购物车
  • TargetMol
    您的购物车当前为空

Anti-Apolipo E/APOE3 Antibody (7Q652)

Synonyms: Apolipoprotein E
货号 TMAC-00248 一键复制产品信息
Rating icon 还可以

Anti-Apolipo E/APOE3 Antibody (7Q652) 是一种 Rabbit 抗体,靶向 Apolipo E/APOE3。Anti-Apolipo E/APOE3 Antibody (7Q652) 可用于 ICC/IF,IHC,IP,WB。

Anti-Apolipo E/APOE3 Antibody (7Q652)

一键复制产品信息
Rating icon 还可以
货号 TMAC-00248

别名 Apolipoprotein E

Anti-Apolipo E/APOE3 Antibody (7Q652) 是一种 Rabbit 抗体,靶向 Apolipo E/APOE3。Anti-Apolipo E/APOE3 Antibody (7Q652) 可用于 ICC/IF,IHC,IP,WB。

Anti-Apolipo E/APOE3 Antibody (7Q652)
规格价格库存数量
50 μL
¥ 1,480
5日内发货
100 μL
¥ 2,490
5日内发货
库存状态实时更新,以官网显示为准,现货产品可直接加购物车下单
大包装 & 定制
加入购物车

TargetMol的所有产品仅用作科学研究或药证申报,不能被用于人体,我们不向个人提供产品和服务。请您遵守承诺用途,不得违反法律法规规定用于任何其他用途。

实验操作小课堂
常见问题解答
查看更多

选择批次:
纯度: /
颜色: 无色透明
性状: Liquid
资源下载: COA产品操作手册

产品介绍


生物活性
产品描述
Anti-Apolipo E/APOE3 Antibody (7Q652) is a Rabbit antibody targeting Apolipo E/APOE3. Anti-Apolipo E/APOE3 Antibody (7Q652) can be used in ICC/IF,IHC,IP,WB.
别名
Apolipoprotein E
Ig Type
IgG
克隆号
7Q652
反应种属
Human,Mouse
验证活性
1. Western blot analysis of Apolipoprotein E on human kidney lysates using anti-Apolipoprotein E antibody at 1/1,000 dilution.
2. Immunohistochemical analysis of paraffin-embedded human tonsil tissue using anti-Apolipoprotein E antibody. Counter stained with hematoxylin.
3. Immunohistochemical analysis of paraffin-embedded human liver tissue using anti-Apolipoprotein E antibody. Counter stained with hematoxylin.
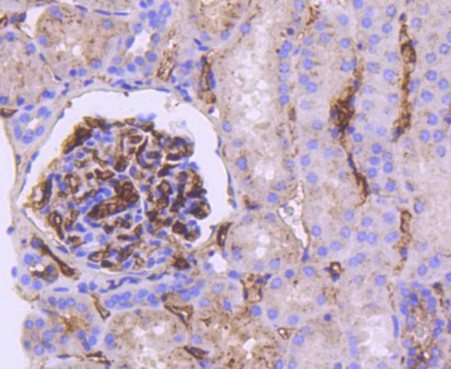
4. Immunohistochemical analysis of paraffin-embedded human kidney tissue using anti-Apolipoprotein E antibody. Counter stained with hematoxylin.
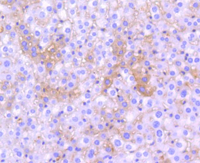
5. Immunohistochemical analysis of paraffin-embedded mouse liver tissue using anti-Apolipoprotein E antibody. Counter stained with hematoxylin.
verifiedActivityverifiedActivityverifiedActivityverifiedActivityverifiedActivity
应用ICC/IFIHCIPWB
推荐剂量
WB: 1:1000-5000; IHC: 1:50-200; ICC/IF: 1:50-200
抗体种类
Monoclonal
宿主来源Rabbit
构建方式Recombinant Antibody
纯化方式ProA affinity purified
性状Liquid
缓冲液1*TBS (pH7.4), 1%BSA, 40%Glycerol. Preservative: 0.05% Sodium Azide.
研究背景Apolipoprotein-E (apoE) is a protein component of plasma lipoproteins that mediates the binding, internalization and catabolism of lipoprotein particles. It can serve as a ligand for several lipoprotein receptors, including the LDL (ApoB/E) receptor and the hepatic apoE (chylomicron remnant) receptor. apoE is produced in most organs and occurs in all plasma lipoprotein fractions, constituting 10-20% of VLDL (very low density lipoprotein) and 1-2% of HDL (high density lipoprotein). Three major isoforms of apoE have been described in human (E2, E3 and E4) which differ by only one or two amino acids. Estrogen receptor has been shown to upregulate apoE gene expression via the ERa-mediated pathway, indicating a potential role for apoE in atherosclerosis. This is consistent with studies in mice in which plasma apoE levels were raised, thereby protecting the mice from diet-induced atherosclerosis. apoE has also been shown to be a potent inhibitor of proliferation and thus may play a role in angiogenesis, tumor cell growth and metastasis.
偶联与修饰
偶联
Unconjugated
抗原信息
免疫原
Recombinant Protein
Uniprot ID
化学信息
分子量Theoretical: 36 kDa.
储存&溶解度
储存方式Store at -20°C or -80°C for 12 months. Avoid repeated freeze-thaw cycles.
运输方式Shipping with blue ice.

计算器

  • 稀释 计算器
  • 配液 计算器
Related Tags: buy Anti-Apolipo E/APOE3 Antibody (7Q652) | purchase Anti-Apolipo E/APOE3 Antibody (7Q652) | Anti-Apolipo E/APOE3 Antibody (7Q652) cost | order Anti-Apolipo E/APOE3 Antibody (7Q652) | Anti-Apolipo E/APOE3 Antibody (7Q652) molecular weight