购物车
  • 全部删除
  • TargetMol
    您的购物车当前为空

Anti-ATG14 Antibody (6F903)

一键复制产品信息
Rating icon 还可以
产品编号 TMAC-00321
别名 KIAA0831, Beclin 1-associated autophagy-related key regulator, Barkor, Autophagy-related protein 14-like protein (Atg14L), Atg14L, ATG14

Anti-ATG14 Antibody (6F903) 是一种 Mouse 抗体,靶向 ATG14。Anti-ATG14 Antibody (6F903) 可用于 IHC,WB。

Anti-ATG14 Antibody (6F903)

Anti-ATG14 Antibody (6F903)

一键复制产品信息
Rating icon 还可以
产品编号 TMAC-00321 别名 KIAA0831, Beclin 1-associated autophagy-related key regulator, Barkor, Autophagy-related protein 14-like protein (Atg14L), Atg14L, ATG14

Anti-ATG14 Antibody (6F903) 是一种 Mouse 抗体,靶向 ATG14。Anti-ATG14 Antibody (6F903) 可用于 IHC,WB。

规格价格库存数量
50 μL
¥ 1,990
5日内发货
100 μL
¥ 2,985
5日内发货
大包装 & 定制
加入购物车
TargetMol 的所有产品仅用作科学研究或药证申报,不能被用于人体,我们不向个人提供产品和服务。请您遵守承诺用途,不得违反法律法规规定用于任何其他用途。
实验操作小课堂
常见问题解答
查看更多
联系我们获取更多批次信息
资源下载

产品介绍

生物活性
产品描述
Anti-ATG14 Antibody (6F903) is a Mouse antibody targeting ATG14. Anti-ATG14 Antibody (6F903) can be used in IHC,WB.
别名KIAA0831, Beclin 1-associated autophagy-related key regulator, Barkor, Autophagy-related protein 14-like protein (Atg14L), Atg14L, ATG14
克隆号
6F903
交叉反应
Human
验证活性
1. Western blot analysis of ATG14L on human ATG14L recombinant protein using anti-ATG14L antibody at 1/1,000 dilution.
2. Western blot analysis of ATG14L on HEK293 (1) and ATG14L-hIgGFc transfected HEK293 (2) cell lysate using anti-ATG14L antibody at 1/1,000 dilution.
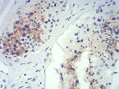
3. Immunohistochemical analysis of paraffin-embedded human testis tissues using anti-ATG14L antibody. Counter stained with hematoxylin.
verifiedActivityverifiedActivityverifiedActivity
应用IHCWB
推荐剂量
WB: 1:500-2000; IHC: 1:50-200
抗体种类
Monoclonal
宿主来源Mouse
构建方式Hybridoma Monoclonal Antibody
纯化方式ProA affinity purified
性状Liquid
缓冲液1*TBS (pH7.4), 1%BSA, 40%Glycerol. Preservative: 0.05% Sodium Azide.
研究背景Required for both basal and inducible autophagy. Plays a role in autophagosome formation and MAP1LC3/LC3 conjugation to phosphatidylethanolamine. Promotes BECN1 translocation from the trans-Golgi network to autophagosomes. Enhances PIK3C3 activity in a BECN1-dependent manner.
偶联与修饰
偶联
Unconjugated
抗原信息
免疫原
Recombinant Protein
Uniprot ID
化学信息
分子量Theoretical: 55 kDa.
存储&运输
储存方式Store at -20°C or -80°C for 12 months. Avoid repeated freeze-thaw cycles.
运输方式Shipping with blue ice.

计算器

  • 稀释 计算器

关键词

评论列表

4个月前
5.0
Rating icon 很棒

评论内容

Related Tags: buy Anti-ATG14 Antibody (6F903) | purchase Anti-ATG14 Antibody (6F903) | Anti-ATG14 Antibody (6F903) cost | order Anti-ATG14 Antibody (6F903) | Anti-ATG14 Antibody (6F903) molecular weight