购物车
  • 全部删除
  • TargetMol
    您的购物车当前为空

Anti-BDNF Antibody (4E523)

一键复制产品信息
Rating icon 还可以
产品编号 TMAC-00412
别名 Brain-Derived Neurotrophic Factor, BDNF, Abrineurin

Anti-BDNF Antibody (4E523) 是一种 Rabbit 抗体,靶向 BDNF。Anti-BDNF Antibody (4E523) 可用于 ICC/IF,IHC,WB。

Anti-BDNF Antibody (4E523)

Anti-BDNF Antibody (4E523)

一键复制产品信息
Rating icon 还可以
产品编号 TMAC-00412 别名 Brain-Derived Neurotrophic Factor, BDNF, Abrineurin

Anti-BDNF Antibody (4E523) 是一种 Rabbit 抗体,靶向 BDNF。Anti-BDNF Antibody (4E523) 可用于 ICC/IF,IHC,WB。

规格价格库存数量
50 μL
¥ 1,495
5日内发货
100 μL
¥ 2,495
5日内发货
大包装 & 定制
加入购物车
TargetMol 的所有产品仅用作科学研究或药证申报,不能被用于人体,我们不向个人提供产品和服务。请您遵守承诺用途,不得违反法律法规规定用于任何其他用途。
实验操作小课堂
常见问题解答
查看更多
联系我们获取更多批次信息
资源下载

产品介绍

生物活性
产品描述
Anti-BDNF Antibody (4E523) is a Rabbit antibody targeting BDNF. Anti-BDNF Antibody (4E523) can be used in ICC/IF,IHC,WB.
别名Brain-Derived Neurotrophic Factor, BDNF, Abrineurin
Ig Type
IgG
克隆号
4E523
交叉反应
Human,Mouse,Rat,zebrafish
验证活性
1. Western blot analysis of BDNF on different lysates using anti-BDNF antibody at 1/1,000 dilution. Positive control: Lane 1: SHG-44, Lane 2: A172, Lane 3: Mouse brain.
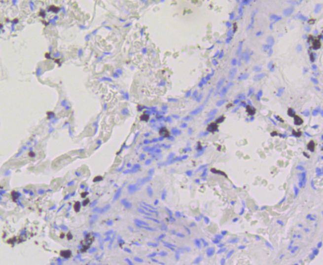
2. Immunohistochemical analysis of paraffin-embedded human lung tissue using anti-BDNF antibody. Counter stained with hematoxylin.
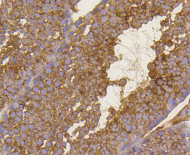
3. Immunohistochemical analysis of paraffin-embedded mouse testis tissue using anti-BDNF antibody. Counter stained with hematoxylin.
4. Immunohistochemical analysis of paraffin-embedded mouse brain tissue using anti-BDNF antibody. Counter stained with hematoxylin.
5. Immunohistochemical analysis of paraffin-embedded mouse heart tissue using anti-BDNF antibody. Counter stained with hematoxylin.
verifiedActivityverifiedActivityverifiedActivityverifiedActivityverifiedActivity
应用ICC/IFIHCWB
推荐剂量
WB: 1:1000-2000; IHC: 1:50-200; ICC/IF: 1:50-200
抗体种类
Monoclonal
宿主来源Rabbit
构建方式Recombinant Antibody
纯化方式ProA affinity purified
性状Liquid
缓冲液1*TBS (pH7.4), 1%BSA, 40%Glycerol. Preservative: 0.05% Sodium Azide.
研究背景Neurotrophins function to regulate naturally occurring cell death of neurons during development. The prototype neurotrophin is nerve growth factor (NGF), originally discovered in the 1950s as a soluble peptide promoting the survival of, and neurite outgrowth from, sympathetic ganglia. Three additional structurally homologous neurotrophic factors have been identified. These include brain-derived neurotrophic factor (BDNF), neurotrophin-3 (NT-3) and neurotrophin-4 (NT-4) (also designated NT-5). These various neurotrophins stimulate the in vitro survival of distinct, but partially overlapping, populations of neurons. The cell surface receptors through which neurotrophins mediate their activity have been identified. For instance, the Trk A receptor is the preferential receptor for NGF, but also binds NT-3 and NT-4. The Trk B receptor binds both BDNF and NT-4 equally well, and binds NT-3 to a lesser extent, while the Trk C receptor only binds NT-3.
偶联与修饰
偶联
Unconjugated
抗原信息
免疫原
Recombinant Protein
Uniprot ID
化学信息
分子量Theoretical: 28 kDa.
存储&运输
储存方式Store at -20°C or -80°C for 12 months. Avoid repeated freeze-thaw cycles.
运输方式Shipping with blue ice.

计算器

  • 稀释 计算器

评论列表

4个月前
5.0
Rating icon 很棒

评论内容

Related Tags: buy Anti-BDNF Antibody (4E523) | purchase Anti-BDNF Antibody (4E523) | Anti-BDNF Antibody (4E523) cost | order Anti-BDNF Antibody (4E523) | Anti-BDNF Antibody (4E523) molecular weight