购物车
  • 全部删除
  • TargetMol
    您的购物车当前为空

Anti-ANGPT2/Angiopoietin-2 Antibody (6W480)

一键复制产品信息
Rating icon 还可以
产品编号 TMAC-00204
别名 Tie2-ligand, ANGPT2, angiopoitin 2, angiopoietin-2B, angiopoietin-2a, Angiopoietin-2, angiopoietin 2, ANG-2, ANG2, AGPT2

Anti-ANGPT2/Angiopoietin-2 Antibody (6W480) 是一种 Rabbit 抗体,靶向 ANGPT2/Angiopoietin-2。Anti-ANGPT2/Angiopoietin-2 Antibody (6W480) 可用于 IHC,WB。

Anti-ANGPT2/Angiopoietin-2 Antibody (6W480)

Anti-ANGPT2/Angiopoietin-2 Antibody (6W480)

一键复制产品信息
Rating icon 还可以
产品编号 TMAC-00204 别名 Tie2-ligand, ANGPT2, angiopoitin 2, angiopoietin-2B, angiopoietin-2a, Angiopoietin-2, angiopoietin 2, ANG-2, ANG2, AGPT2

Anti-ANGPT2/Angiopoietin-2 Antibody (6W480) 是一种 Rabbit 抗体,靶向 ANGPT2/Angiopoietin-2。Anti-ANGPT2/Angiopoietin-2 Antibody (6W480) 可用于 IHC,WB。

规格价格库存数量
50 μL
¥ 1,495
5日内发货
100 μL
¥ 2,485
5日内发货
大包装 & 定制
加入购物车
TargetMol 的所有产品仅用作科学研究或药证申报,不能被用于人体,我们不向个人提供产品和服务。请您遵守承诺用途,不得违反法律法规规定用于任何其他用途。
实验操作小课堂
常见问题解答
查看更多
联系我们获取更多批次信息
资源下载

产品介绍

生物活性
产品描述
Anti-ANGPT2/Angiopoietin-2 Antibody (6W480) is a Rabbit antibody targeting ANGPT2/Angiopoietin-2. Anti-ANGPT2/Angiopoietin-2 Antibody (6W480) can be used in IHC,WB.
别名Tie2-ligand, ANGPT2, angiopoitin 2, angiopoietin-2B, angiopoietin-2a, Angiopoietin-2, angiopoietin 2, ANG-2, ANG2, AGPT2
Ig Type
IgG
克隆号
6W480
交叉反应
Human,Mouse,Rat
验证活性
1. Western blot analysis of Angiopoietin 2 on different cell lysate using anti-Angiopoietin 2 antibody at 1/1,000 dilution. Positive control:Lane1: TF-1, Lane2: Human liver tissue, Lane3: Human placenta tissue.
2. Immunohistochemical analysis of paraffin-embedded human colon cancer tissue using anti-Angiopoietin 2 antibody. Counter stained with hematoxylin.
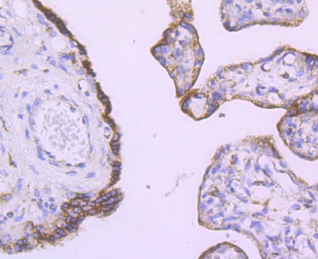
3. Immunohistochemical analysis of paraffin-embedded human placenta tissue using anti-Angiopoietin 2 antibody. Counter stained with hematoxylin.
4. Immunohistochemical analysis of paraffin-embedded mouse liver tissue using anti-Angiopoietin 2 antibody. Counter stained with hematoxylin.
verifiedActivityverifiedActivityverifiedActivityverifiedActivity
应用IHCWB
推荐剂量
WB: 1:500-2000; IHC: 1:50-200
抗体种类
Monoclonal
宿主来源Rabbit
构建方式Recombinant Antibody
纯化方式ProA affinity purified
性状Liquid
缓冲液1*TBS (pH7.4), 1%BSA, 40%Glycerol. Preservative: 0.05% Sodium Azide.
研究背景Tie-1 and Tie-2 (also designated Tek) are novel cell surface receptor tyrosine kinases. The extracellular domain of Tie-1 has an unusual multidomain structure consisting of a cluster of three epidermal growth factor homology motifs localized between two immunoglobulin-like loops, which are followed by three fibronectin type III repeats next to the transmembrane region. Angiopoietin-1 (Ang-1) is a secreted ligand for Tie-2. Preliminary biochemical analyses of Ang-1 reveal a potential fibrinogen-like domain at the carboxy terminus and coiled-coil regions in the amino terminus. Ang-1 is an angiogenic factor that is thought to be involved in endothelial development. A related protein, angiopoietin-2 (Ang-2), has been identified as a naturally occurring antagonist of Ang-1 activation of Tie-2. In adult tissue, Ang-2 expression seems to be restricted to sites of vascular remodeling.
偶联与修饰
偶联
Unconjugated
抗原信息
免疫原
Recombinant Protein
Uniprot ID
化学信息
分子量Theoretical: 50 kDa.
存储&运输
储存方式Store at -20°C or -80°C for 12 months. Avoid repeated freeze-thaw cycles.
运输方式Shipping with blue ice.

计算器

  • 稀释 计算器

关键词

评论列表

4个月前
5.0
Rating icon 很棒

评论内容

Related Tags: buy Anti-ANGPT2/Angiopoietin-2 Antibody (6W480) | purchase Anti-ANGPT2/Angiopoietin-2 Antibody (6W480) | Anti-ANGPT2/Angiopoietin-2 Antibody (6W480) cost | order Anti-ANGPT2/Angiopoietin-2 Antibody (6W480) | Anti-ANGPT2/Angiopoietin-2 Antibody (6W480) molecular weight