信息
分子量Theoretical: 22/16/13 kDa.
存储&运输
储存方式Store at -20°C or -80°C for 12 months. Avoid repeated freeze-thaw cycles.
运输方式Shipping with blue ice.

计算器

  • 稀释 计算器

关键词

评论列表

4个月前
5.0
Rating icon 很棒

评论内容

Related Tags: buy Anti-Bim Antibody (2H443) | purchase Anti-Bim Antibody (2H443) | Anti-Bim Antibody (2H443) cost | order Anti-Bim Antibody (2H443) | Anti-Bim Antibody (2H443) molecular weight