购物车
  • TargetMol
    您的购物车当前为空

Anti-Alpha-fetoprotein Antibody (5G216)

Synonyms: HPAFP, FETA, alpha-fetoglobulin, alpha-1-fetoprotein, alpha fetoprotein precursor, alpha Fetoprotein
货号 TMAB-00104 一键复制产品信息
Rating icon 还可以

Anti-Alpha-fetoprotein Antibody (5G216) 是一种 Mouse 抗体,靶向 Alpha-fetoprotein。Anti-Alpha-fetoprotein Antibody (5G216) 可用于 ELISA, IF, IHC-Fr, IHC-P, WB。

Anti-Alpha-fetoprotein Antibody (5G216)

一键复制产品信息
Rating icon 还可以
货号 TMAB-00104

别名 HPAFP, FETA, alpha-fetoglobulin, alpha-1-fetoprotein, alpha fetoprotein precursor, alpha Fetoprotein

Anti-Alpha-fetoprotein Antibody (5G216) 是一种 Mouse 抗体,靶向 Alpha-fetoprotein。Anti-Alpha-fetoprotein Antibody (5G216) 可用于 ELISA, IF, IHC-Fr, IHC-P, WB。

Anti-Alpha-fetoprotein Antibody (5G216)
规格价格库存数量
50 μL
¥ 1,160
5日内发货
100 μL
¥ 1,965
5日内发货
200 μL
¥ 2,795
5日内发货
库存状态实时更新,以官网显示为准,现货产品可直接加购物车下单
大包装 & 定制
加入购物车

TargetMol的所有产品仅用作科学研究或药证申报,不能被用于人体,我们不向个人提供产品和服务。请您遵守承诺用途,不得违反法律法规规定用于任何其他用途。

实验操作小课堂
常见问题解答
查看更多

选择批次:
颜色: 无色透明
性状: Liquid
资源下载: COA产品操作手册

产品介绍


生物活性
产品描述
Anti-Alpha-fetoprotein Antibody (5G216) is a Mouse antibody targeting Alpha-fetoprotein. Anti-Alpha-fetoprotein Antibody (5G216) can be used in ELISA, IF, IHC-Fr, IHC-P, WB.
别名
HPAFP, FETA, alpha-fetoglobulin, alpha-1-fetoprotein, alpha fetoprotein precursor, alpha Fetoprotein
Ig Type
IgG
克隆号
5G216
反应种属
Human,Rat,Mouse
验证活性
1. Measured by its binding ability in a indirect ELISA. Immobilized Human AFP protein, His Tag at 2 μg/mL (100 μL/well) can bind Mouse Anti-Human AFP Antibody, the EC50 is 24.94 ng/mL.
2. 25 μg total protein per Lane of various lysates probed with AFp (A2) monoclonal antibody, unconjugated (TMAB-00104) at 1:1000 dilution and 4°C overnight incubation. Followed by conjugated secondary antibody incubation at RT for 60 min.
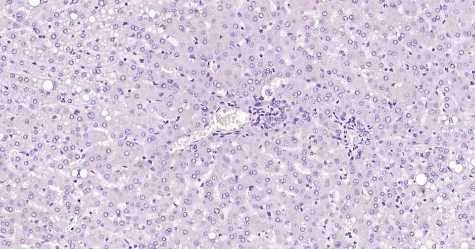
3. (Negative control) paraformaldehyde-fixed, paraffin embedded Rat Liver; Antigen retrieval by boiling in sodium citrate buffer (pH6.0) for 15 min; Antibody incubation with AFp (A2) Monoclonal Antibody, Unconjugated (TMAB-00104) at 1:500 overnight at 4°C, followed by conjugation to the secondary antibody and DAB staining.
4. (Negative control) paraformaldehyde-fixed, paraffin embedded Human Liver; Antigen retrieval by boiling in sodium citrate buffer (pH6.0) for 15 min; Antibody incubation with AFp (A2) Monoclonal Antibody, Unconjugated (TMAB-00104) at 1:500 overnight at 4°C, followed by conjugation to the secondary antibody and DAB staining.
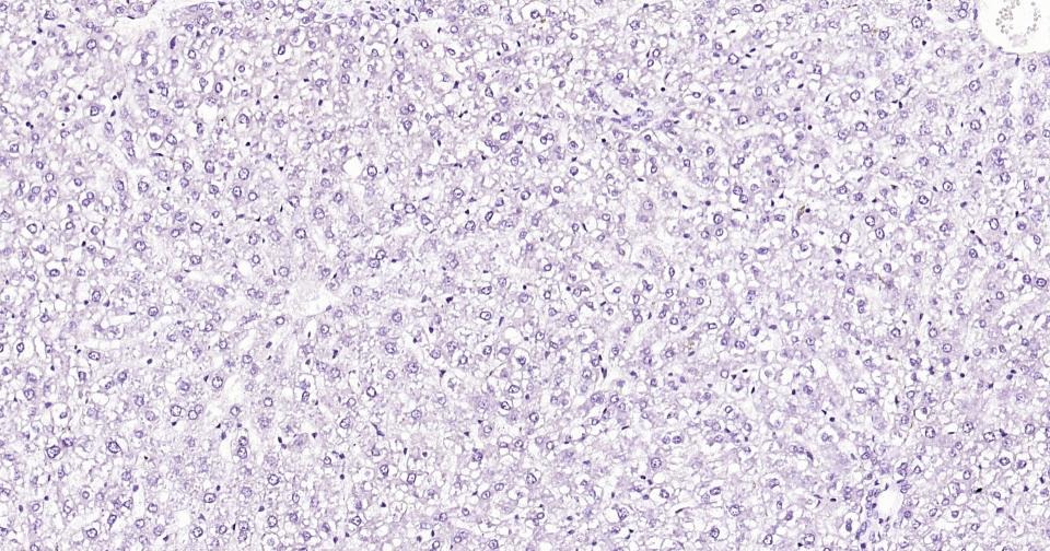
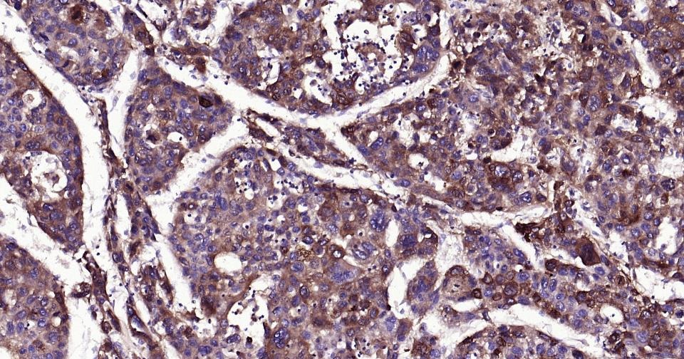
5. Paraformaldehyde-fixed, paraffin embedded Human Liver Cancer; Antigen retrieval by boiling in sodium citrate buffer (pH6.0) for 15 min; Antibody incubation with AFp (A2) Monoclonal Antibody, Unconjugated (TMAB-00104) at 1:200 overnight at 4°C, followed by conjugation to the secondary antibody and DAB staining.
verifiedActivityverifiedActivityverifiedActivityverifiedActivityverifiedActivity
应用ELISAIFIHC-FrIHC-PWB
推荐剂量
WB: 1:500-2000; IHC-P: 1:100-500; IHC-Fr: 1:100-500; IF: 1:100-500; ELISA: 1:5000-10000
抗体种类
Monoclonal
宿主来源Mouse
亚细胞定位Secreted.
组织特异性Plasma. Synthesized by the fetal liver and yolk sac.
构建方式Hybridoma Monoclonal Antibody
纯化方式Protein G purified
性状Liquid
缓冲液0.01M PBS (pH7.4) with 0.02% Proclin300.
浓度1 mg/mL
研究背景Alpha 1 Fetoprotein is a major plasma protein produced by the yolk sac and the liver during fetal life. Alpha fetoprotein expression in adults is often associated with hepatoma or teratoma. However, hereditary persistance of alpha-fetoprotein may also be found in individuals with no obvious pathology. The protein is thought to be the fetal counterpart of serum albumin, and the alpha fetoprotein and albumin genes are present in tandem in the same transcriptional orientation on chromosome 4. Alpha fetoprotein is found in monomeric as well as dimeric and trimeric forms, and binds copper, nickel, fatty acids and bilirubin. The level of alpha fetoprotein in amniotic fluid is used to measure renal loss of protein to screen for spina bifida and anencephaly. Expression has been documented in human adrenal, liver, ovary, testis, and pancreas. ESTs have been isolated from normal human brain, liver/spleen, embryo and uterus tissue libraries.
抗原信息
免疫原
AFP protein
基因名称
AFP
蛋白名称
alpha-fetoprotein
研究领域
Tumor antigens,Serum Proteins,Liver development,Cardiovascular ELISA kits
功能
Binds copper, nickel, and fatty acids as well as, and bilirubin less well than, serum albumin. Only a small percentage (less than 2%) of the human AFP shows estrogen-binding properties.
化学信息
分子量Theoretical: 65 kDa. Actual: 70 kDa.
储存&溶解度
储存方式Store at -20°C or -80°C for 12 months. Avoid repeated freeze-thaw cycles.
运输方式Shipping with blue ice.

计算器

  • 稀释 计算器
  • 配液 计算器
Related Tags: buy Anti-Alpha-fetoprotein Antibody (5G216) | purchase Anti-Alpha-fetoprotein Antibody (5G216) | Anti-Alpha-fetoprotein Antibody (5G216) cost | order Anti-Alpha-fetoprotein Antibody (5G216) | Anti-Alpha-fetoprotein Antibody (5G216) molecular weight