购物车
  • 全部删除
  • TargetMol
    您的购物车当前为空

Anti-ASH2L Antibody (4J278)

一键复制产品信息
Rating icon 还可以
产品编号 TMAC-00282
别名 Set1/Ash2 histone methyltransferase complex subunit ASH2, ASH2-like protein, ASH2L1, ASH2L

Anti-ASH2L Antibody (4J278) 是一种 Rabbit 抗体,靶向 ASH2L。Anti-ASH2L Antibody (4J278) 可用于 ICC/IF,IHC,WB。

Anti-ASH2L Antibody (4J278)

Anti-ASH2L Antibody (4J278)

一键复制产品信息
Rating icon 还可以
产品编号 TMAC-00282 别名 Set1/Ash2 histone methyltransferase complex subunit ASH2, ASH2-like protein, ASH2L1, ASH2L

Anti-ASH2L Antibody (4J278) 是一种 Rabbit 抗体,靶向 ASH2L。Anti-ASH2L Antibody (4J278) 可用于 ICC/IF,IHC,WB。

规格价格库存数量
50 μL
¥ 1,490
5日内发货
100 μL
¥ 2,495
5日内发货
大包装 & 定制
加入购物车
TargetMol 的所有产品仅用作科学研究或药证申报,不能被用于人体,我们不向个人提供产品和服务。请您遵守承诺用途,不得违反法律法规规定用于任何其他用途。
实验操作小课堂
常见问题解答
查看更多
联系我们获取更多批次信息
资源下载

产品介绍

生物活性
产品描述
Anti-ASH2L Antibody (4J278) is a Rabbit antibody targeting ASH2L. Anti-ASH2L Antibody (4J278) can be used in ICC/IF,IHC,WB.
别名Set1/Ash2 histone methyltransferase complex subunit ASH2, ASH2-like protein, ASH2L1, ASH2L
Ig Type
IgG
克隆号
4J278
交叉反应
Human,Mouse,Rat
验证活性
1. Western blot analysis of ASH2L on different lysates using anti-ASH2L antibody at 1/1,000 dilution. Positive control: Lane 1: PC12, Lane 2: 293T.
2. Immunohistochemical analysis of paraffin-embedded mouse testis tissue using anti-ASH2L antibody. Counter stained with hematoxylin.
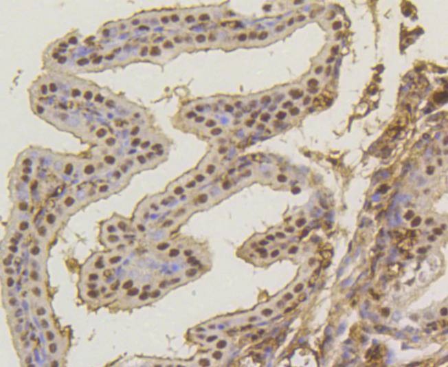
3. Immunohistochemical analysis of paraffin-embedded mouse colon tissue using anti-ASH2L antibody. Counter stained with hematoxylin.
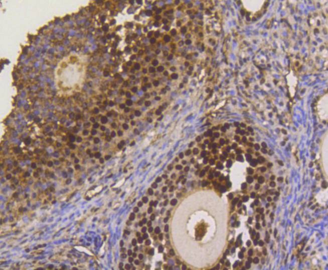
4. Immunohistochemical analysis of paraffin-embedded mouse ovary tissue using anti-ASH2L antibody. Counter stained with hematoxylin.
5. Immunohistochemical analysis of paraffin-embedded mouse placenta tissue using anti-ASH2L antibody. Counter stained with hematoxylin.
6. ICC staining ASH2L in PC12 cells (green). The nuclear counter stain is DAPI (blue). Cells were fixed in paraformaldehyde, permeabilised with 0.25% Triton X100/PBS.
7. ICC staining ASH2L in MCF-7 cells (green). The nuclear counter stain is DAPI (blue). Cells were fixed in paraformaldehyde, permeabilised with 0.25% Triton X100/PBS.
8. ICC staining ASH2L in CRC cells (green). Cells were fixed in paraformaldehyde, permeabilised with 0.25% Triton X100/PBS.
verifiedActivityverifiedActivityverifiedActivityverifiedActivityverifiedActivityverifiedActivityverifiedActivityverifiedActivity
应用ICC/IFIHCWB
推荐剂量
WB: 1:1000-5000; IHC: 1:200-500; ICC/IF: 1:200-500
抗体种类
Monoclonal
宿主来源Rabbit
构建方式Recombinant Antibody
纯化方式ProA affinity purified
性状Liquid
缓冲液1*TBS (pH7.4), 1%BSA, 40%Glycerol. Preservative: 0.05% Sodium Azide.
研究背景The human ASH2L gene encodes a 628 amino acid protein known as ASH2L1, or isoform 1, which contains a nuclear localization signal and PHD finger motif, suggesting that the gene product functions as a transcription regulator. Alternative splicing results in a shorter isoform 2, designated ASH2L2, which is missing the first 94 amino acid residues found in ASH2L1. Human ASH2L proteins are 60% homologous to Drosophila ash2, which positively regulates expression of certain genes in early development, and contain similar, but not identical, domains, including a zinc finger motif. ASH2L is highly expressed in fetal liver, testis and leukemia cell lines with erythroid and megakaryocytic potential, such as K562, Hel and Dami. Differentiation inducers (e.g. phorbol ester and hemin) cause different expression patterns in these cells lines, suggesting that ASH2L plays a role in hematopoiesis and is associated with particular types of leukemia.
偶联与修饰
偶联
Unconjugated
抗原信息
免疫原
Recombinant Protein
Uniprot ID
化学信息
分子量Theoretical: 69 kDa.
存储&运输
储存方式Store at -20°C or -80°C for 12 months. Avoid repeated freeze-thaw cycles.
运输方式Shipping with blue ice.

计算器

  • 稀释 计算器

关键词

评论列表

4个月前
5.0
Rating icon 很棒

评论内容

Related Tags: buy Anti-ASH2L Antibody (4J278) | purchase Anti-ASH2L Antibody (4J278) | Anti-ASH2L Antibody (4J278) cost | order Anti-ASH2L Antibody (4J278) | Anti-ASH2L Antibody (4J278) molecular weight